Sorriso naturalmente accattivante
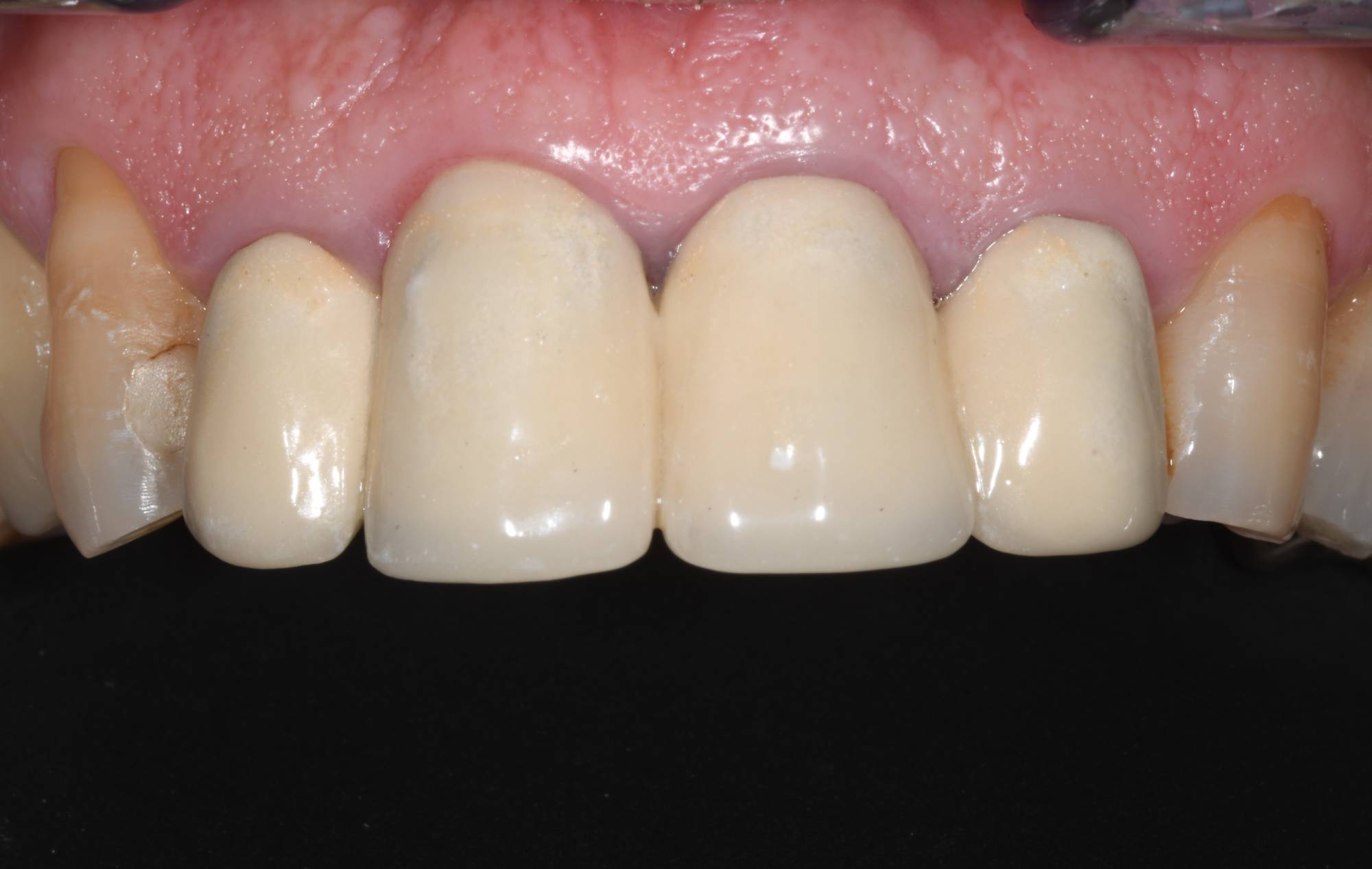
Per ogni dentista effettuare delle cure odontoiatriche in un settore di massima importanza estetica, quale quello degli incisivi superiori, è una bella responsabilità, soprattutto per chi come me si occupa di odontoiatria estetica da anni. La cosa più importante è infatti che il risultato non sia solo bello, ma che in primo luogo sia naturale. Gli incisivi superiori hanno caratteristiche ottiche di traslucenza e opalescenza non facili da imitare. Mi capita di vedere capsule o faccette in ceramica stile “piastrelle del bagno” che già da lontano spiccano come denti finti, producendo un risultato artificiale. Guarda le foto. Il signore si è presentato nel mio Studio con delle vecchie protesi in ceramica sui denti superiori, insoddisfatto del suo sorriso, che riteneva vecchio, opaco e lo metteva a disagio, così da sorridere a labbra chiuse. E aveva ragione, i denti danno l’impressione di essere finti, sproporzionati, con una tinta innaturale. Adesso guarda nella seconda foto come gli ho cambiato il sorriso: i denti artificiali non si riescono a distinguere da quelli naturali. Questo si traduce in una maggiore autostima, più sicurezza in se stesso e finalmente poter sorridere alla vita senza inibizioni. Non sei soddisfatto dei tuoi denti, del tuo restauro protesico ormai datato? Ti senti a disagio per un look poco naturale? Vuoi ringiovanire il tuo sorriso? Lo Studio del dott. Fabio Ballestrasse di Besana Brianza ti stupirà.

