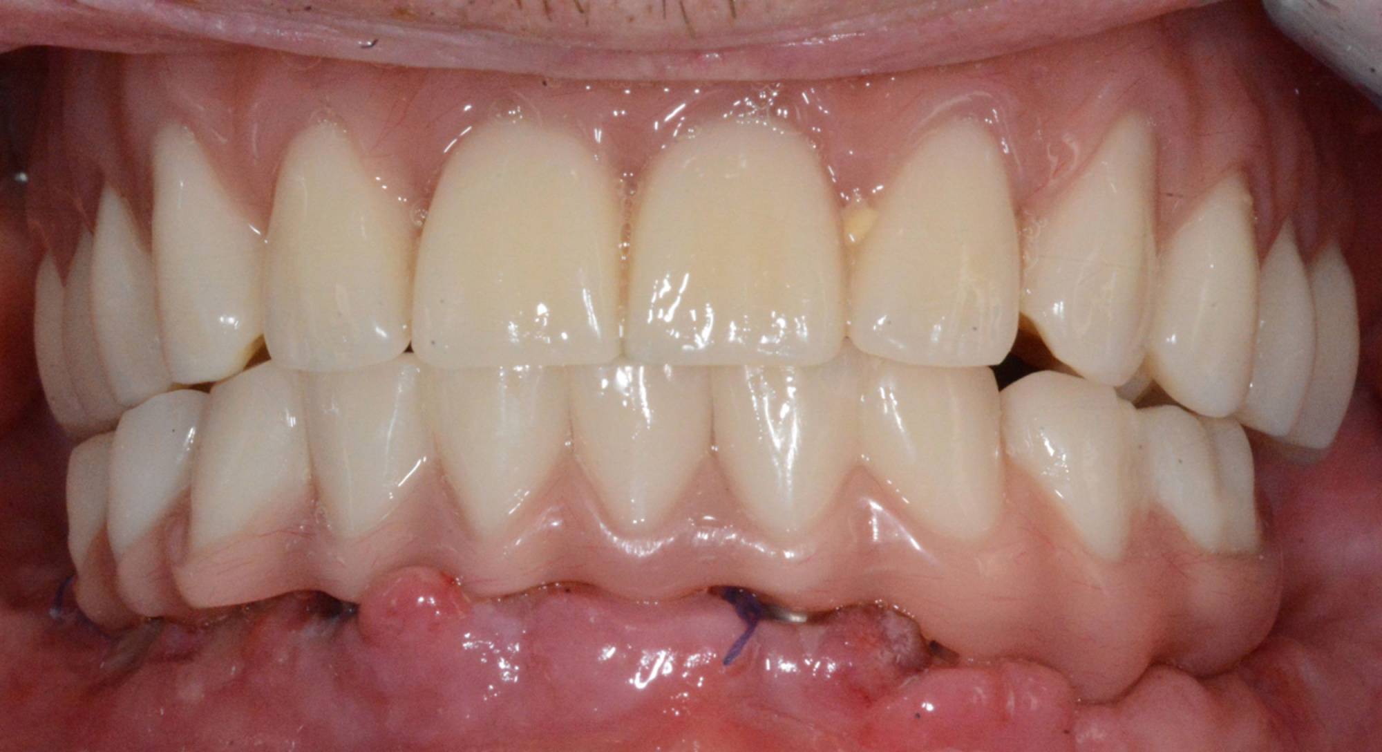
Implantologia
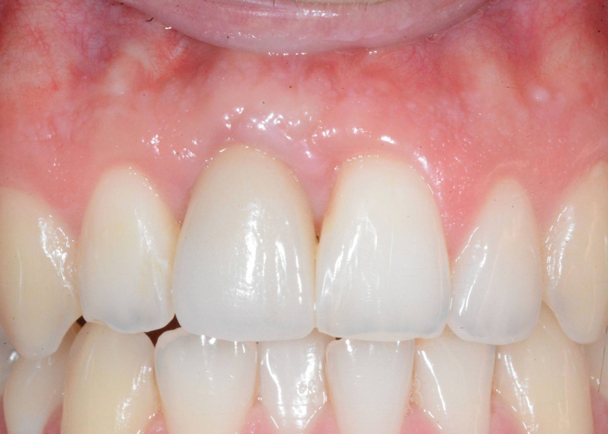
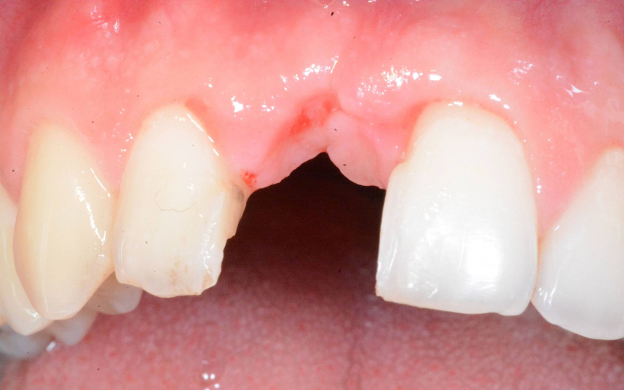
L'impianto dentale osteointegrato è una sorta di radice artificiale che si inserisce nell’osso del paziente, per rimpiazzare un dente mancante.
I vantaggi
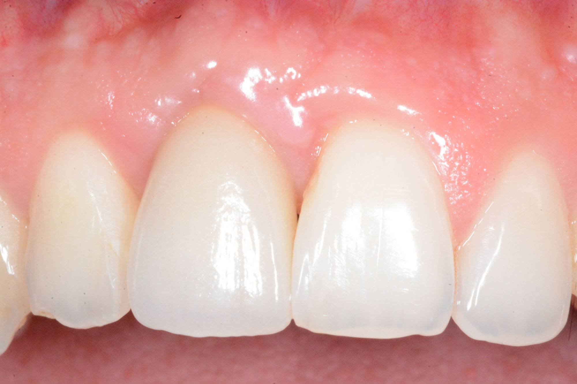
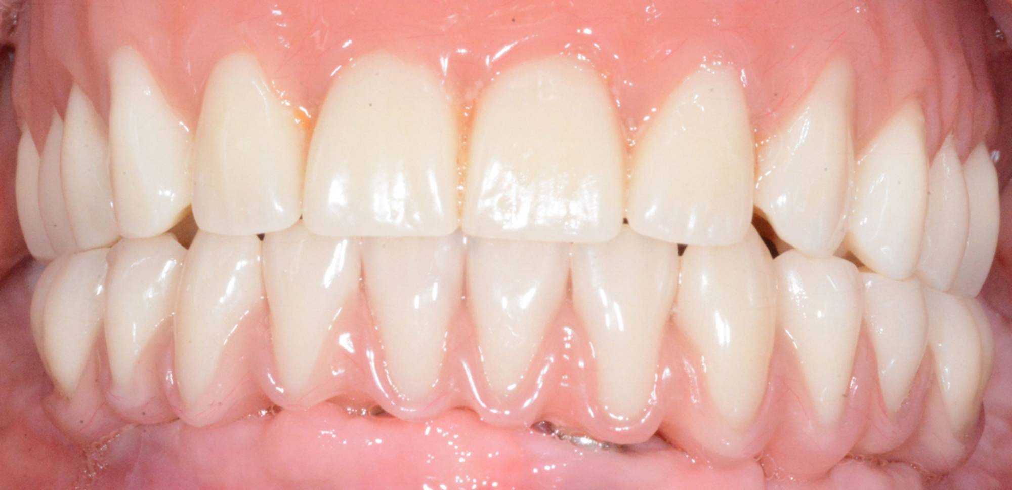
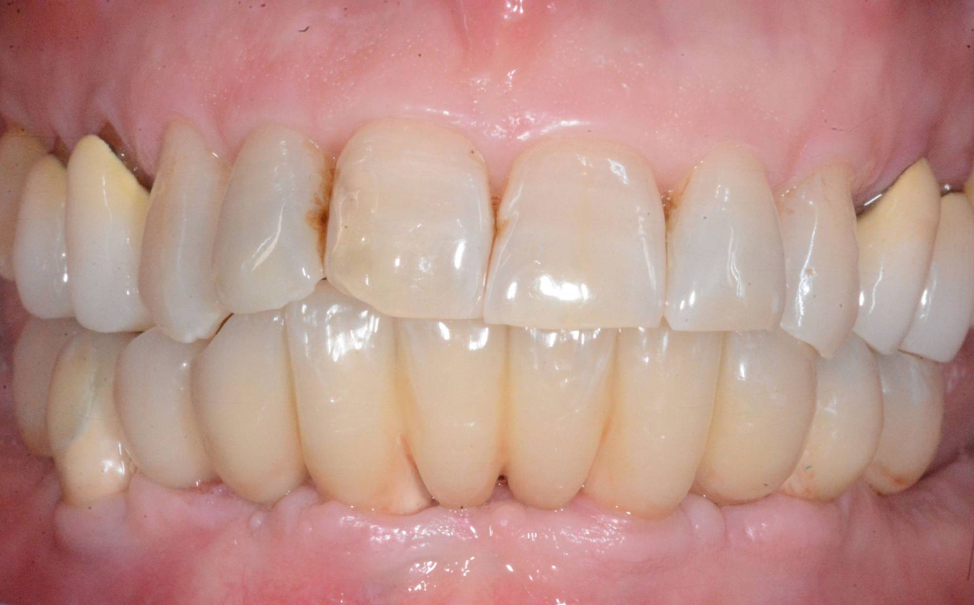
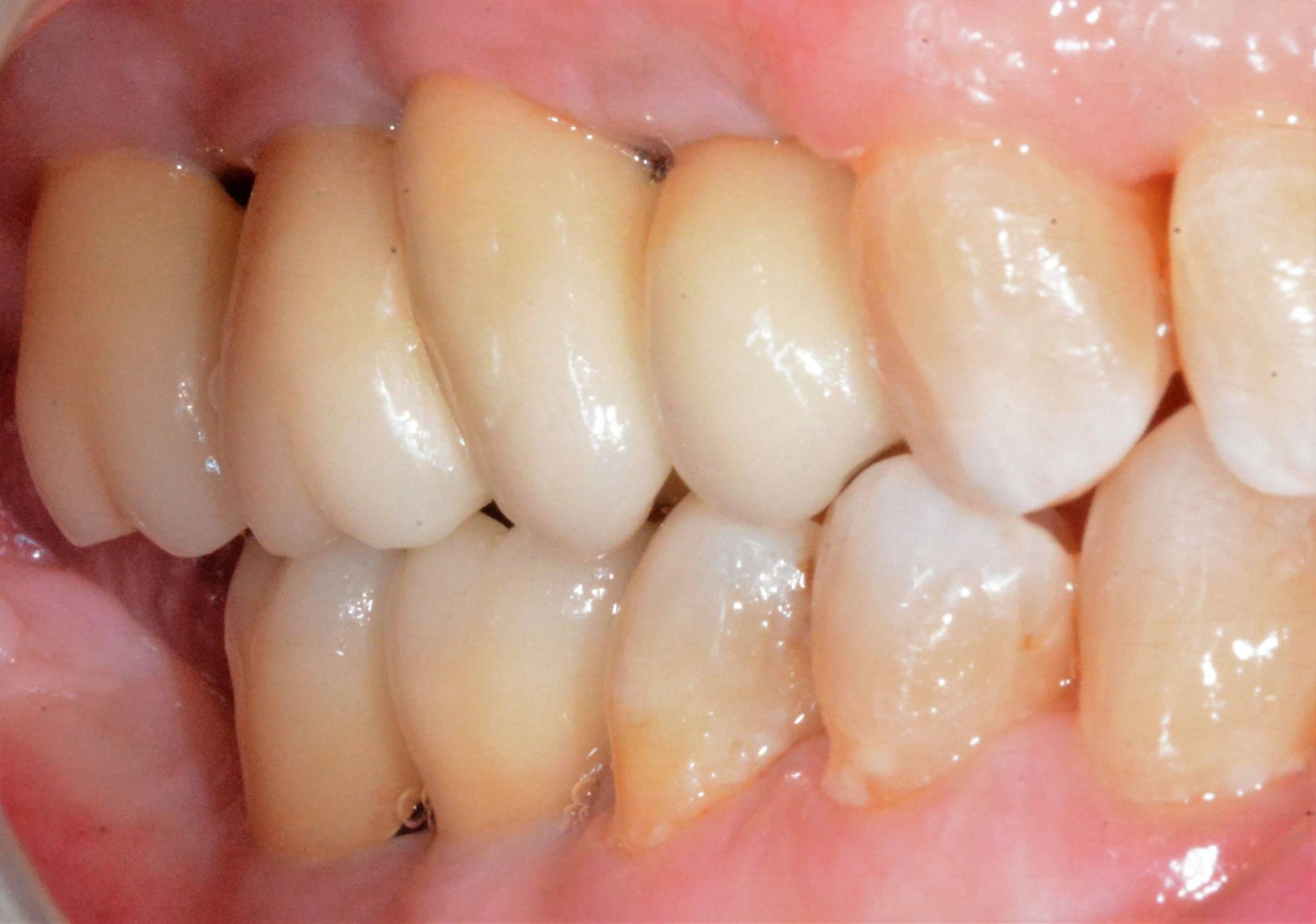
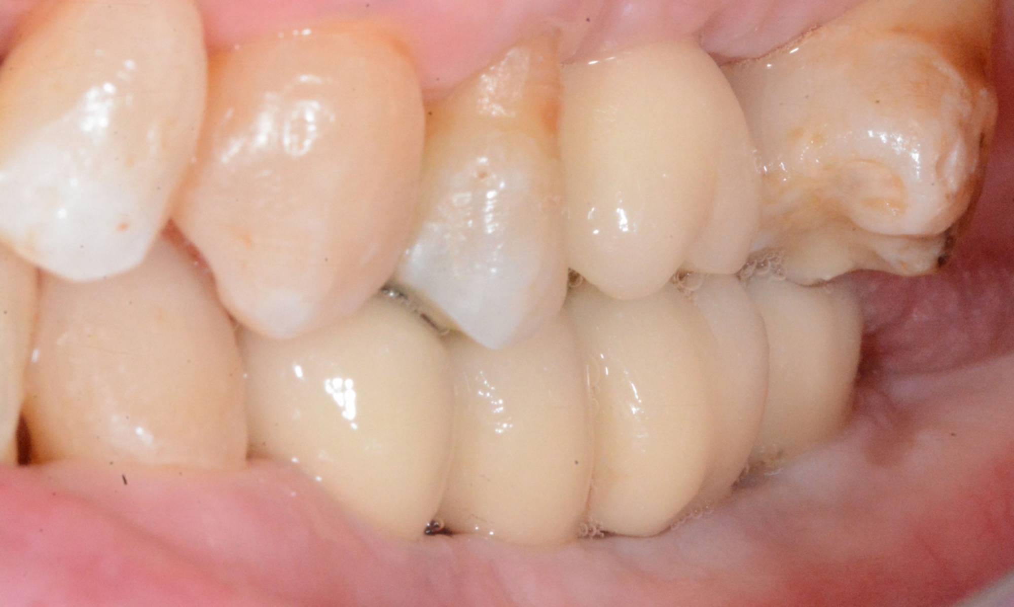
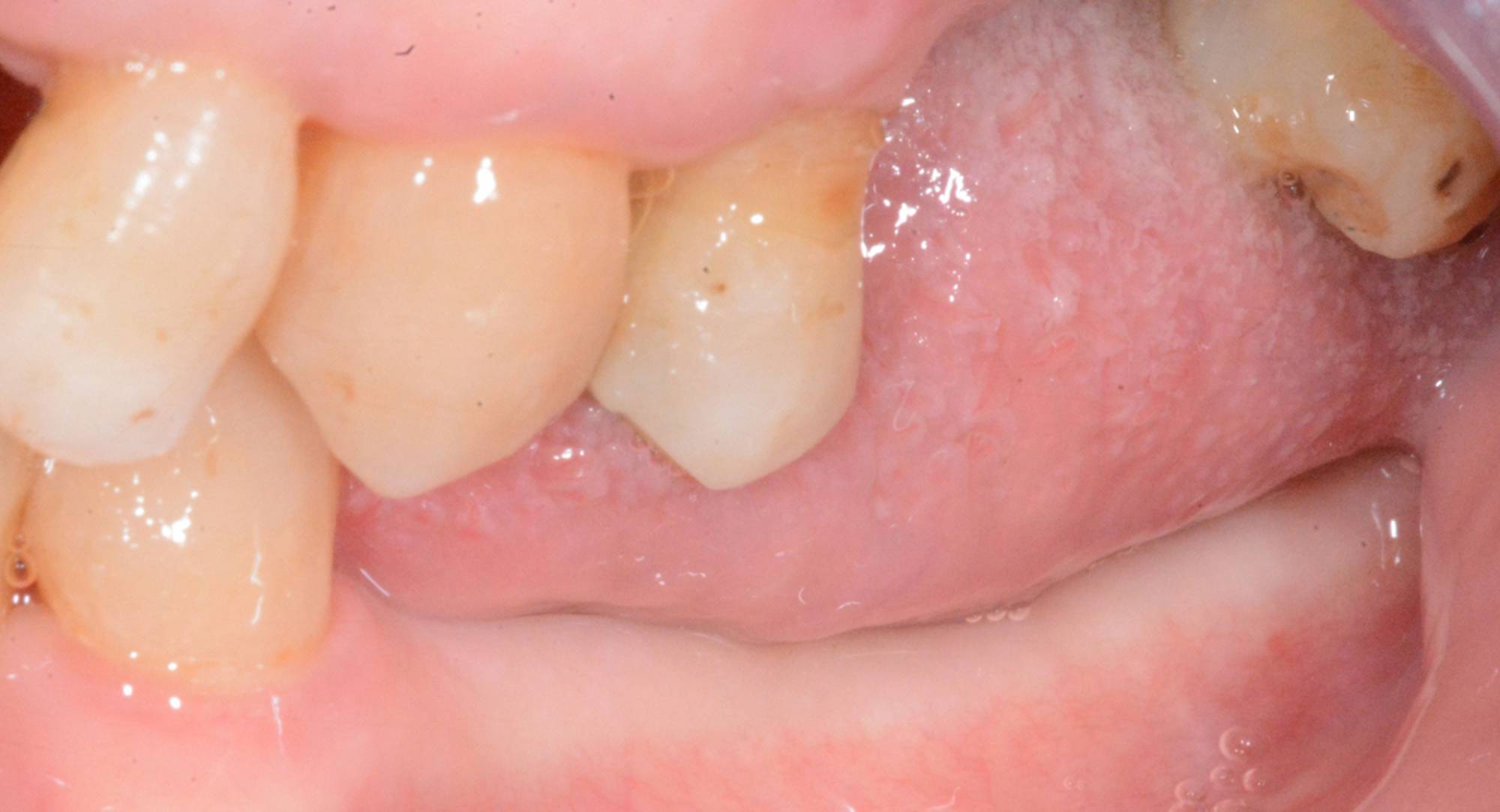
L'impianto, oltre a essere un metodo sicuro, garantisce l'aspetto esteriore e la piena funzionalità di un dente naturale. Oltre a ciò, mantiene l’integrità dell’osso, non va ad intaccare i denti adiacenti - come invece farebbe un ponte - e migliora l’estetica facciale prevenendo la perdita ossea.
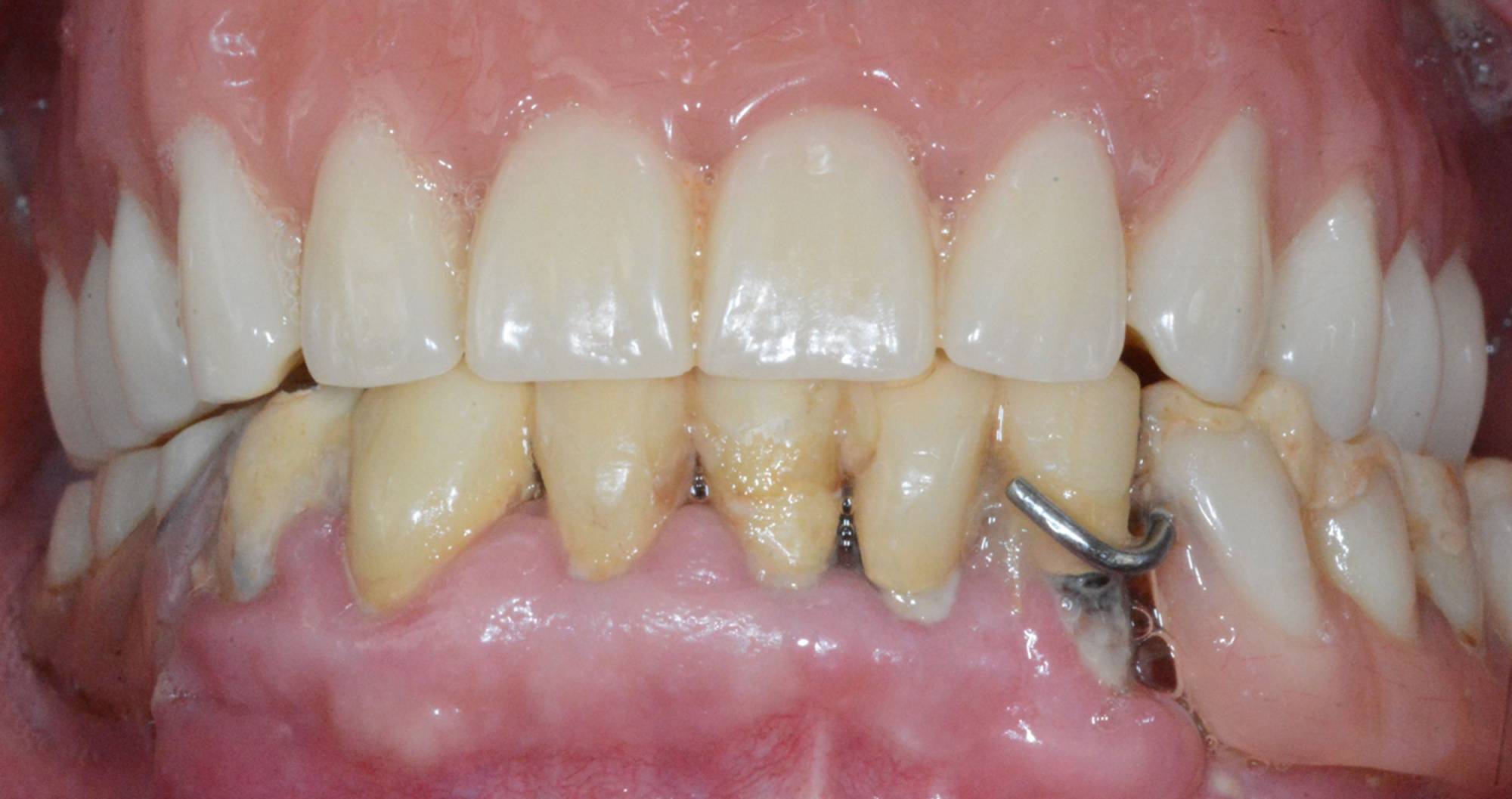
Gli impianti sono molto versatili e possono essere usati per sostituire un dente singolo, più denti fissi o addirittura un'intera arcata. Inoltre, possono essere inseriti sotto una protesi mobile per stabilizzarla migliorandone il comfort.
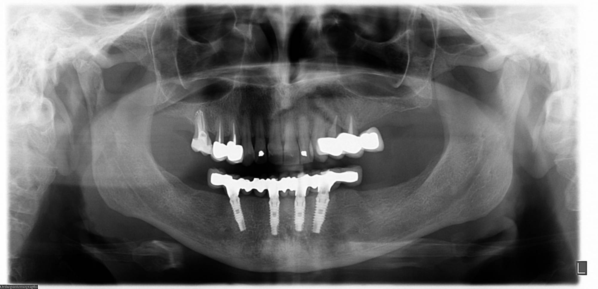
Quasi tutti possono ricorrere agli impianti, poiché sono una soluzione che presenta solo poche controindicazioni di carattere generale. Anche nei casi in cui non vi sia una sufficiente quantità d’osso per inserire l’impianto, è possibile ricorrere a tecniche di rigenerazione ossea guidata utilizzando biomateriali specifici e porzioni d'osso prelevate dal paziente stesso, per ricostruire la parte ossea mancante.
Le tecniche
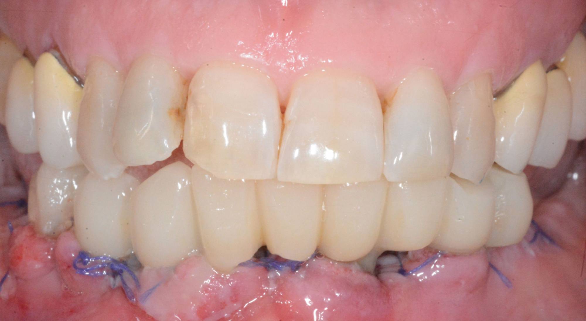
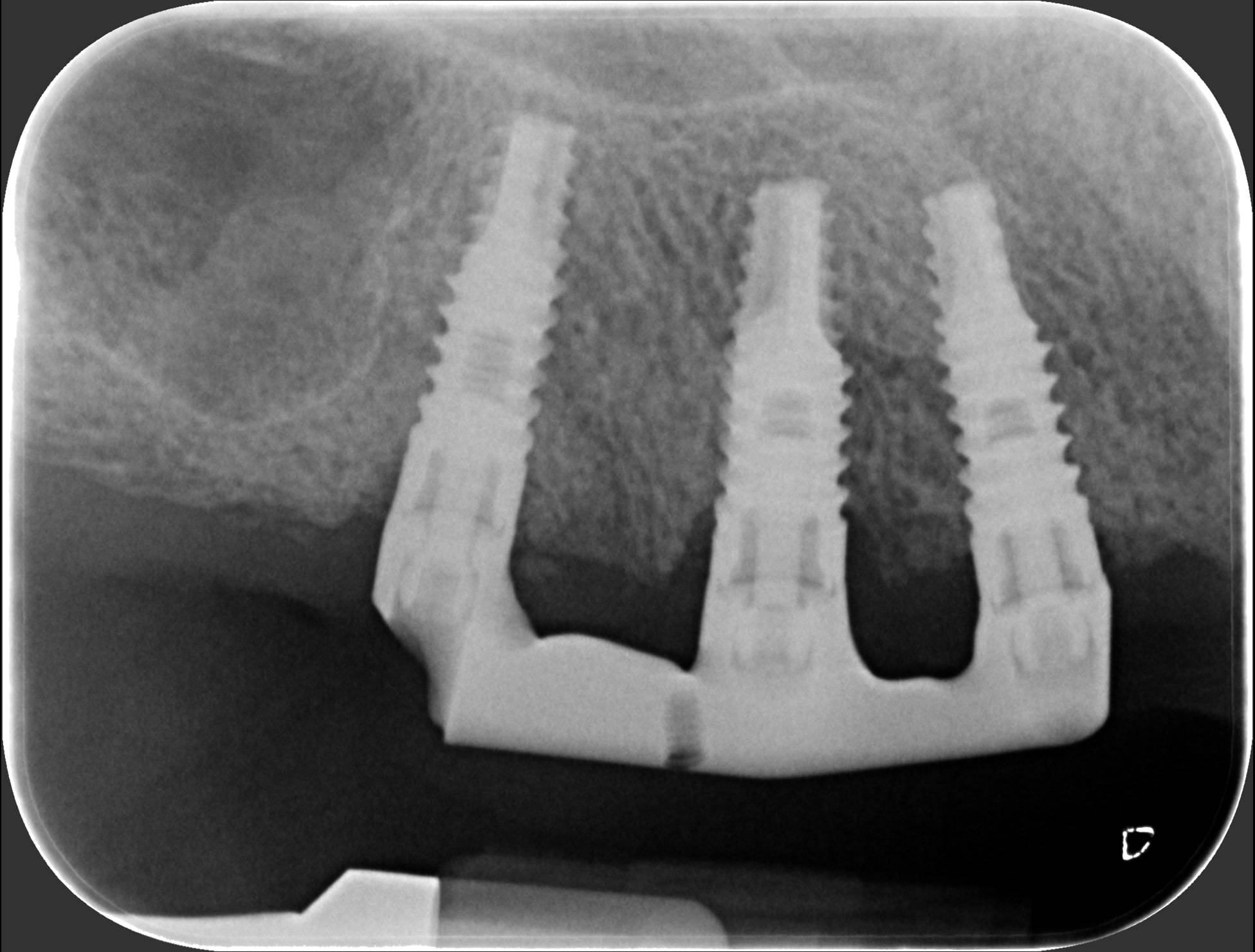
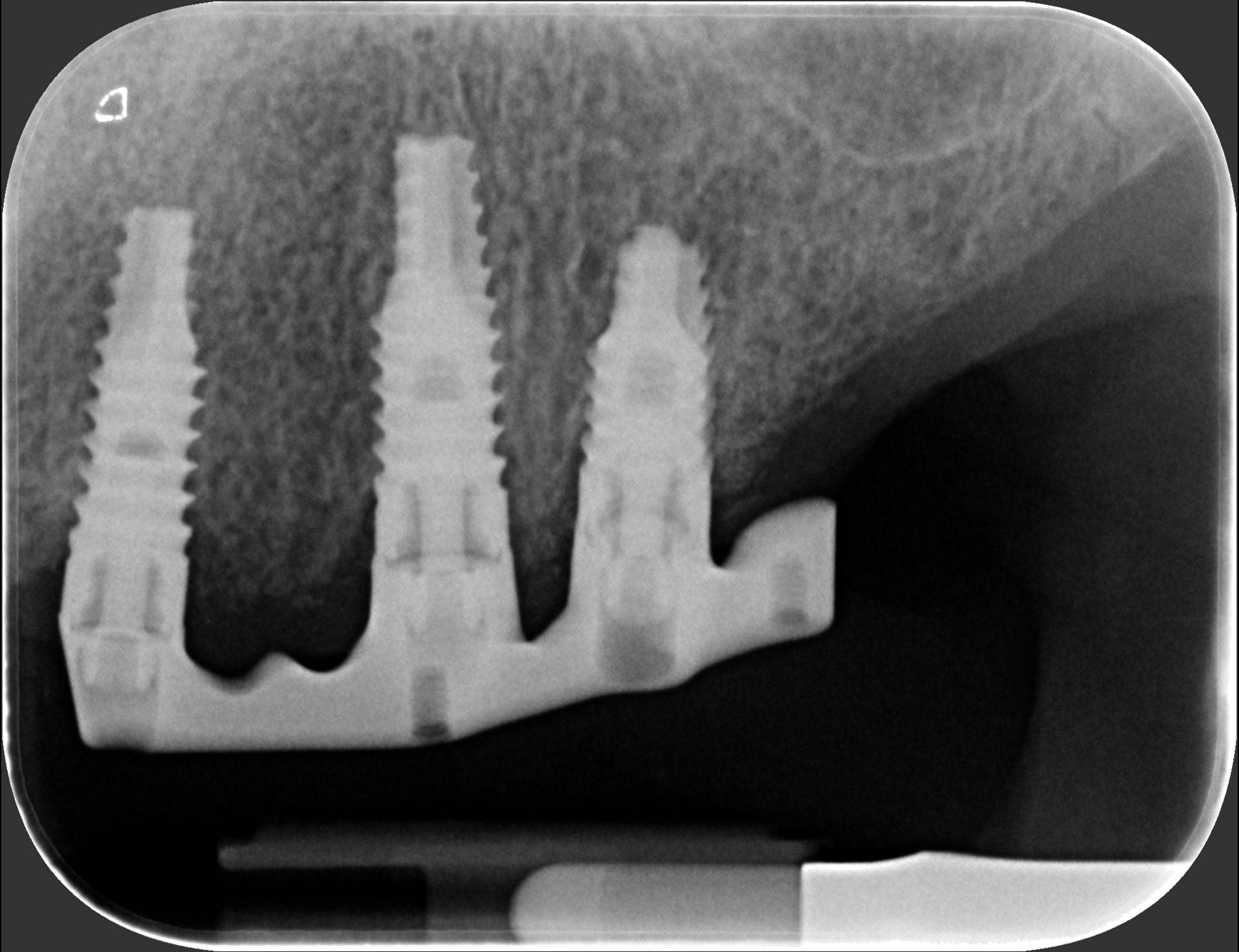
Generalmente devono trascorrere alcuni mesi tra l’intervento chirurgico di inserimento di un impianto e la realizzazione della protesi da fissare ad esso.
In questo lasso di tempo, nel quale l'impianto è sommerso sotto la gengiva e si avvia il processo di guarigione ossea, si realizza l'osteointegrazione, ovvero un intimo contatto fra l’osso e la superficie biocompatibile in titanio dell’impianto.
Tuttavia, in alcuni casi selezionati, è possibile protesizzare gli impianti subito dopo il loro posizionamento, nel giro di pochi giorni o addirittura nel corso della stessa seduta: questa tecnica è definita “carico immediato” e consente al paziente di entrare in Studio con la sua vecchia dentiera e di uscire il giorno stesso con una protesi fissa.
Una tecnica recente e molto apprezzata è l’implantologia computer guidata. L’anatomia della zona da operare è studiata con la Tomografia Computerizzata, simulando al computer, con un software di alta precisione 3D, il posizionamento degli impianti. Sulla base dei dati elaborati dal software si realizza in laboratorio una mascherina chirurgica che guiderà gli strumenti e gli impianti nella corretta posizione nell’osso del paziente, rendendo l’intervento più sicuro e veloce.
Per saperne di più, leggete l'articolo "Niente più dentiere grazie al Dr. Fabio Ballestrasse"





















































