Trasparenti ma visibili nel risultato!
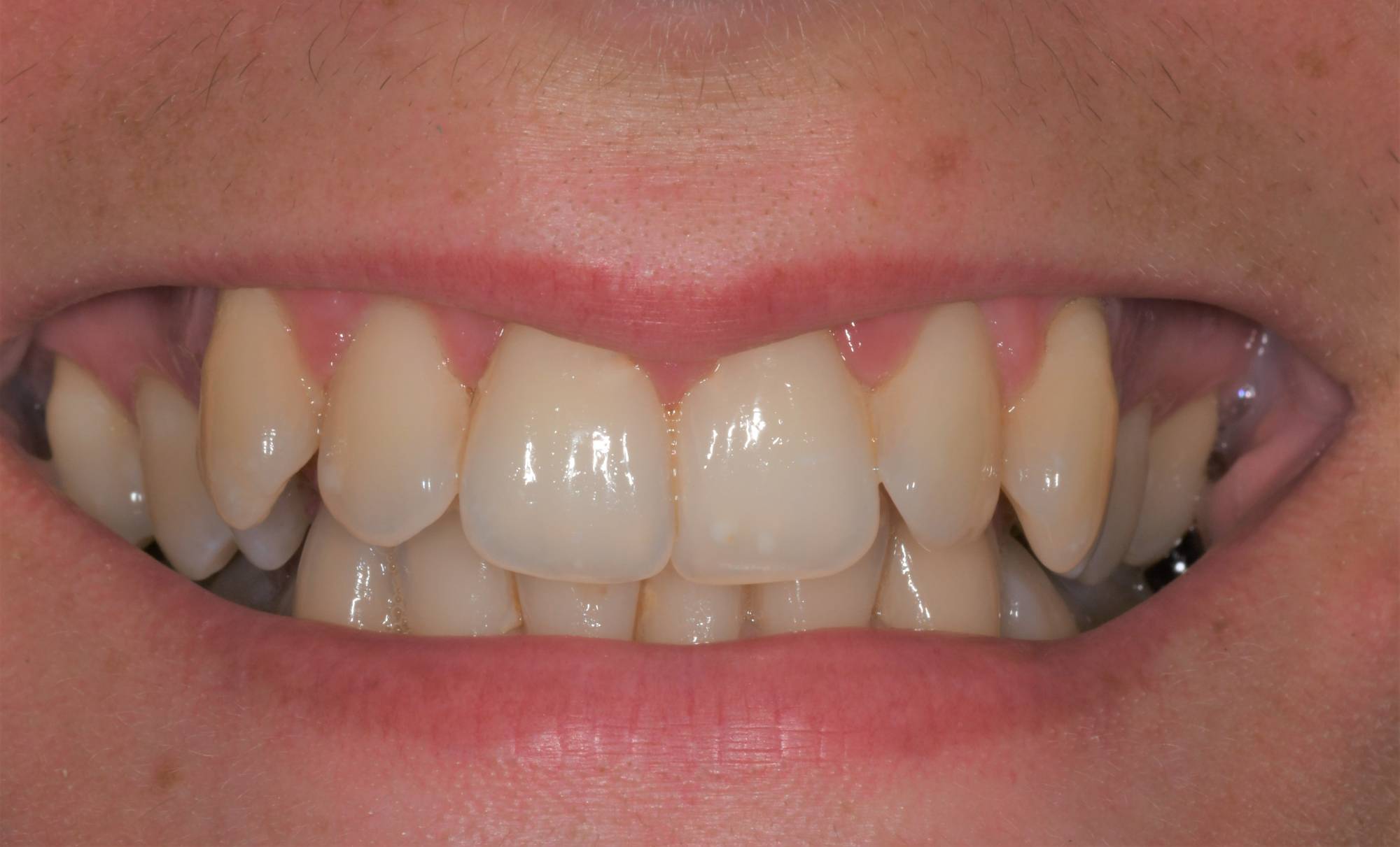
Guarda la foto qui sotto! Questa ragazza aveva portato il classico apparecchio con gli attacchi in acciaio anni fa, ma poi i suoi denti si sono disallineati di nuovo. Ci sono persone che mettono l’apparecchio tradizionale e dopo un anno o due lo tolgono con un sospiro di sollievo, visto che è stato fastidioso, poco estetico e difficile da pulire.
Alle volte i denti faticosamente allineati si spostano e si stortano di nuovo vanificando gli sforzi fatti.
A questo punto nessuno vuole rimettere l’apparecchio un’altra volta! Fortunatamente esiste una nuova tecnologia: gli allineatori, che sono delle sottili mascherine trasparenti da indossare giorno e notte che spostano i denti nella posizione ideale in tempi rapidi. Infatti guarda la foto successiva: il sorriso è cambiato visibilmente.
Si utilizza una sequenza di allineatori trasparenti fino al raggiungere l’allineamento perfetto dei tuoi denti. Quanti allineatori e quanto tempo durerà la cura dipende dallo studio del tuo caso che si esegue a partire dalle impronte dei tuoi denti. Tutto il resto sarà compito mio!
Ecco cosa ti posso garantire con questa tecnologia:
• Mascherine trasparenti praticamente invisibili
• Possibilità di una vita normale
• Possibilità di pulizia veloce
• Pagamenti dilazionati durante la terapia
Se vedi i tuoi denti non allineati come vorresti, il dott. Fabio Ballestrasse di Besana Brianza ti può aiutare.

