Troppo spazio per te?
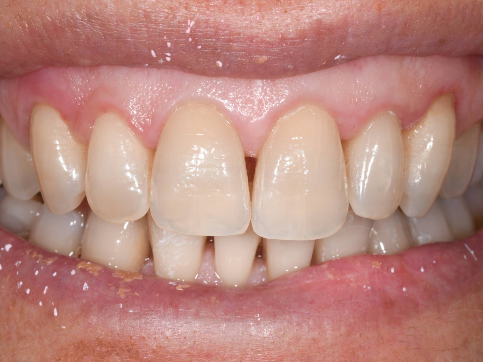
Sorridere spontaneamente è un comportamento che non tutti si riescono a permettere. Alcune persone si vergognano dei loro denti a causa di imperfezioni. Può succedere che una recessione gengivale possa mettere a rischio l’estetica perché si forma un fastidioso spazio tra gli incisivi. Purtroppo, più passa il tempo e più questo difetto diventa visibile, compromettendo il sorriso.
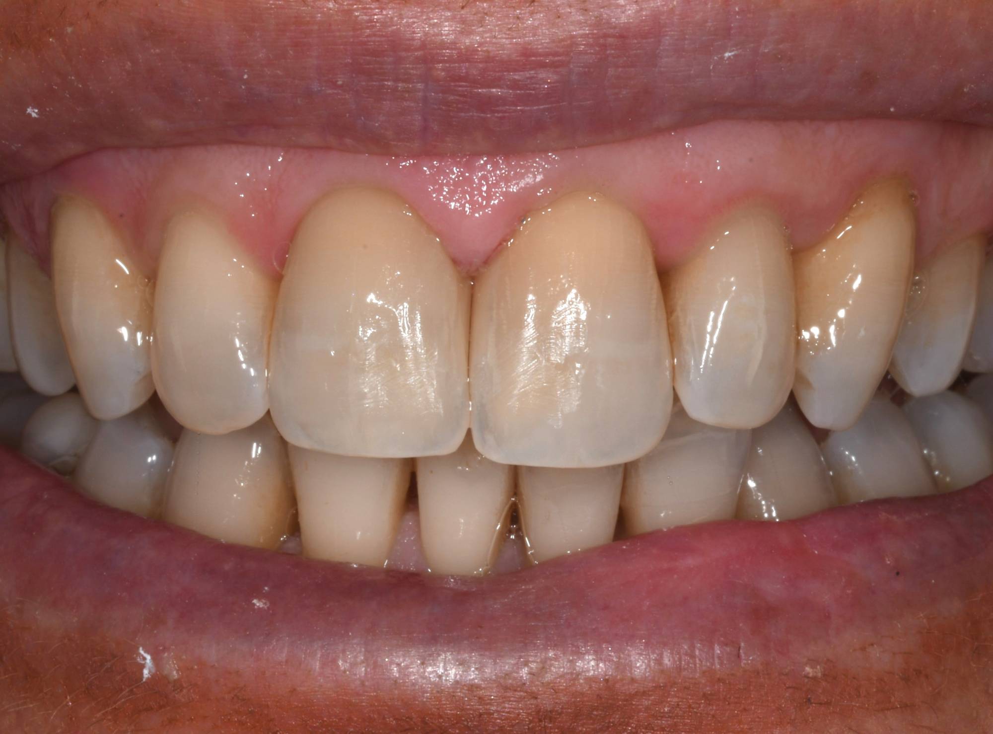
Questo a volte può peggiorare la qualità della vita sociale, tanto che tentare di non far vedere i propri incisivi può diventare un’ossessione. E’ proprio per questo che chi ha questo tipo di difetti nei denti anteriori di non vede l’ora di tornare a ridere e divertirsi in compagnia. Ma basta veramente poco per cambiare un sorriso! La signora che vedi nella prima foto ha ritrovato la voglia di sorridere dopo che le ho chiuso lo spazio tra i due incisivi centrali con materiali estetici di ultima generazione. Quelli usati nello Studio dentistico del dott. Fabio Ballestrasse a Besana Brianza (MB).
Ci è voluta una sola seduta per aumentare il suo livello di autostima e sicurezza in sé stessa. Per dare i risultati che vedi nella seconda foto utilizzo nuovi e performanti materiali compositi per otturazioni estetiche. I vantaggi di questa tecnica?
• Risultati soddisfacenti in un una sola seduta
• In modo non invasivo e senza anestesia
• Poco costosa

