Sotto la mascherina...
Tutti lo sanno: il tuo sorriso contribuisce enormemente alla prima impressione che dai agli altri.
Un sorriso con denti ben curati è il primo biglietto da visita che metti in mostra, soprattutto adesso che la mascherina non si usa più e il Covid è un ricordo. Ma se si vedono denti storti o con colori e forma anomali nella zona frontale e non solo, potresti sentirti a disagio davanti agli altri.
Pensa quante volte in una giornata ti capita di sorridere: non avendo i denti “a posto”, anche con una risata tra amici potrebbe non essere così spontanea. Ma c’è una soluzione per non perdere il sorriso: si può fare un “lifting” al tuo sorriso!
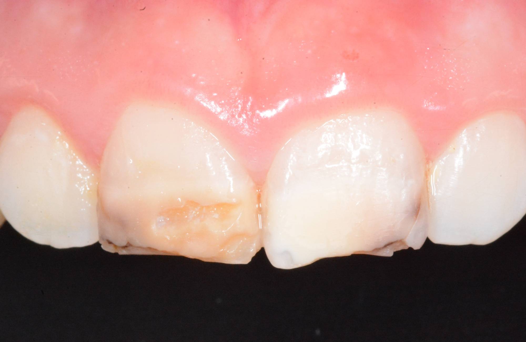
Guarda la prima foto qui sotto: la problematica di cui soffriva questa giovane ragazza si chiama “amelogenesi imperfetta”. Si tratta di una formazione anormale dello smalto che origina mentre il dente è in corso di mineralizzazione dentro l’osso. Quando scende in arcata, si scopre l’amara sorpresa di forma e colore anomalo. E’ bastato cambiare la forma e il colore agli incisivi di questa ragazza, come vedi nella seconda foto, per farle riguadagnare autostima e sicurezza in sé stessa. Con i performanti materiali estetici a mia disposizione puoi cambiare il tuo atteggiamento nei confronti della società e della vita.
Il mio scopo non consiste solo nel curare i denti e le gengive, ma anche nel darti maggiore stima e fiducia in te stesso. E' questo quello che si fa ogni giorno nello Studio dentistico del dott. Fabio Ballestrasse di Besana Brianza.

