Conservativa
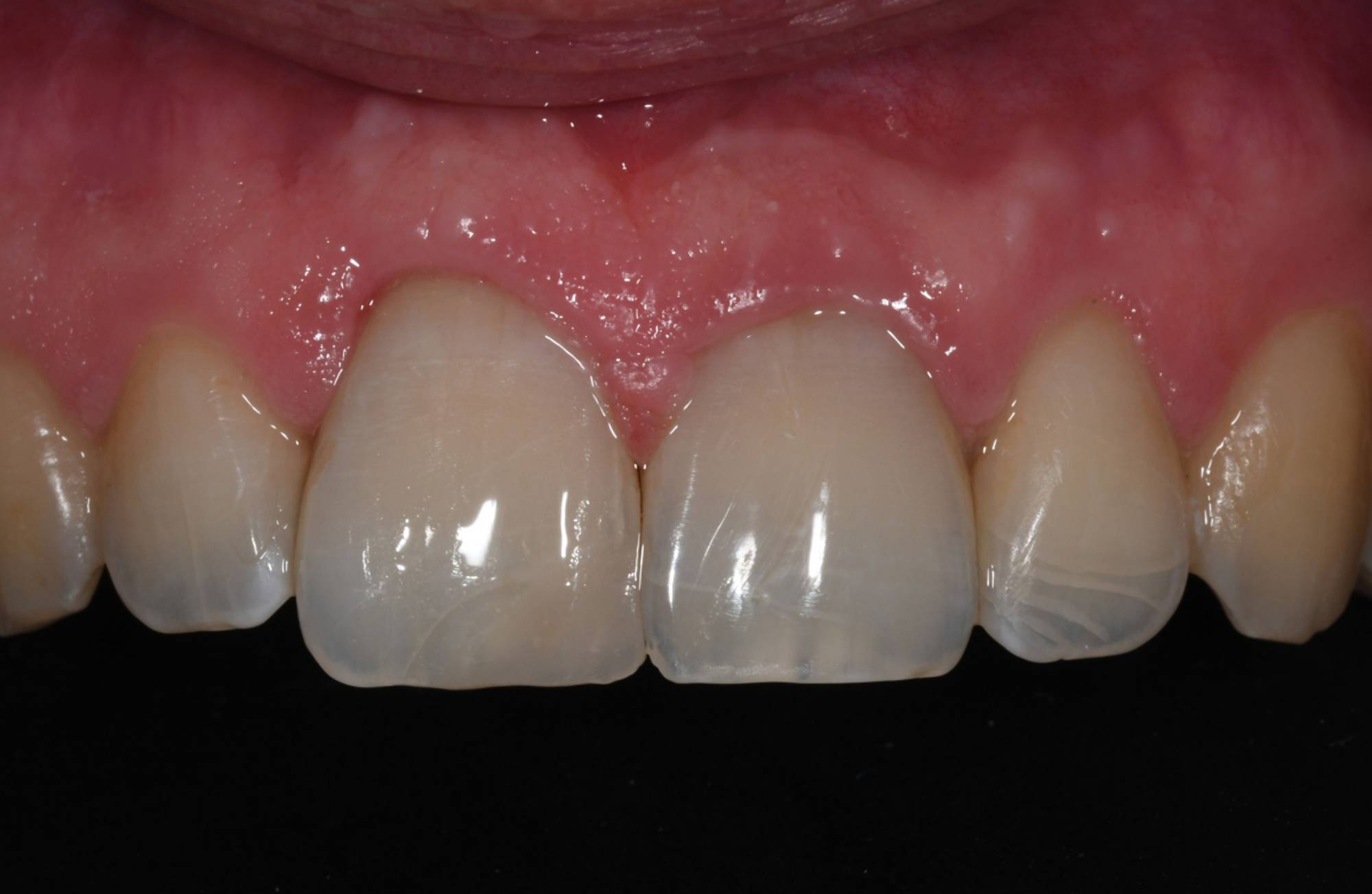
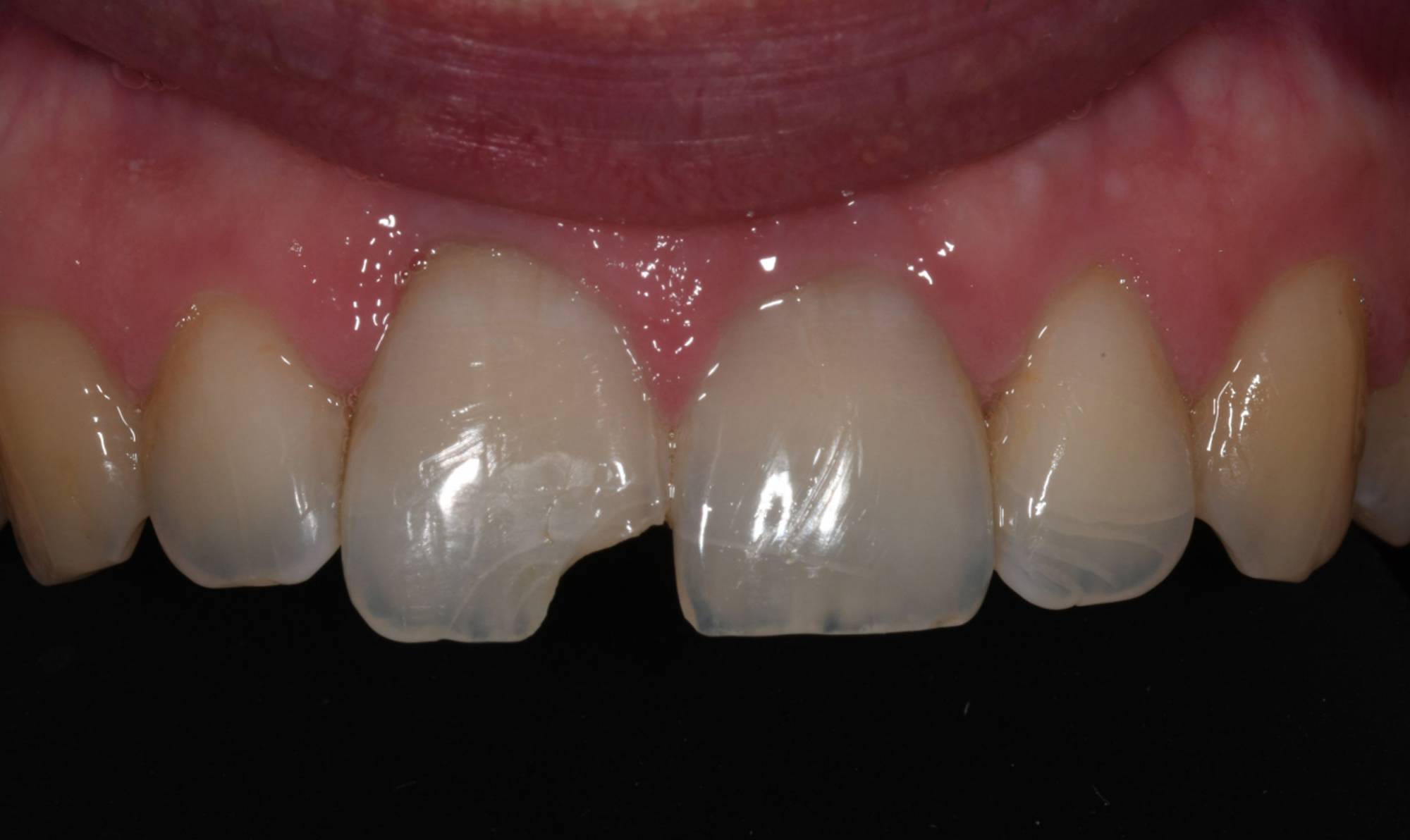
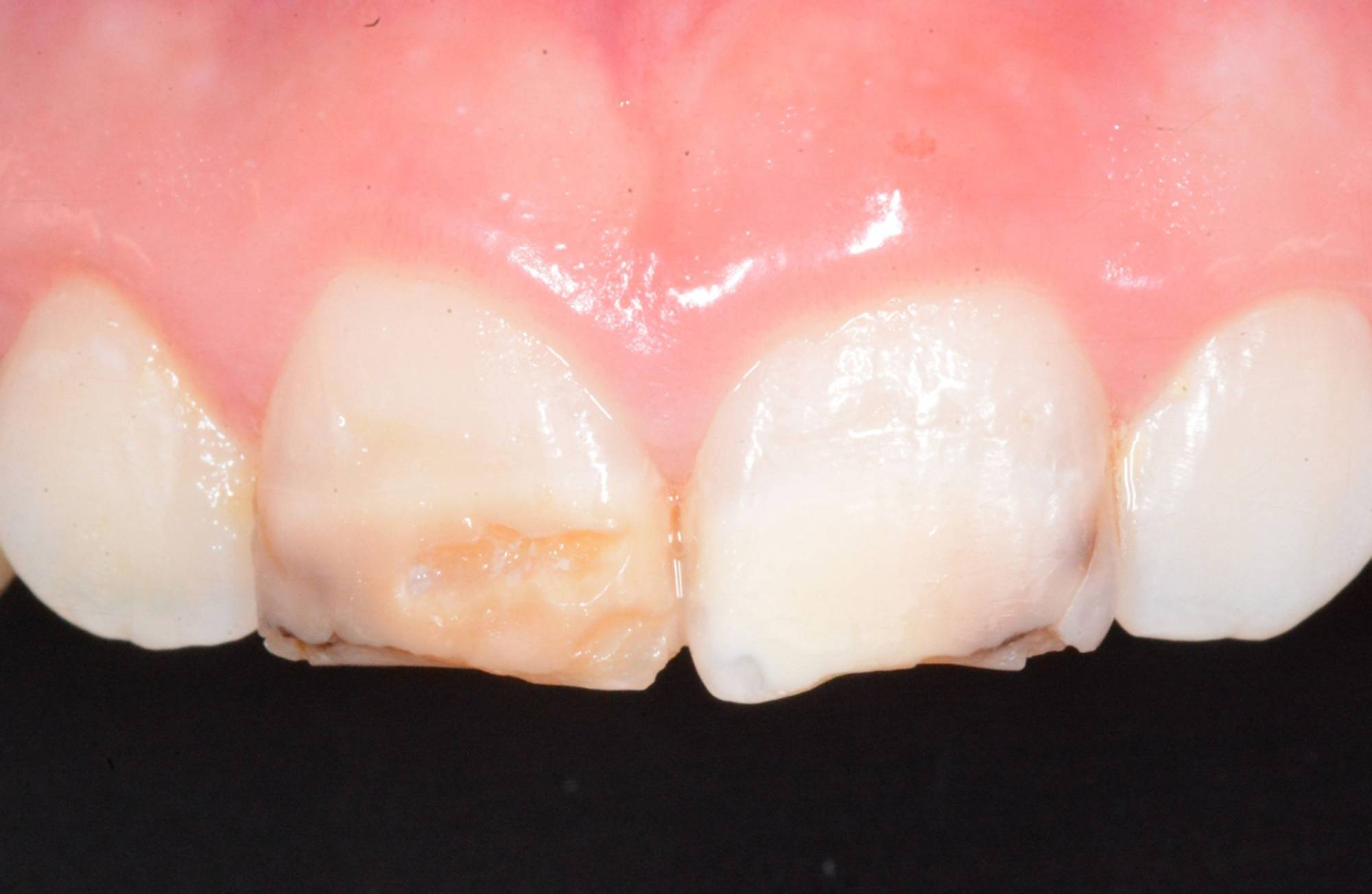
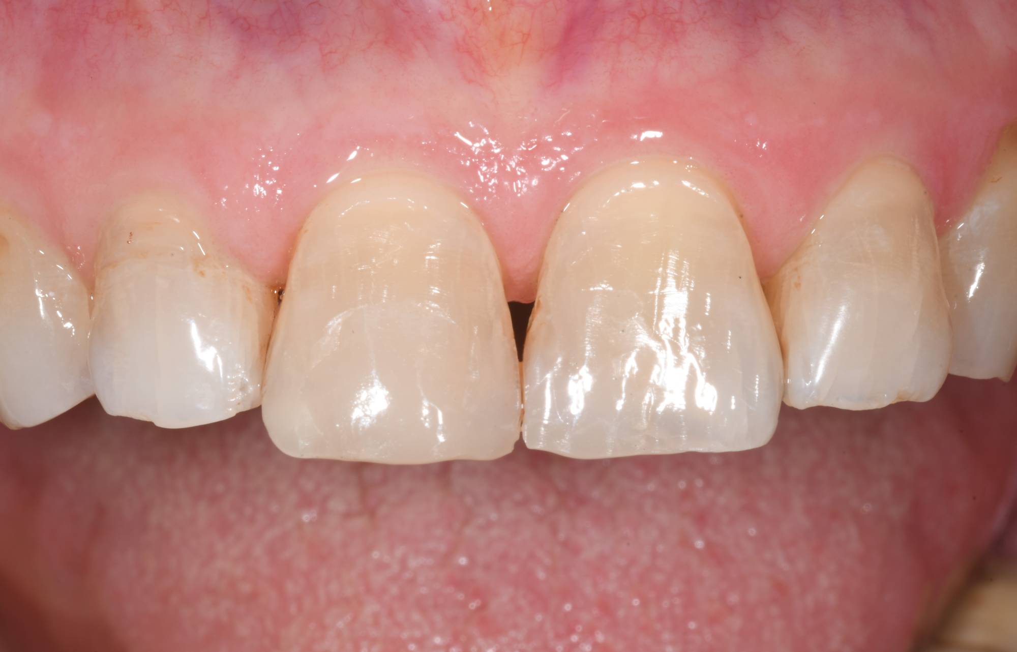
La conservativa è la branca dell'odontoiatria che si occupa di curare i denti cariati o fratturati mediante otturazioni. Si può pulire un dente dalla carie e creare una cavità detersa con il classico "trapano" o usare il laser Erbium:Yag. Questo tipo di laser agisce con una interazione fotomeccanica e fototermica senza che il manipolo entri in contatto col dente. È selettivo e quindi minimamente invasivo perché agisce su smalto e dentina cariati creando dei microincavi che aumentano la superficie della cavità favorendo l'adesione dell'otturazione. Inoltre non crea rialzo termico e irritazione meccanica, quindi spesso non serve l'anestesia, non emette vibrazioni e soprattutto il fastidioso sibilo del trapano.






























