Un lifting per il tuo sorriso
Alcuni di voi quando sorridono davanti allo specchio si vergognano del loro aspetto. Che ti piaccia o meno, il sorriso contribuisce enormemente alla prima impressione che si dà agli altri.
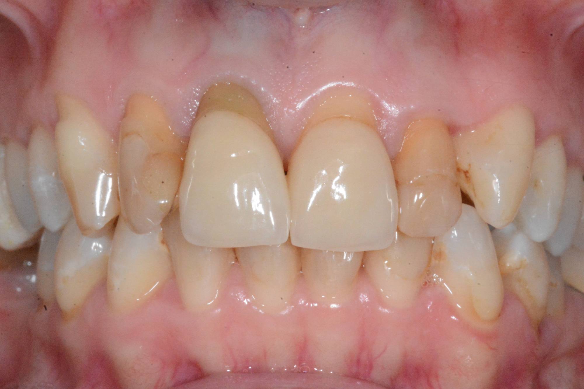
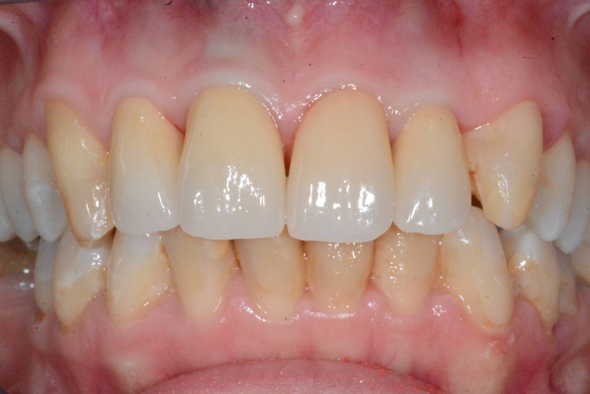
Un sorriso con denti ben curati è il primo biglietto da visita che puoi mettere in mostra. Ma se si vedono denti scuri o storti, vecchie otturazioni ingiallite, vecchie capsule con la gengiva ritirata, bordini neri o addirittura denti mancanti, l’impressione che darai a chi ti guarda ne risentirà inevitabilmente.
Pensa di dover fare un importante colloquio di lavoro, una cena romantica, un primo appuntamento, o semplicemente una risata tra colleghi: probabilmente non ti sentiresti a tuo agio. Fortunatamente però si può fare un “lifting” al tuo sorriso.
Guarda le foto qui sotto: è bastato fornire al sorriso di questa signora le cure dovute per farle riguadagnare autostima e sicurezza in sé stessa. Con i moderni materiali a mia disposizione e senza dover spendere un capitale, puoi cambiare il tuo atteggiamento nei confronti della società e della vita.
Il mio scopo non consiste solo nel curare i denti e le gengive, ma anche nel darti maggiore stima e fiducia in te stesso tutti i giorni e in ogni situazione.

