Un artistico restauro naturale
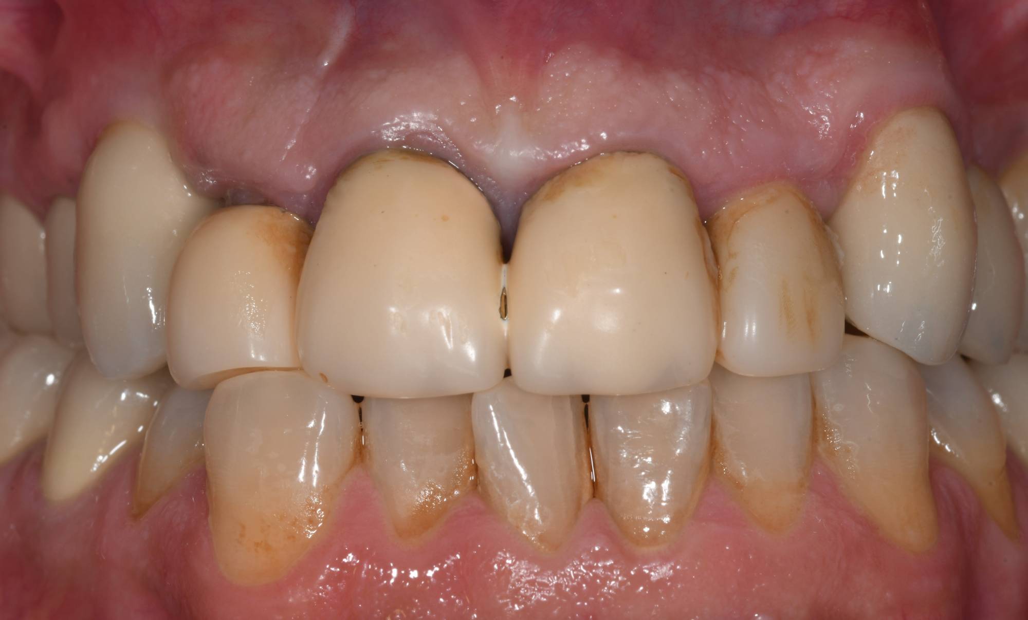
Il punto in cui tutti ti guardano mentre sorridi è quello degli incisivi superiori e, se hai eseguito anni fa dei restauri protesici, il tempo che passa può compromettere il tuo sorriso, abbassando la tua autostima. E se devi rifare quei restauri, la cosa più importante è che il risultato sia naturale. Guarda le due foto qui sotto. Il signore si è presentato nel mio Studio con i suoi 4 incisivi superiori che avevano delle capsule datate, molto consumate, eseguite con un materiale dall’aspetto artificiale e dalla forma anomala che erano diventate opache e ingiallite. Era insoddisfatto del suo sorriso, perché si è reso conto che il lavoro che gli era stato fatto 10 anni prima era diventato brutto e disarmonico. I suoi incisivi davano l’impressione di essere rovinati e soprattutto apparivano “finti”.
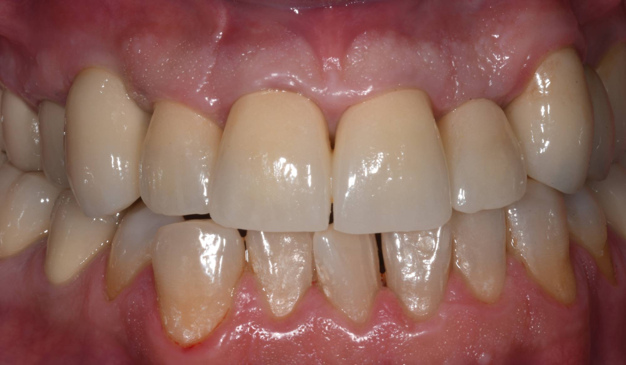
Adesso guarda la foto successiva e osserva come gli ho cambiato il sorriso: i denti artificiali non si distinguono quasi da quelli naturali. Questo grazie all’inserimento di 4 corone in zirconia stratificate con ceramica, con la totale assenza di metallo, a differenza di quelle vecchie. In odontoiatria estetica sono fondamentali le forme armoniche, la traslucenza tipica del dente sano, il mimetismo totale nell’imitazione perfetta dei denti naturali.
Se non sei soddisfatto del tuo sorriso o del tuo restauro protesico ormai datato, adesso sai che puoi cambiare look con i moderni materiali estetici del dott. Fabio Ballestrasse di Besana Brianza (MB).

