Trova la corona!
Sembra passato tanto tempo da quando si facevano le capsule in metallo ceramica, e, a dir la verità, se ne fanno ancora. L’interno della corona in metallo-ceramica è fatto di una lega metallica sopra la quale viene cotta la ceramica per ottenere un piacevole look estetico. La corona protesica è un’ottima soluzione per ricoprire un dente seriamente danneggiato, infatti se il dente di un paziente ha subito un devitalizzazione o si è fratturato, una corona dentale protegge la parte rimanente del dente naturale. Le corone metal-free, cioè quelle senza una struttura metallica interna, ristabiliscono la funzionalità dei denti garantendo naturalezza e resistenza.
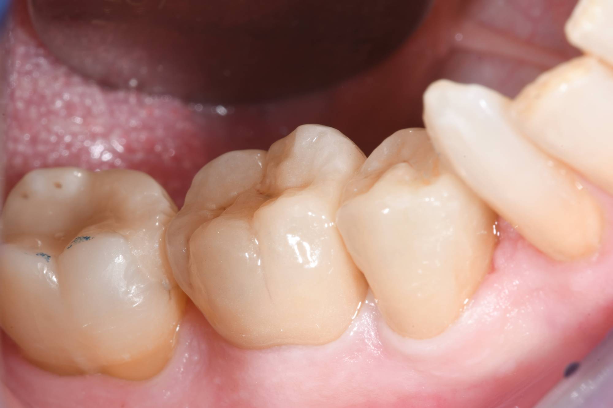
Le corone fatte sui denti posteriori sono quasi sempre in zirconia un materiale dotato di ottime proprietà meccaniche, tra cui la solidità e l’elevatissima capacità di resistere ai carichi masticatori. Inizialmente utilizzato nella tecnologia aerospaziale, in seguito a lunghe ricerche è stato applicato in alcune branche della medicina per esempio l’ortopedia per la produzione di protesi. Inoltre è un materiale biocompatibile: questo significa che non causa reazioni nei tessuti circostanti, permettendo alla gengiva di aderire alla corona come fosse, appunto, un dente naturale. La corona dentale metal-free è una combinazione di altissima qualità ed elevata durabilità. Guarda la foto qui sotto: non si riesce a capire quale sia o quali siano i denti ricoperti da corone in zirconia. Se vuoi scoprirlo, guarda la foto dopo. Anche se sei di Casatenovo, lo Studio dentistico del dott. Fabio Ballestrasse a Besana Brianza ti aspetta!

