Super ImmediataDenti!
Ti mancano dei denti? Ne hai alcuni da estrarre e non vuoi rimanere a lungo senza? C’è una tecnica per sostituirli velocemente: l’implantologia a carico immediato.
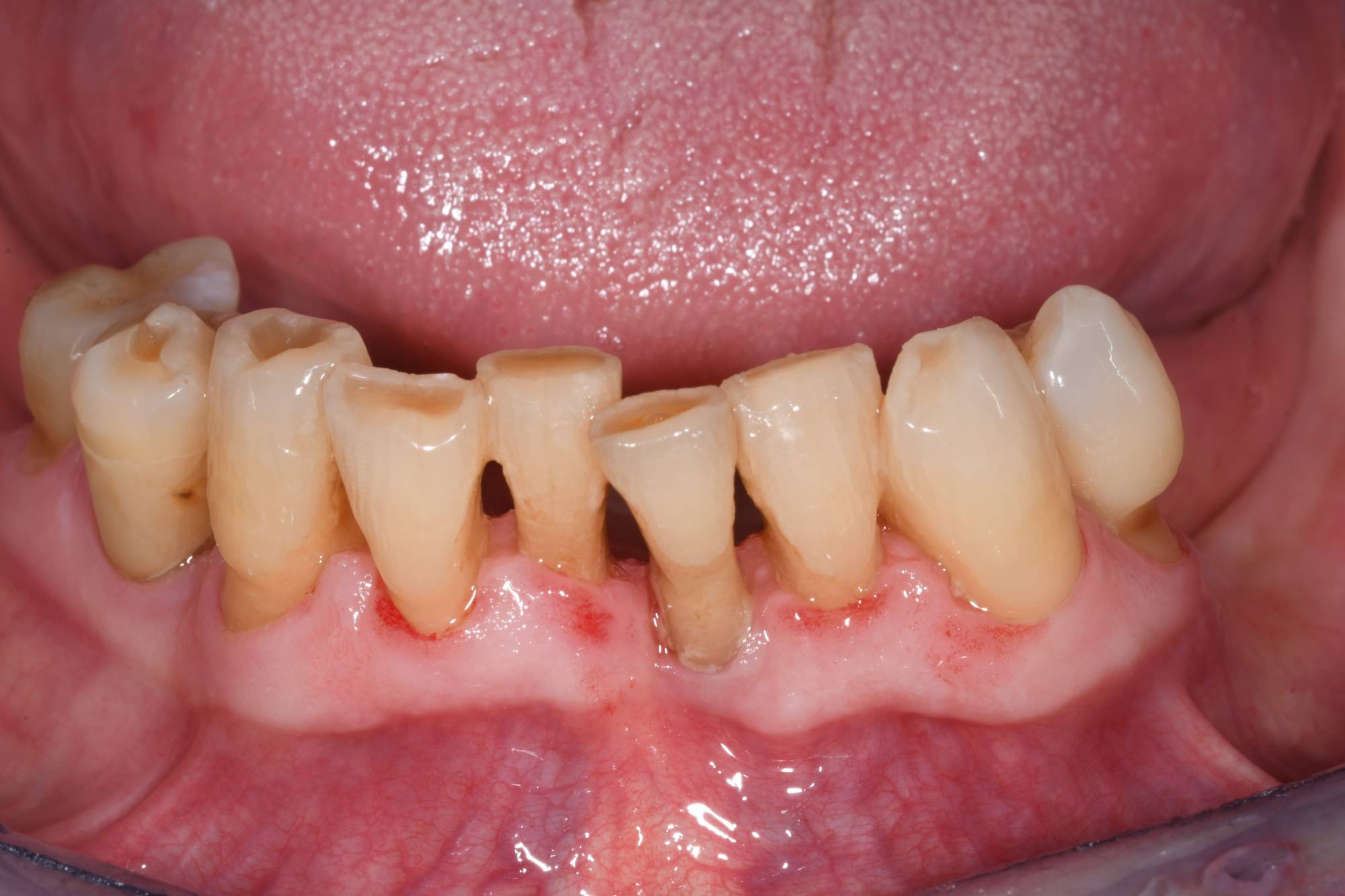
Come puoi vedere nella foto qui sotto, il paziente si è presentato con pochi denti residui, “traballanti”; non poteva più mangiare normalmente e aveva ogni disagio possibile. Per cui nella stessa seduta gli ho estratto quei denti e al loro posto ho inserito 5 impianti osteointegrati e ho preso un’impronta.
Una sola seduta, una sola anestesia, lo stress una volta sola, e dopo 2 giorni dall’intervento gli ho messo un ponte provvisorio fisso avvitato agli impianti, come puoi vedere nella seconda foto. Infatti si vedono ancora i punti di sutura che gli ho tolto la settimana dopo. Fra pochi mesi finalizzerò il suo lavoro con una protesi fissa definitiva in ceramica, dotata dei denti ancora assenti nell’attuale provvisorio.
L’implantologia a carico immediato si può eseguire per sostituire un dente singolo, alcuni denti o un’arcata intera come in questo caso!
Normalmente in implantologia devi aspettare un periodo di alcuni mesi per ottenere l’integrazione dell’impianto nell’osso prima di mettere la protesi. Invece con il carico immediato i tempi vengono ridotti: basta una corretta selezione del caso e un’accurata programmazione chirurgica. Il dott. Fabio Ballestrasse di Besana Brianza è esperto di implantologia a carico immediato.
I vantaggi dell’implantologia a carico immediato sono:
• sostituzione dei denti subito dopo l’intervento chirurgico
• ripristino veloce dell’estetica e della funzione
• ridotto numero di sedute e minore stress

