Zirconia. Metallo o non metallo, questo è il problema
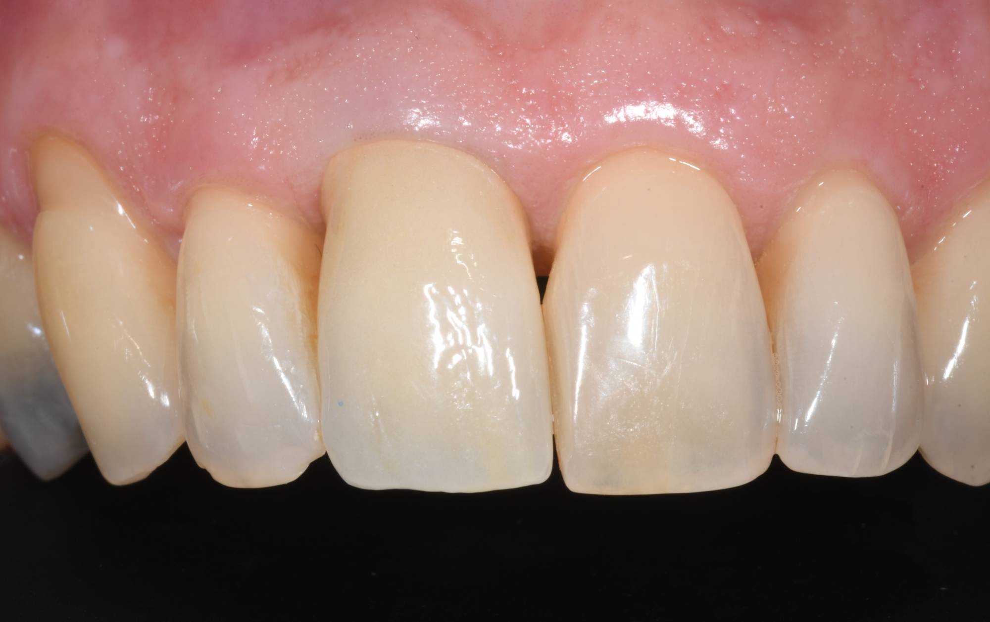
Se ti chiedi se le capsule in zirconia siano senza metallo, la domanda è lecita e la risposta non banale. Guarda la foto. È una corona di un incisivo centrale superiore. Come puoi vedere non si vede ombra di metallo, nè dentro nè tantomeno fuori.
Ma procediamo con ordine. Lo zirconio (Zr) è un metallo di colore grigiastro, molto resistente e malleabile. La zirconia ( Zr O2), o ossido di zirconio, che noi dentisti usiamo in odontoiatria protesica, deriva dallo zirconio, ma non è un metallo, bensì un ossido ceramico del metallo di partenza. E’ quindi un materiale ceramico cristallino bianco con cui si realizzano protesi dentarie interamente in zirconia (corone monolitiche) o sulle quali stratificare la ceramica. I vantaggi di questo materiale sono l’elevata resistenza, anche con spessori di solo mezzo millimetro e un’estetica naturale grazie alla traslucenza. Inoltre è biocompatibile (non crea reazioni avverse o le allergie), tanto che viene usata anche per le protesi di anca e ginocchio.
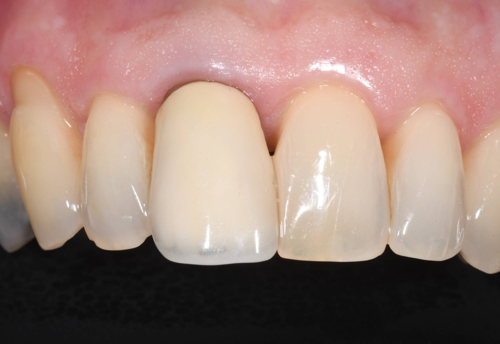
Quando viene ricoperto con la ceramica, si ottiene il mix perfetto di resistenza ed estetica. Infatti guarda la seconda foto. Sapresti dire quale di questi denti è una corona protesica? Se è eseguita a regola d’arte, non si riesce a distinguere dai denti naturali. Se vuoi scoprire qual è il dente ricoperto, guarda l’ultima foto. L’elemento in questione era una vecchia capsula in metallo-ceramica che la paziente desiderava sostituire perché era troppo “finta” e le rovinava il sorriso. Questo è quello che eseguiamo nello Studio del dott. Fabio Ballestrasse di Besana Brianza (MB).


