Uno sbiancamento insolito
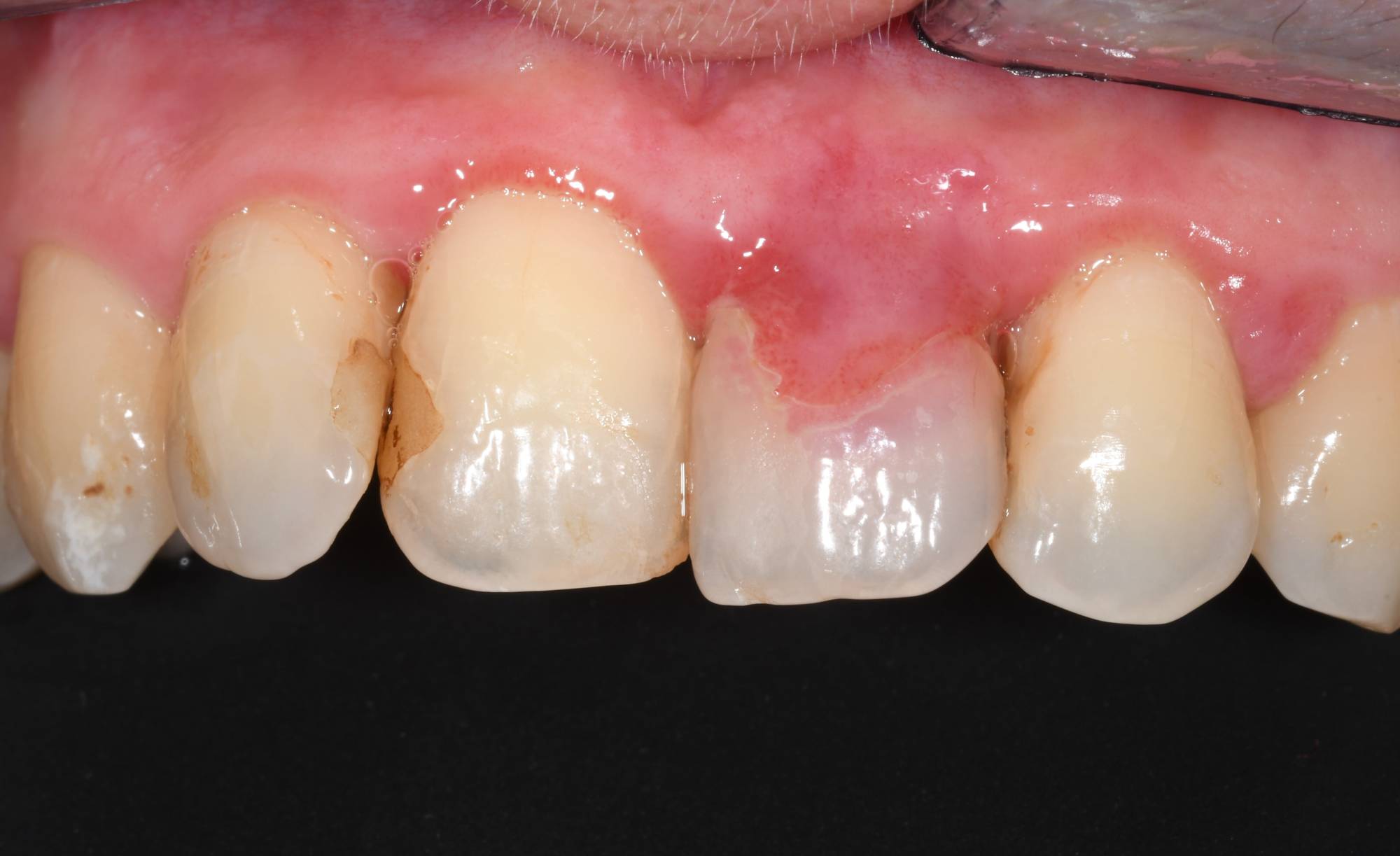
Se ti chiedi perché l’incisivo centrale alla sinistra di questa signora sia rosa, la risposta è che è stato colpito da una carie così grande che le gengiva è migrata all’interno della cavità e ha chiuso il buco che la carie aveva creato nello smalto di quell’incisivo. Oltre al dolore e ai problemi nel mangiare, la paziente non poteva più sorridere senza sentirsi a disagio con quel dente non più normale.
La mia terapia è consistita nell’estrarle il dente ormai non più recuperabile. Ho subito posizionato un impianto post estrattivo immediato e un provvisorio in resina, in modo da ridarle subito un’estetica accettabile. Allo stesso tempo ho dovuto ricostruire l’osso che era stato perso vicino alla carie profonda. Ho usato una tecnica di rigenerazione guidata ossea tramite osso artificiale e membrana in collagene.
Trascorsi 6 mesi, ho sostituito il provvisorio con una capsula in zirconia/ceramica e il risultato è quello che puoi vedere nella foto successiva: non si riesce a distinguere il dente naturale da quello che io le ho messo. L’unico “indizio” è che quello naturale ha una vecchia otturazione ingiallita a sinistra. Non preoccuparti: a breve risistemerò quell’otturazione e anche quella dell’incisivo laterale di fianco, anch’essa ingiallita. Così la signora potrà tornare a sorridere senza più vergognarsi.
Se anche tu non ti senti a tuo agio quando sorridi, c'è sempre un rimedio per ogni problema, te lo garantisce il dott. Fabio Ballestrasse di Besana Brianza.

