Uno spazio di troppo
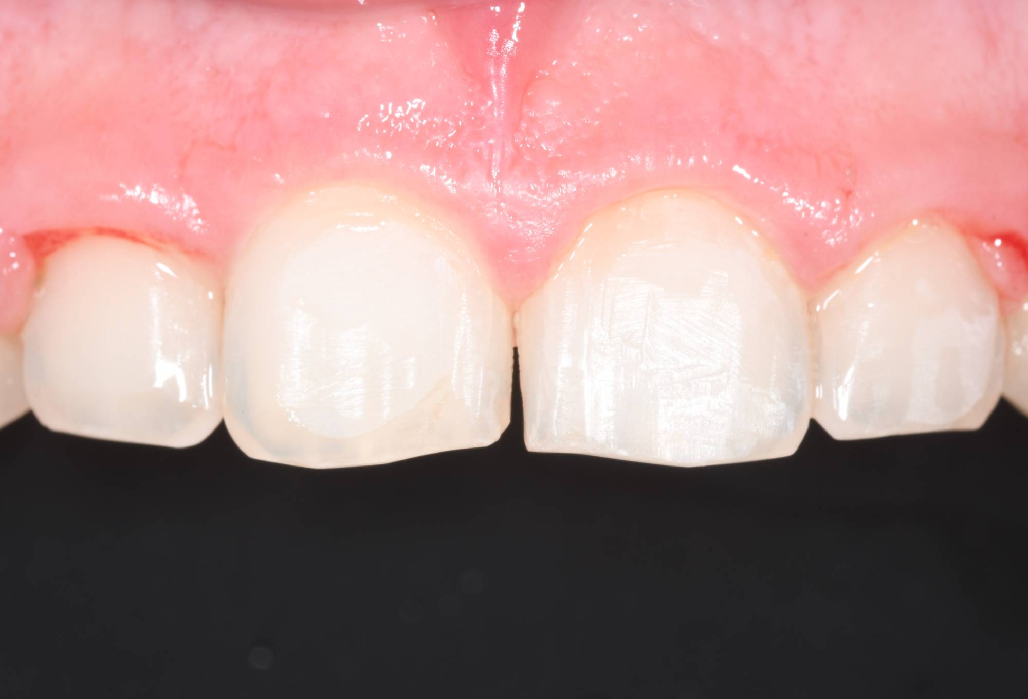
Se provi una sensazione di imbarazzo mentre ridi, questo è il post dedicato a te. Ridere esprime tutta la nostra di gioia e un bel sorriso ne è un ottimo segnale. Molti provano vergogna perché i loro denti hanno vecchie otturazioni scolorite, scure, sbeccate. Ma anche avere uno spazio tra gli incisivi (che noi odontoiatri chiamiamo “diastema”) può essere fonte di disagio. Guarda la prima foto qui sotto: una giovane ragazza aveva appena tolto l’apparecchio ortodontico per allineare i denti e si è ritrovata un diastema proprio tra gli incisivi centrali. Piccolo, ma lei lo vedeva enorme, tanto da imbarazzarsi nel sorridere. Inoltre aveva delle sbeccature sul margine degli stessi incisivi, dovute ad un vecchio trauma, fatto che la metteva ancor più in imbarazzo. Ha ritrovato la voglia di sorridere dopo che le ho chiuso il piccolo diastema tra i suoi incisivi superiori e le ho ricostruito le parti di smalto che si erano sbeccate, come si vede nella seconda foto, il tutto in un’unica seduta. Questo è l’aspetto più bello del mio lavoro: ridare la voglia di sorridere alle persone, aumentare la loro autostima, aiutarle a sentirsi più sicure di sé stesse. E' quello che si fa ogni giorno nello Studio dentistico del dott. Fabio Ballestrasse a Besana Brianza (MB). Sei di Renate o Briosco? Il dentista di fiducia è vicino a te!
E in questo caso non ho dovuto ricorrere a soluzioni protesiche lunghe e costose. I risultati che vedi nella foto si ottengono con nuovi e performanti materiali compositi per otturazioni estetiche. I vantaggi di questa tecnica additiva sono:
• Risultati veloci in una sola seduta
• Non invasività dell’operazione
• Basso costo

