Parodontologia
La parodontologia è la branca dell’odontoiatria che studia e cura il parodonto, ovvero il tessuto di sostegno dei denti formato da: gengiva, cemento radicolare (la sostanza che ricopre le radici dei denti), osso alveolare e legamento parodontale (ciò che lega la radice all’osso).
Tra le malattie che colpiscono il parodonto vi sono la gengivite, un’infiammazione superficiale della gengiva, e la parodontite (o piorrea) che invece è un’infiammazione molto più profonda del tessuto di sostegno del dente.
La parodontite
La parodontite (o malattia parodontale) è originata dalla placca batterica, che in alcuni soggetti predisposti crea degli approfondimenti del solco gengivale, detti tasche. Nelle tasche gengivali si annidano e si moltiplicano i batteri, causando un’infiammazione dei tessuti di sostegno del dente che nei casi più gravi può portare alla progressiva distruzione dell'osso.
La parodontite è una malattia cronica che si sviluppa lentamente e non è dolorosa, per questo è spesso trascurata. Il sanguinamento gengivale durante le manovre di igiene orale, gengive rosse e gonfie, recessioni gengivali, alitosi, sono tutti segnali che dovrebbero spingere il paziente a una visita parodontale. Prima la parodontite viene curata, infatti, minore è il danno che può provocare. Recarsi dal dentista quando si avverte uno spostamento dei denti è troppo tardi, e difficilmente sarà possibile evitare un'estrazione.
La parodontite ha anche importanti implicazioni sulla salute generale. Recenti studi hanno dimostrato una forte correlazione tra la malattia parodontale e altre condizioni patologiche croniche, a causa dalla diffusione dei batteri orali e delle loro tossine nel resto del corpo. Tra queste le malattie cardiovascolari, il diabete, alcune malattie respiratorie. La parodontite in gravidanza aumenta anche il rischio di parti prematuri.
La parodontite si cura prima di tutto eliminandone la causa, cioè la placca dentale e il tartaro nel quale essa si nasconde. Una pulizia dei denti e una levigatura delle radici per rimuovere placca, tartaro e tossine batteriche, è il primo passo di una terapia conservativa tradizionale. Se la parodontite è in fase avanzata, invece, è necessario un intervento chirurgico per scollare la gengiva dai denti e procedere a un’accurata pulizia delle radici prima di suturare la gengiva nella posizione iniziale.
Il trattamento parodontale laser
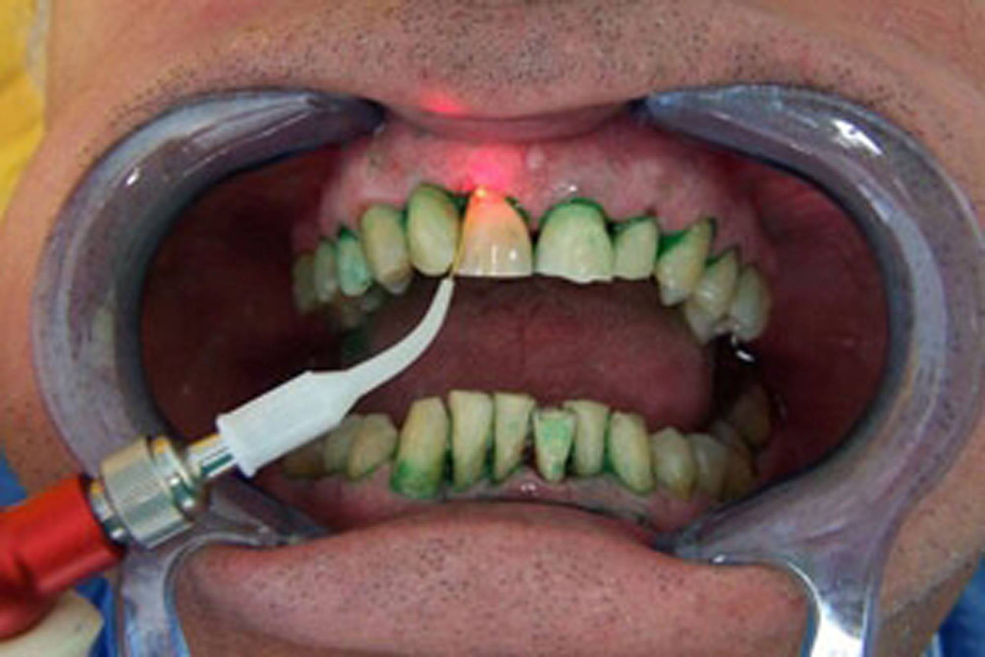
Il trattamento parodontale laser rappresenta un’alternativa minimamente invasiva, indolore ed efficace, alle terapie tradizionali. Combinando l'utilizzo di laser a diodi e laser Erbium:Yag si può infatti effettuare una decontaminazione batterica profonda e una rimozione in profondità di tartaro, batteri e biofilm batterico.
Recentemente abbiamo introdotto anche la terapia laser fotodinamica antimicrobica. Una sostanza colorante fotosensibile viene distribuita nelle tasche gengivali e si diffonde nel biofilm in cui vivono i batteri. Le molecole coloranti vengono attivate dalla luce laser che in questo modo riesce a distruggere il 99% dei batteri presenti nella tasca parodontale.
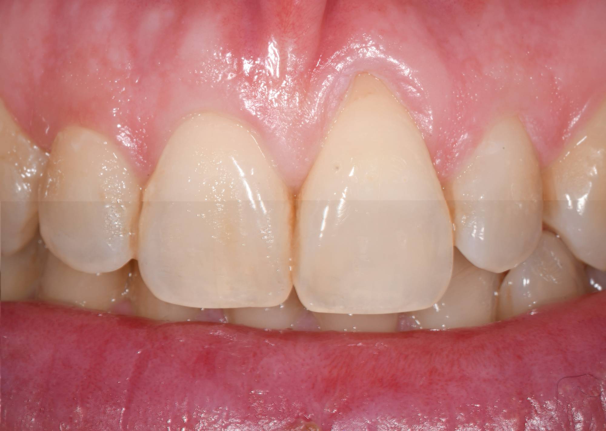
I laser sono utilizzati anche nella terapia parodontale estetica, per rimodellare i bordi gengivali e ridare una corretta proporzione tra gengiva e dente, nel cosiddetto allungamento chirurgico del dente, necessario quando un dente ha una frattura o una carie vicino alla gengiva, e infine per effettuare innesti gengivali, utilizzando porzioni di gengiva del palato per correggere recessioni gengivali significative.



