Vantaggi del carico immediato in implantologia
Non ne hai mai sentito parlare? Ti spiego io i punti principali! Se ad una persona mancano dei denti, o gliene vengono estratti, normalmente vengono messi gli impianti su cui si avvitano le capsule dopo qualche mese. Prima di avere i denti fissi dovrà aspettare l’integrazione dell’impianto nell’osso. Ma se i denti persi sono in una zona estetica e addirittura mancano in tutta l’arcata allora sorridere o mangiare diventa un grosso problema. Ecco che c’è una tecnica per poterli rimpiazzare velocemente: l’implantologia a carico immediato.
Si mettono cioè gli impianti e si esegue subito un’impronta in modo da poter rimpiazzare i denti persi entro 48 ore. Così i tempi vengono ridotti. Occorre però un’accurata programmazione chirurgica: non ti racconto la favola che si può effettuare su tutti, bisogna valutare caso per caso. Questo è il protocollo che si segue nello Studio dentistico del dott. Fabio Ballestrasse a Besana Brianza.
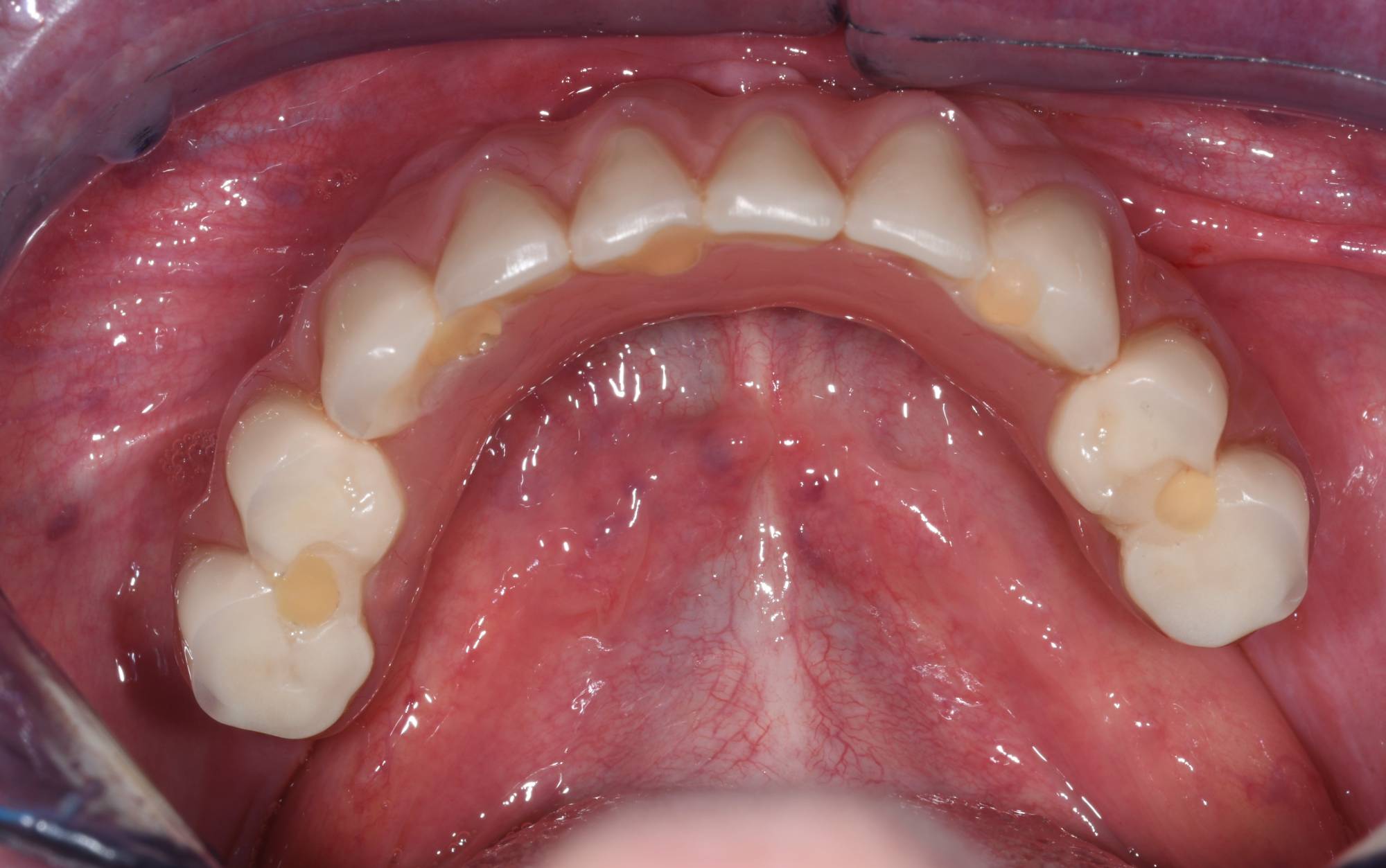
Come vedi dalle foto qui sotto, la paziente aveva perso numerosi denti e quelli rimanenti erano “traballanti”, pertanto non poteva più sorridere e mangiare normalmente. Per cui ho inserito gli impianti osteointegrati necessari per rimpiazzare tutta l’arcata inferiore. Nel giro di 2 giorni ha ritrovato sorriso e funzione con una protesi fissa provvisoria saldamente avvitata agli impianti.
Questa tecnica è adatta per sostituire sia un singolo dente che un’arcata intera!
I vantaggi quindi sono:
• sostituzione dei denti subito dopo l’intervento chirurgico
• ripristino veloce dell’estetica e della funzione
• ridotto numero di sedute e minore stress

