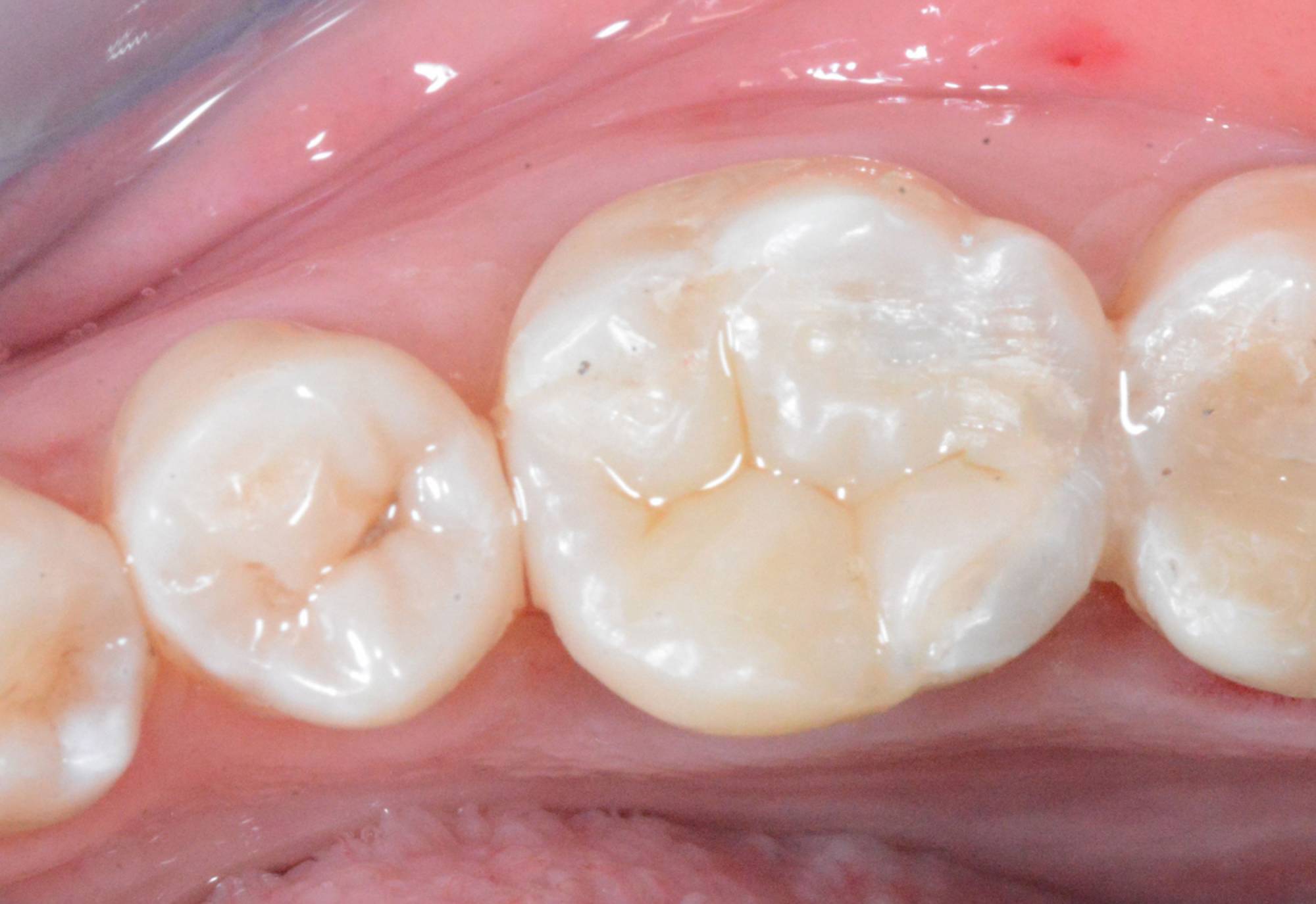
Intarsi estetici
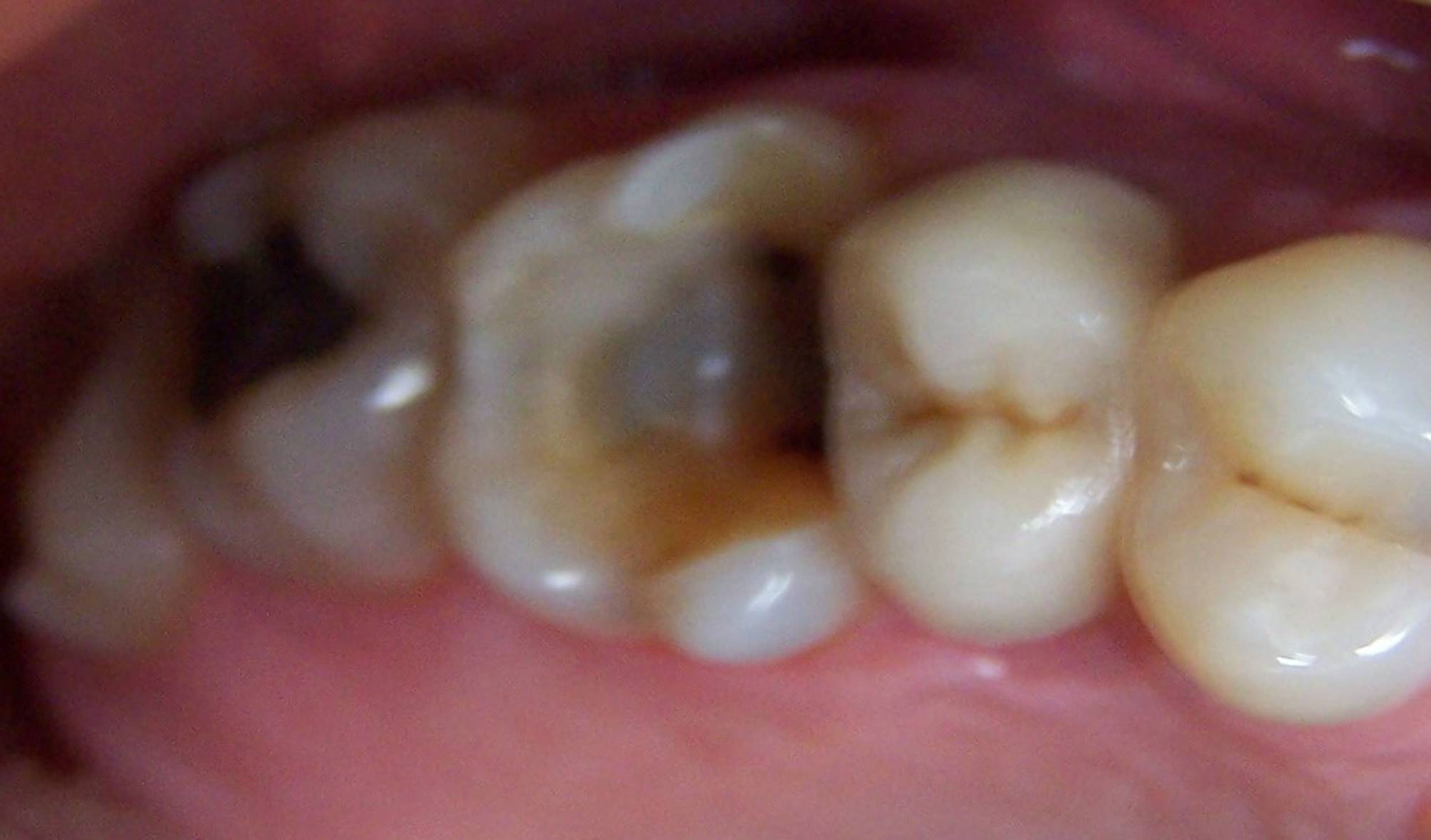
Un intarsio è un particolare tipo di otturazione che serve a riempire lo spazio lasciato dalla rimozione di una carie o di una vecchia otturazione, oppure da una frattura. Quando i denti posteriori hanno cavità che richiedono restauri meno estesi di una corona, ma abbastanza gravi da necessitare di qualcosa di più di un’otturazione, gli intarsi sono una scelta eccellente, che aiuta a ridare supporto alla struttura dentale rimanente, minimizzano la necessità di ulteriori trattamenti.
Per realizzarli si utilizza una ceramica vetrosa (il disilicato di litio) o la resina composita: in entrambi i casi il risultato estetico è assicurato, in quanto il restauro è invisibile all’interno del dente.
Per finalizzare un intarsio servono due appuntamenti: durante il primo viene rimossa la carie o la vecchia otturazione, la cavità viene modellata e si rileva un’impronta di precisione. Nell’appuntamento successivo si cementa l’intarsio nella cavità in modo che diventi un corpo unico col dente, impedendone un successivo distacco e garantendo anni di perfetta funzionalità ed estetica.






