Casi clinici

conservativa

Casi clinici

conservativa

DSC_2440-min
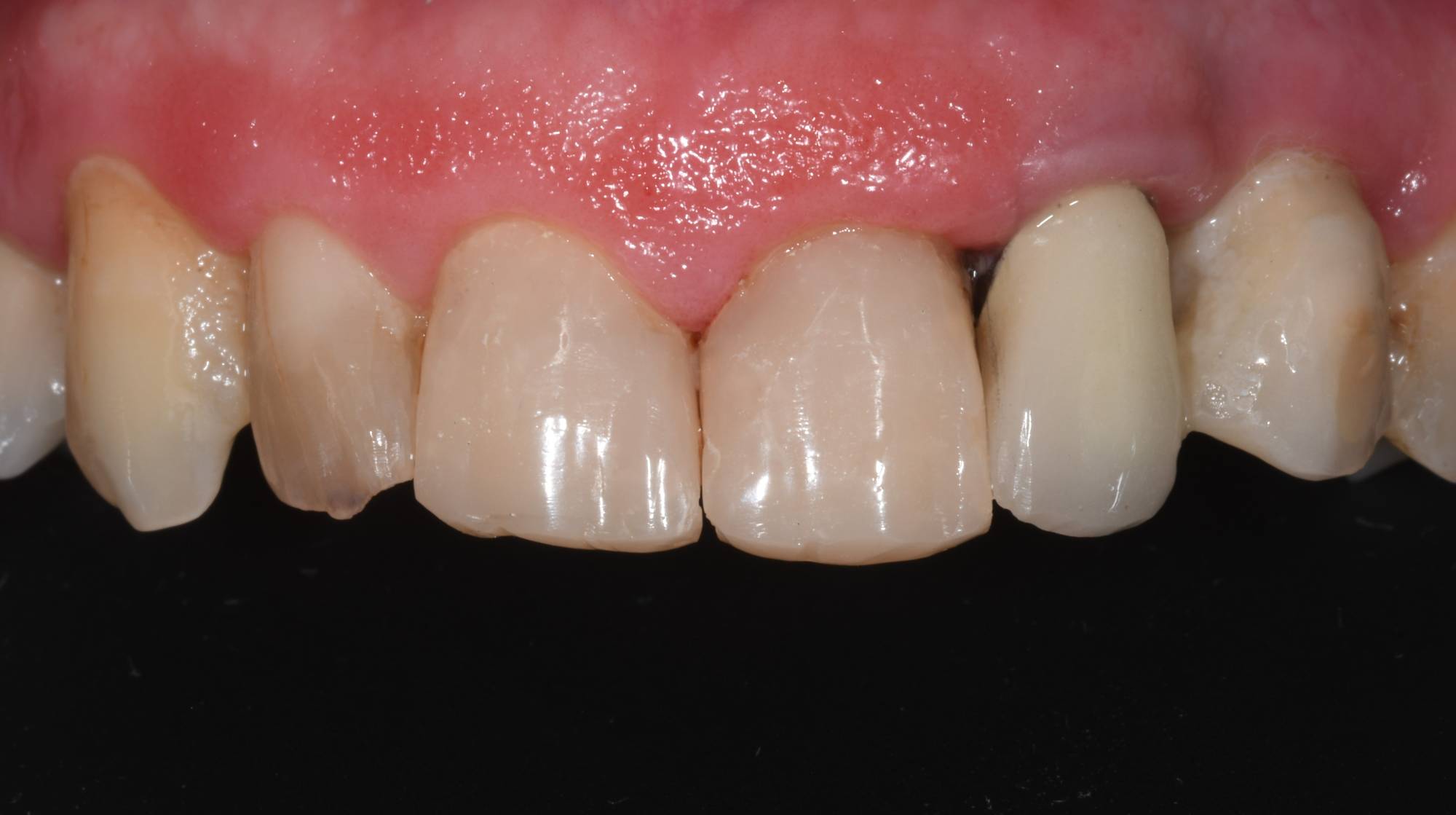
DOPO
DSC_2240-bis-min
PRIMA

Ripristino smalto incisivi superiori abrasi

Odontoiatria laser - Conservativa
DSC_6781-bis-min
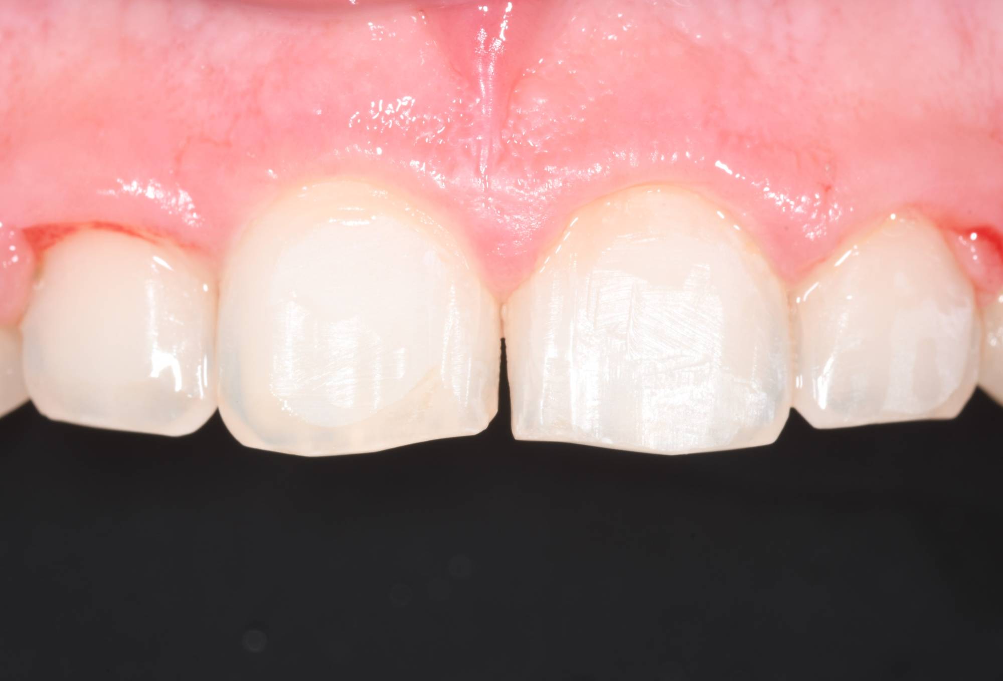
DOPO
DSC_6777-bis-min
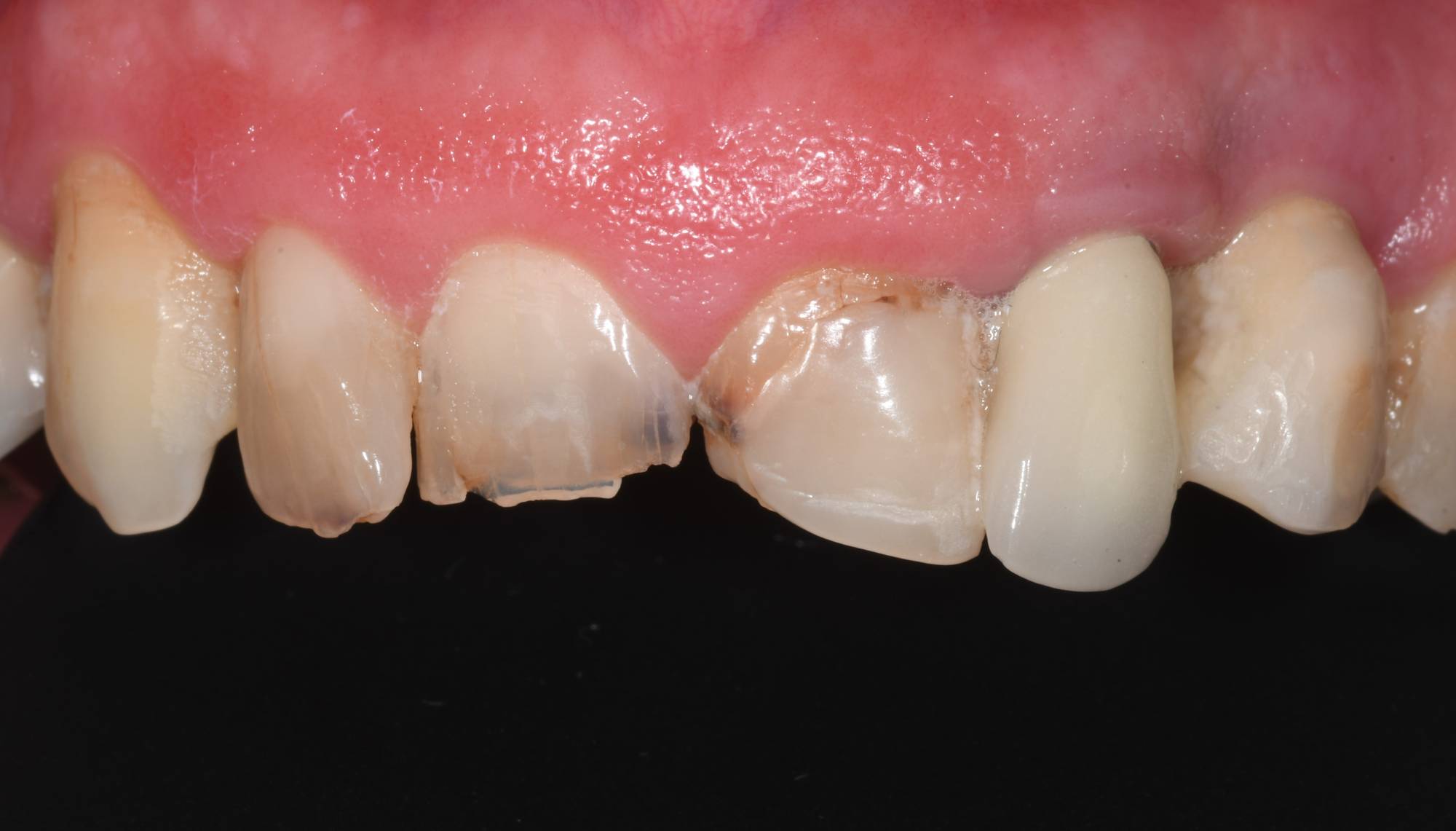
PRIMA

Chiusura diastema e allungamento incisivi centrali

Odontoiatria laser - Conservativa
DSC_8311-bis-min
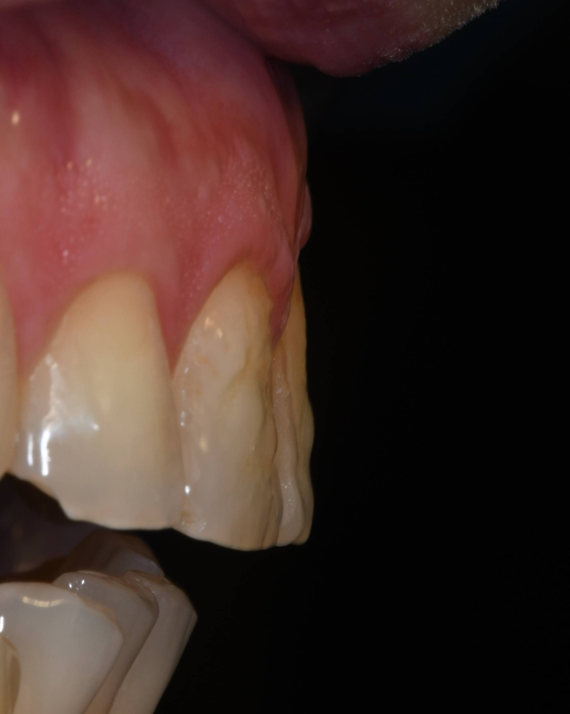
DOPO
DSC_8199-bis-min
PRIMA

Faccette dirette in composito incisivi centrali

Odontoiatria laser - Conservativa