Voglio chiudere la finestra!
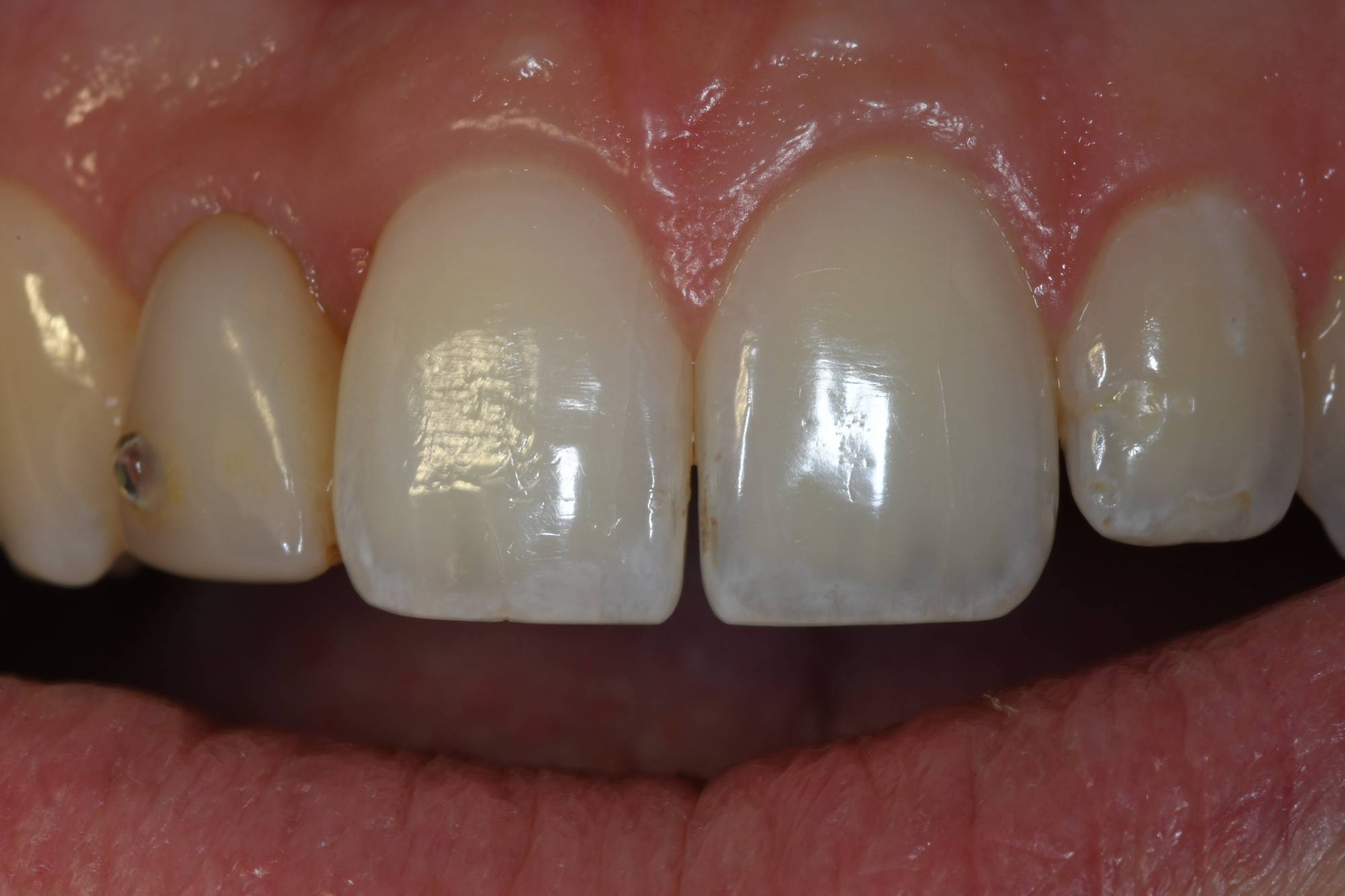
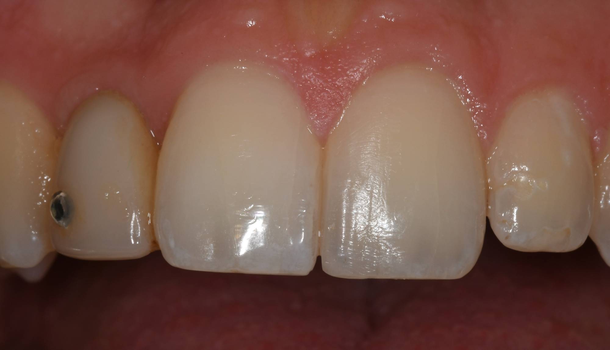
Ridere è la massima espressione di gioia e un bel sorriso è un ottimo biglietto da visita. Molte persone si vergognano dei loro denti a causa di imperfezioni come vecchie otturazioni scolorite, scure, sbeccate. Ma anche avere uno spazio tra gli incisivi (che noi dentisti chiamiamo “diastema”) può mettere in imbarazzo una persona.
Guarda le foto qui sotto: una giovane signora ha trovato la voglia di sorridere dopo che il dott. Fabio Ballestrasse di Besana Brianza le ha chiuso il piccolo diastema tra i suoi incisivi superiori. Piccolo, ma lei lo vedeva enorme, tanto da imbarazzarsi nel sorridere.
Questo è l’aspetto più bello del mio lavoro: ridare la voglia di sorridere alle persone, aumentare la loro autostima, farle sentire più sicure di sé stesse.
Per dare i risultati che vedi nella foto, a Besana Brianza utilizzo nuovi e performanti materiali compositi per otturazioni estetiche. I vantaggi della tecnica additiva sono:
• Risultati veloci in una sola seduta
• Non invasività dell’operazione
• Costo basso

