Un artificio naturale
Quando devi effettuare delle cure odontoiatriche in un settore di massima importanza estetica, la cosa più importante è che il risultato non sia solo bello, ma che soprattutto sia naturale. Ricostruzioni con materiale estetico sugli incisivi superiori potrebbero dare nell’occhio per la loro opacità o scarsa traslucenza. Per non parlare poi di capsule o faccette in ceramica stile “piastrelle del bagno” che già da lontano spiccano come denti finti e lasciano intravedere qualcosa di artificiale nella vostra bocca.
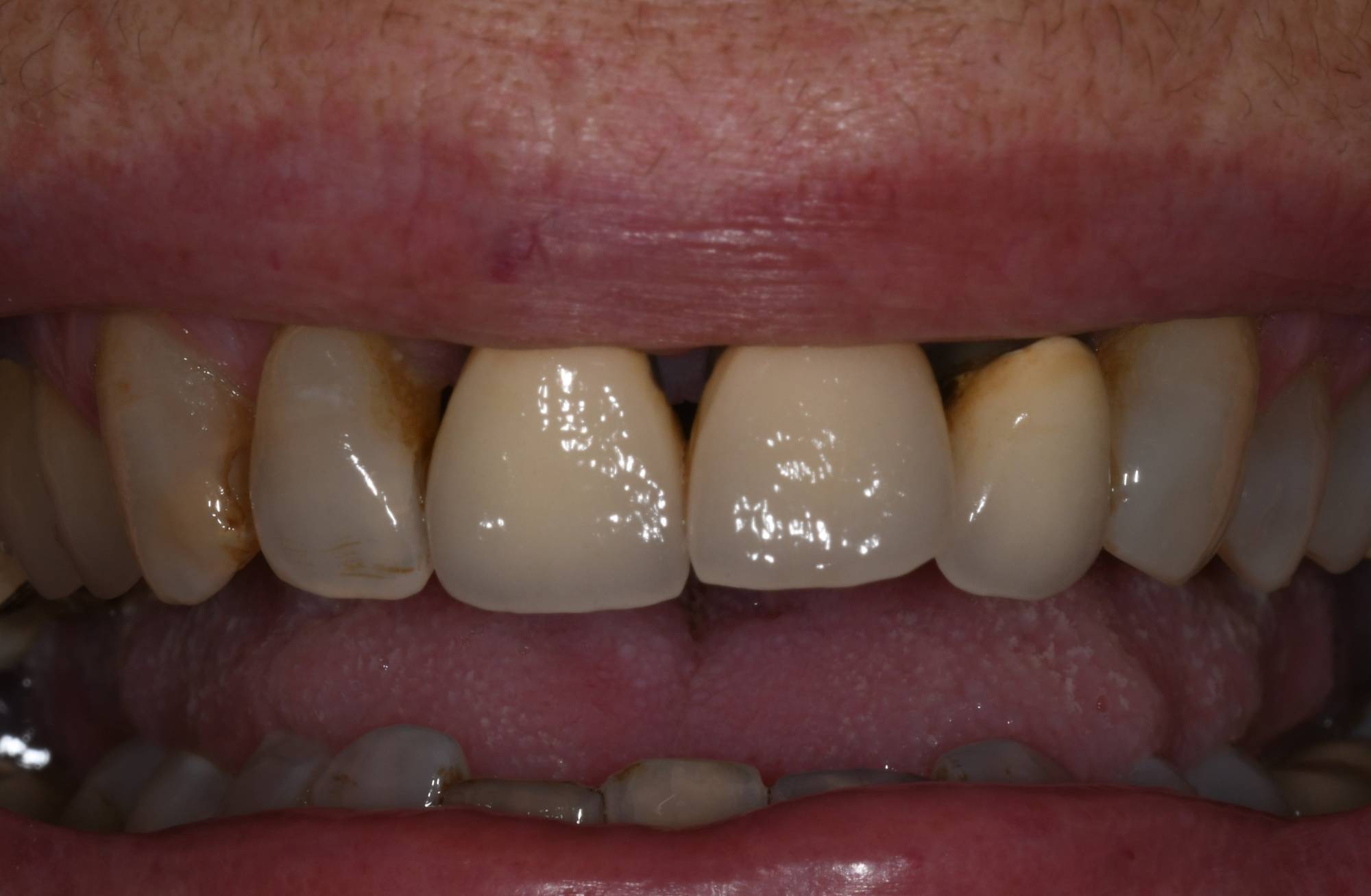
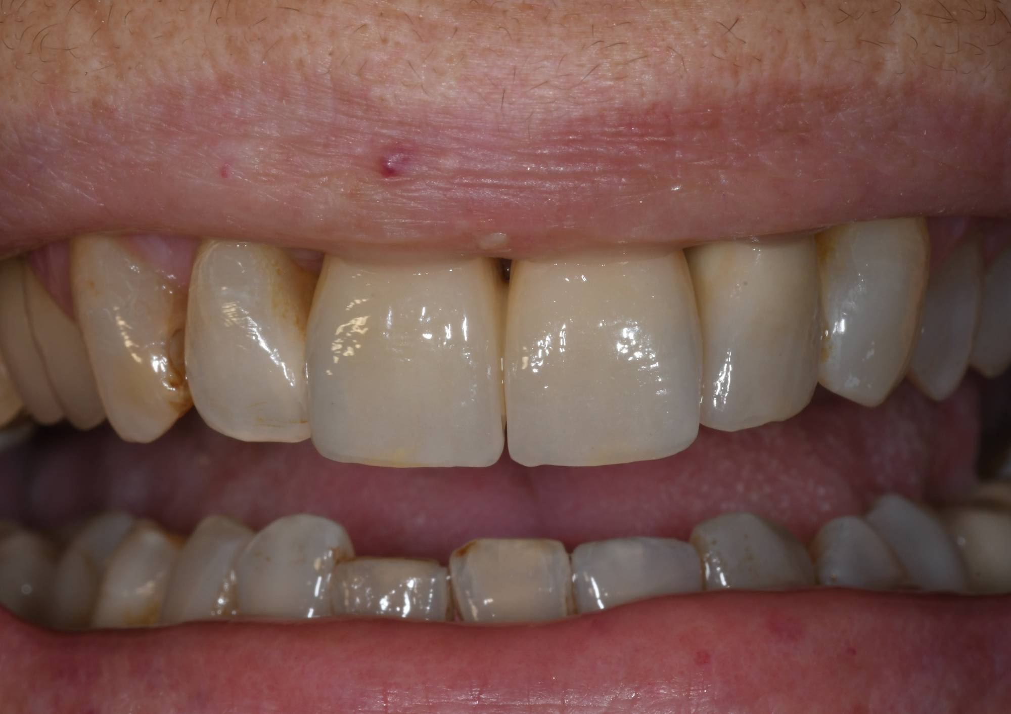
Guarda le foto. La signora si è presentata nel mio Studio con delle vecchie protesi in ceramica sui denti superiori, insoddisfatta del suo sorriso che riteneva vecchio, disarmonico e la metteva a disagio. E aveva ragione, i denti danno l’impressione di essere finti, senza adeguate proporzioni; le gengive si erano ritirate nel tempo. Adesso guardate come le ho cambiato il sorriso: i denti artificiali non si riescono a distinguere da quelli naturali. Solo osservando l’ultima foto puoi riconoscerli.
È questa l’essenza dell’odontoiatria estetica: forme armoniche, contorni naturali, corretto adattamento alle gengive, mimetismo totale e soprattutto naturalezza e imitazione perfetta dei denti naturali adiacenti.
Non sei soddisfatto del tuo sorriso, del tuo restauro protesico ormai datato? Ti senti a disagio per un look poco naturale? Vuoi fare un lifting al tuo sorriso? Allora chiamami adesso lo Studio del dott. Fabio Ballestrasse allo 03629956562


