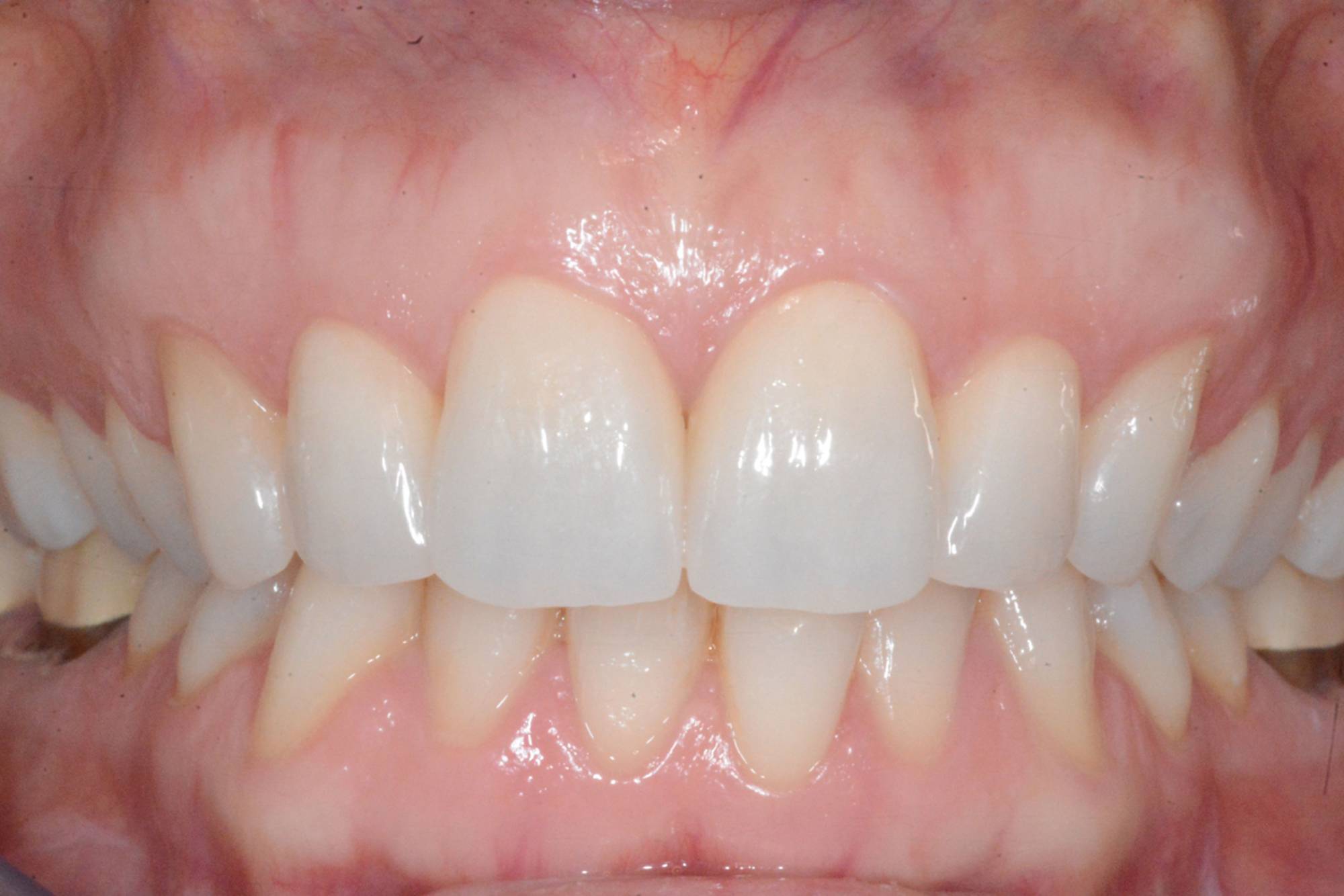
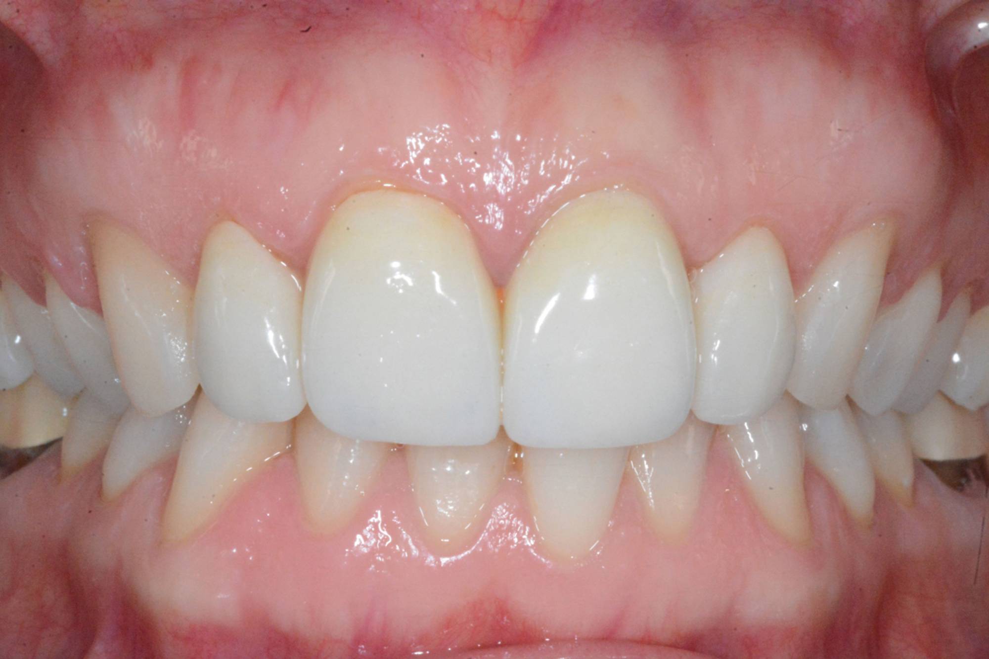
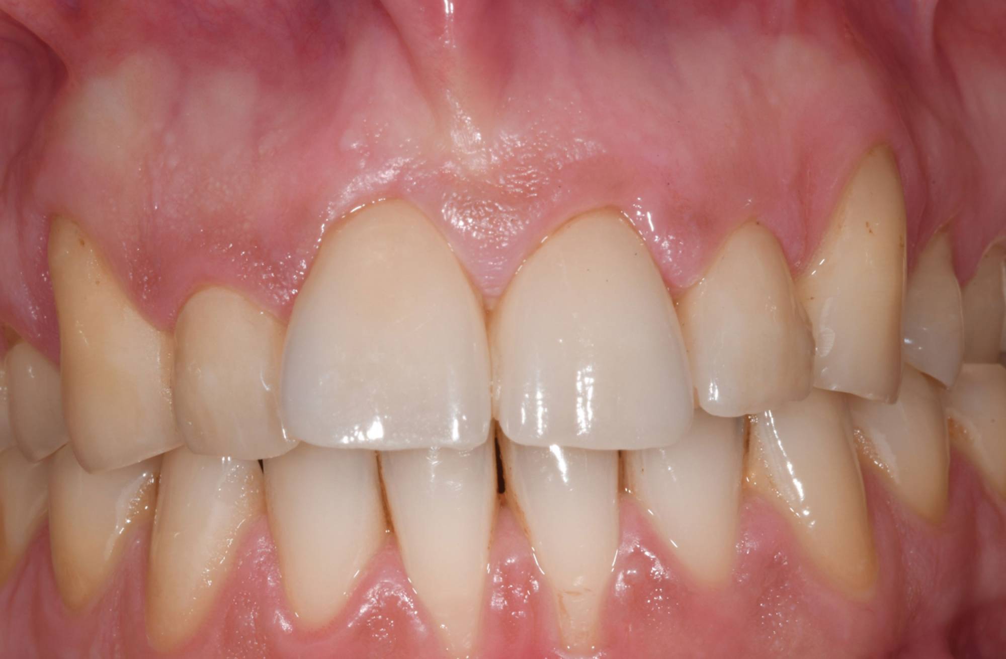
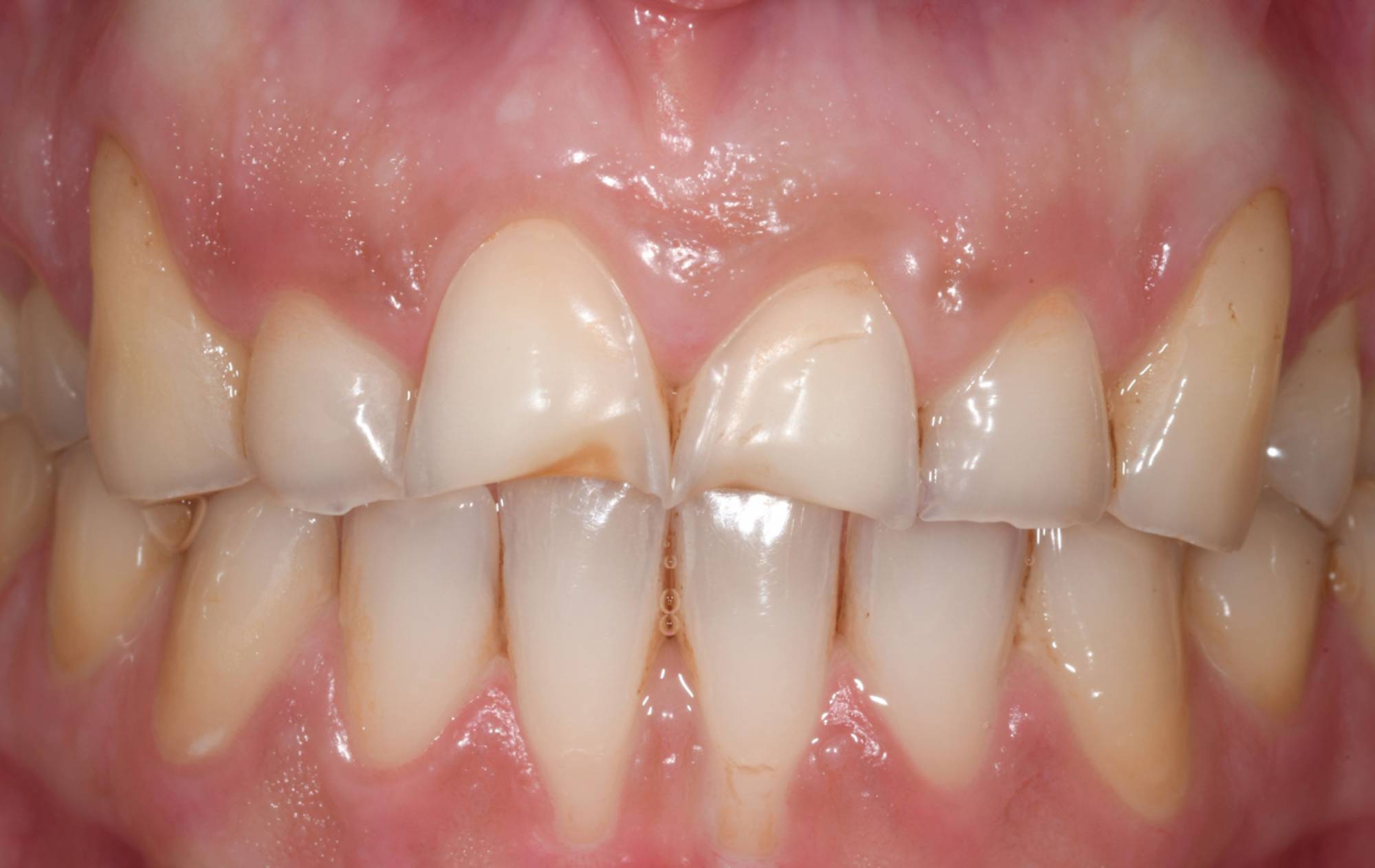
Faccette in ceramica
Le faccette sono sottili strati di ceramica, dello spessore di un'unghia, realizzati con della stessa forma e colore dei denti naturali e cementati sulla superficie frontale dei denti anteriori a scopo estetico.
Le faccette possono servire per ridare forma ai denti e riequilibrare il sorriso, ottenere una tinta più chiara e brillante o per conferire un aspetto più naturale ed attraente.
Le faccette si avvicinano alla perfezione dello smalto dei denti naturali meglio di qualsiasi altro materiale, garantendo elevata resistenza e durata, per donarvi un sorriso smagliante il più a lungo possibile.
La loro realizzazione richiede solitamente almeno due appuntamenti. Il primo necessario per creare lo spazio necessario a ospitare faccette, con l'asportazione di una minima quantità di smalto all'esterno dei denti; il secondo per cementarle ai denti anteriori con una specifica tecnica adesiva che le rende un tutt'uno con lo smalto.
Le faccette in ceramica sono utilizzate per:
- creare un bel sorriso uniforme
- riparare denti fratturati o abrasi
- coprire denti gravemente macchiati
- allargare denti troppo piccoli
- chiudere gli spazi fra i denti













