Una voglia di caffè
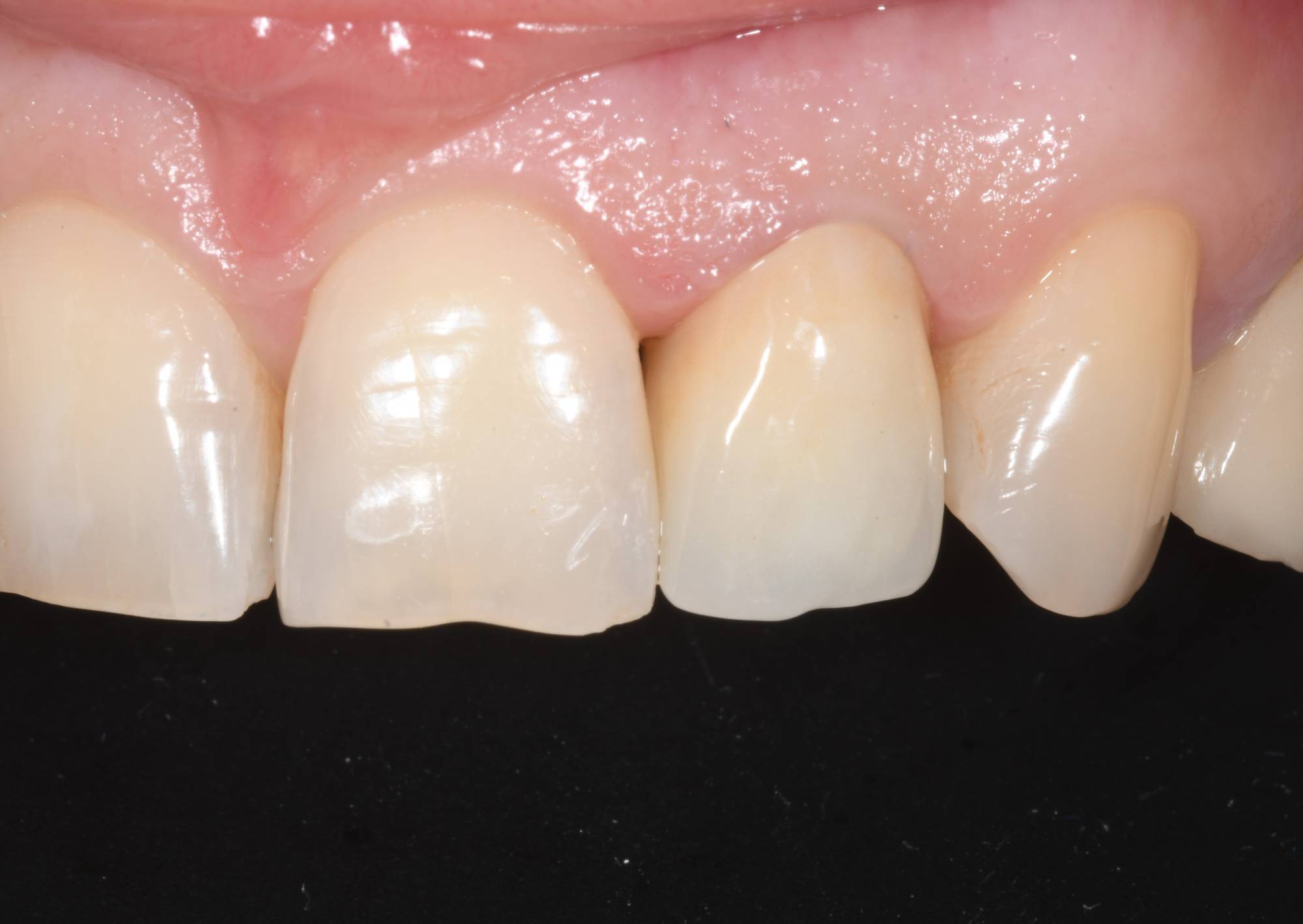
Se guardi la prima foto scommetto che non vedrai niente che ti possa sembrare anomalo: bei denti dal colore chiaro e dalle forme tipiche degli elementi frontali. Magari qualche segno di usura sui margini incisali, del resto la signora non ha più vent’anni. E se ti dicessi che uno di questi denti è una capsula?
Esatto, c’è una corona in zirconia statificata in ceramica. I vantaggi di questo materiale sono l’elevata resistenza e l’estetica naturale grazie alla traslucenza. Inoltre è biocompatibile quindi non crea reazioni avverse o allergie. Quando viene ricoperto con la ceramica, si ottiene il mix perfetto di resistenza ed estetica. Se vuoi vedere qual è il dente ricoperto, guarda l’altra foto. La signora aveva una vecchia capsula in resina, di quelle che si facevano tanti anni fa. Il problema è che quel materiale nel tempo ha assorbito i pigmenti alimentari e la paziente è un’amante del caffè. Un bel sorriso con denti ben curati è il primo biglietto da visita che puoi mettere in mostra e grazie a noi puoi personalizzarlo.
Nella prima foto vedi l’essenza dell’odontoiatria estetica: forme armoniche, contorni naturali, corretto adattamento alle gengive, mimetismo totale e soprattutto naturalezza e imitazione perfetta dei denti naturali adiacenti. Non solo bello, ma soprattutto naturale: questo è il mantra dello Studio dentistico del dott. Fabio Ballestrasse a Besana Brianza.

