Casi clinici

Casi clinici
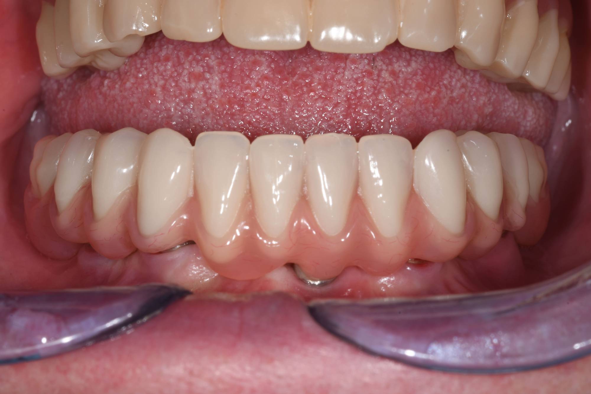
DSC_7675-bis-min
DOPO- Arcata fissa su impianti
DSC_5555-bis-min
PRIMA- Situazione iniziale
Selis, Caterina_Intra_20230729_182237-min
DOPO - CONTROLLO RADIOGRAFICO A DESTRA
Selis, Caterina_Intra_20230729_182248-min
DOPO - CONTROLLO RADIOGRAFICO A SINISTRA

Riabilitazione dell'arcata superiore con impianti

Odontoiatria generale - Implantologia
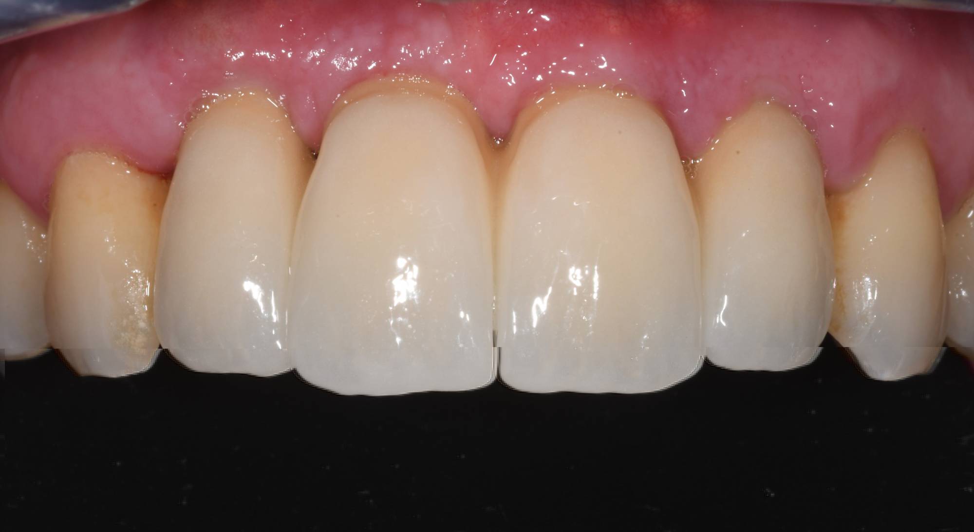
DSC_6561-bis-min
DOPO- Protesi definitiva fissa su impianti
DSC_5229-bis-min
FASE INTERMEDIA - CARICO IMMEDIATO- Dopo 48 ore dall'intervento
DSC_5169-bis-min
PRIMA- Radici da estrarre

Riabilitazione full arch inferiore con impianti

Odontoiatria generale - Implantologia
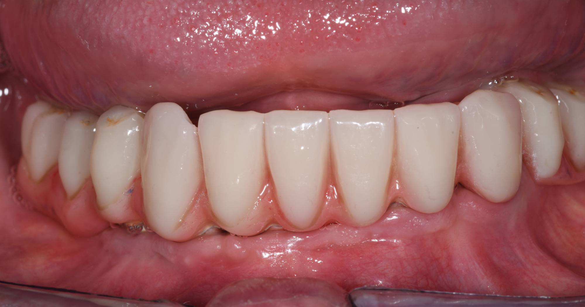
DSC_7712-bis-min
DOPO- Corone in zirconia su impianti
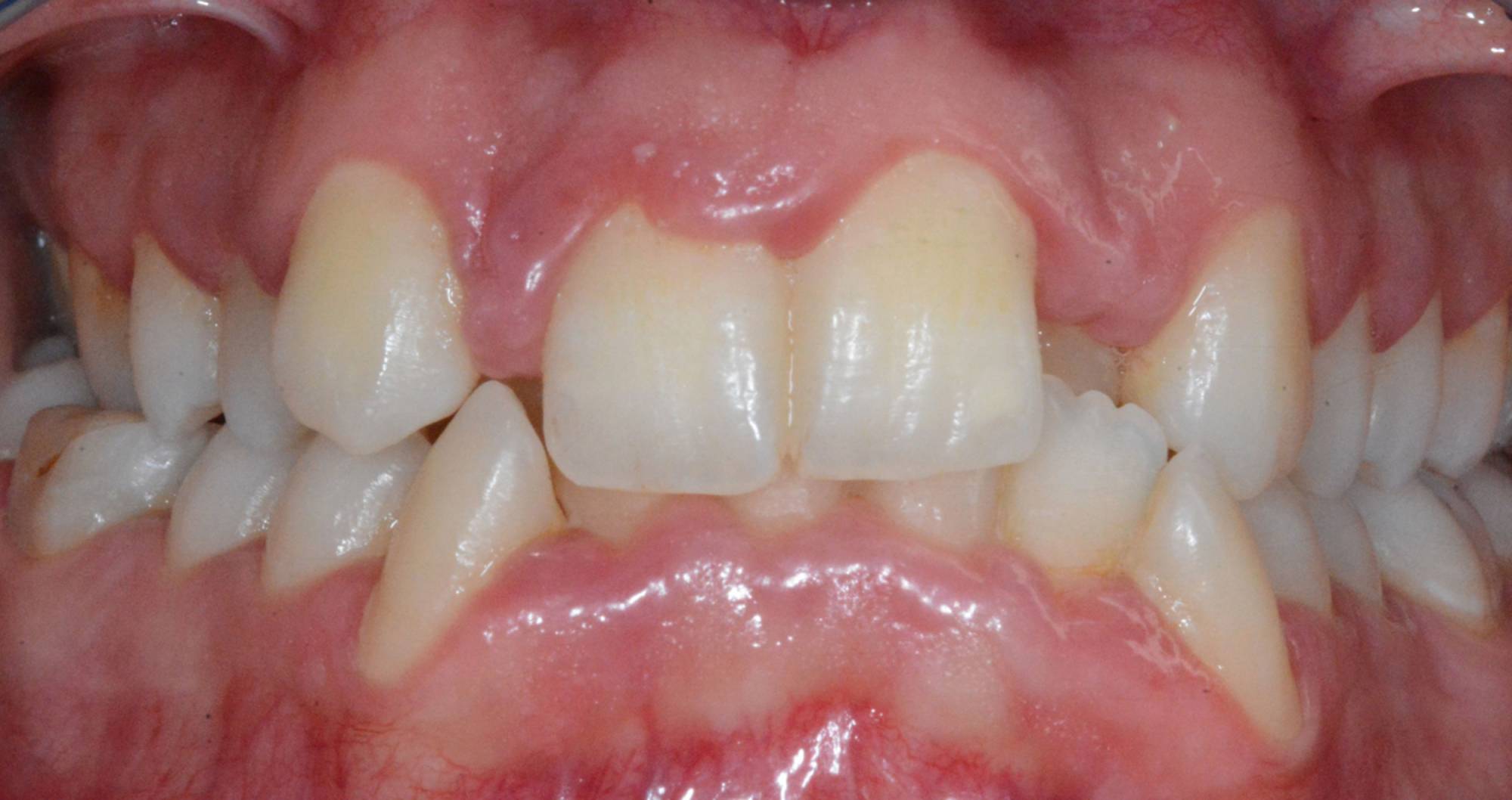
DSC_5017-bis-min
PRIMA- Situazione iniziale

Protesi fisse superiori e inferiori su 11 impianti

Odontoiatria generale - Implantologia
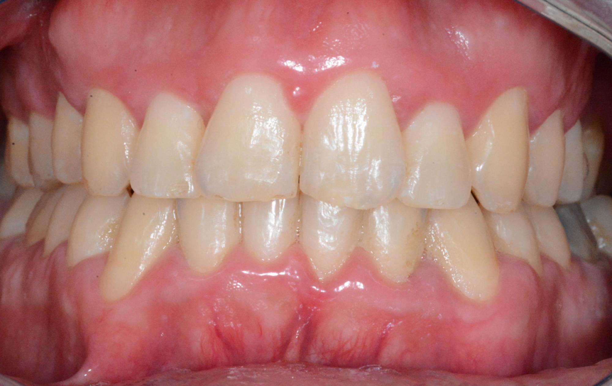
DSC_9085-bis-min
DOPO-Corone in zirconia-ceramica su impianti
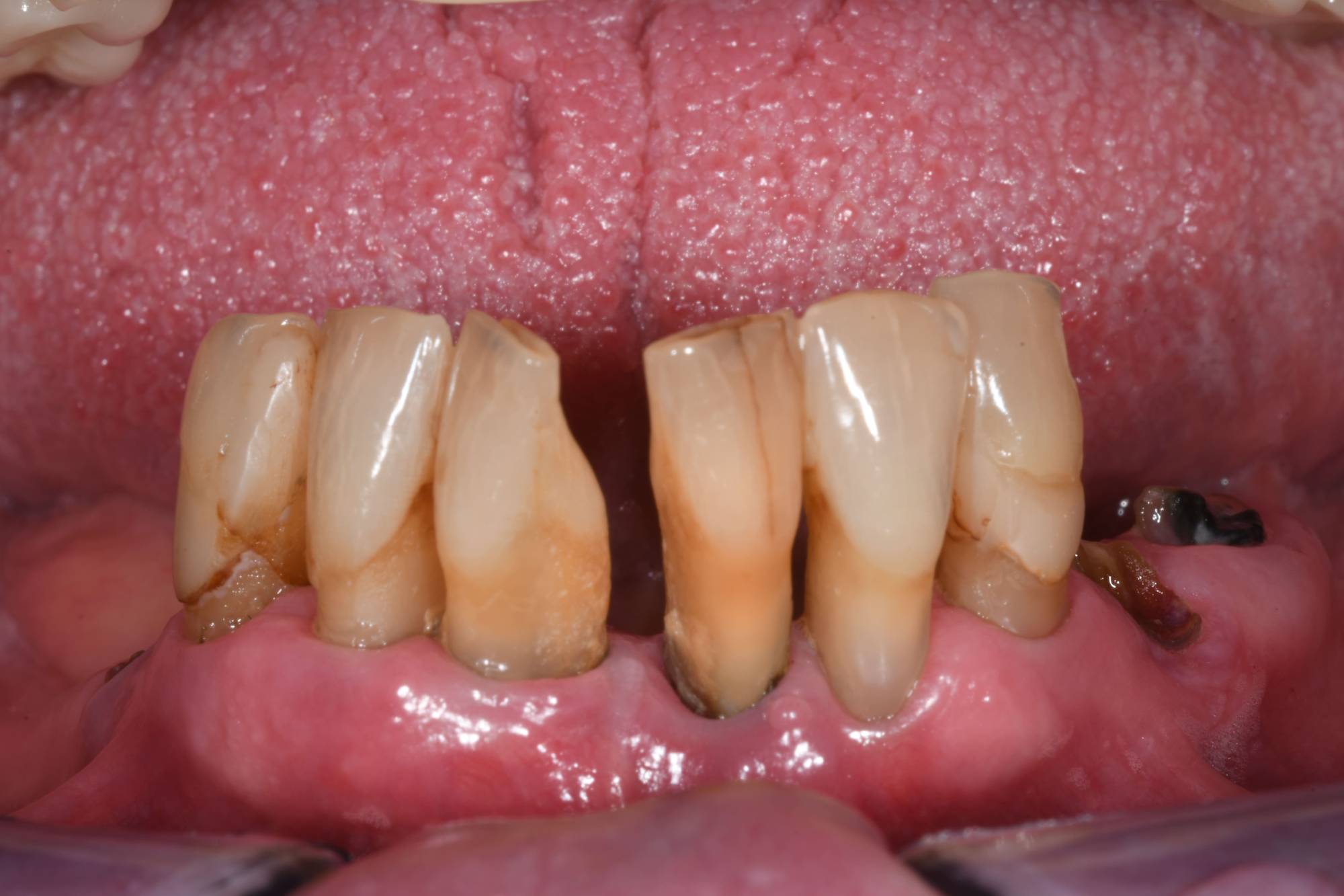
DSC_7339-bis-min
PRIMA-Incisivi da estrarre per parodontite

Impianti dei 4 incisivi superiori

Odontoiatria generale - Implantologia
DSC_2827-bis-min
DOPO- Protesi definitiva fissa su impianti
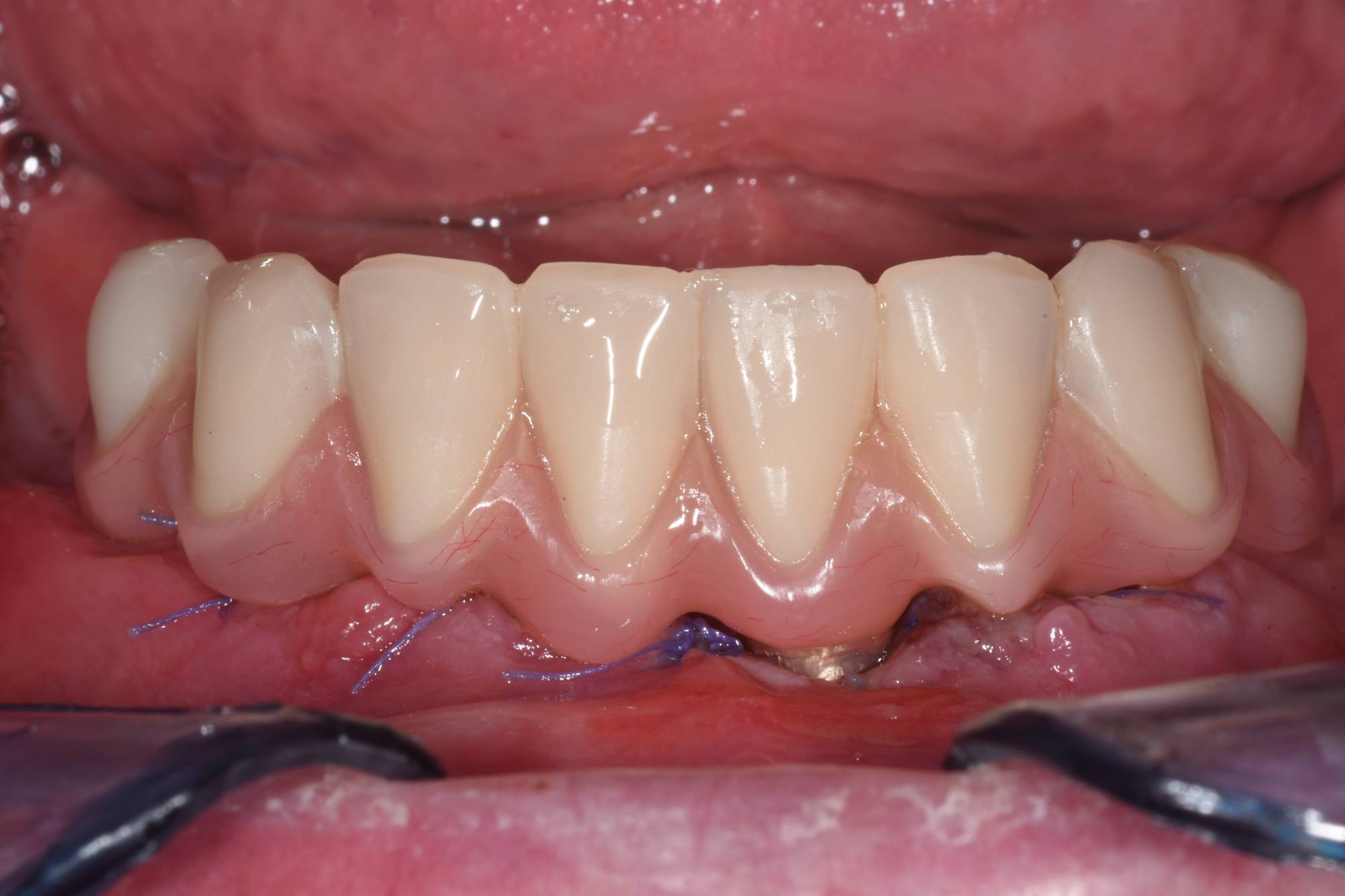
DSC_1564-bis-min
FASE INTERMEDA- CARICO IMMEDIATO- Protesi fissa dopo 48 ore dall'intervento
DSC_1465-bis-min
PRIMA- Edentulia totale

Riabilitazione full arch 2 inferiore con impianti

Odontoiatria generale - Implantologia
DSC_6647-min
DOPO- Arcata fissa inferiore definitiva
DSC_5302-min
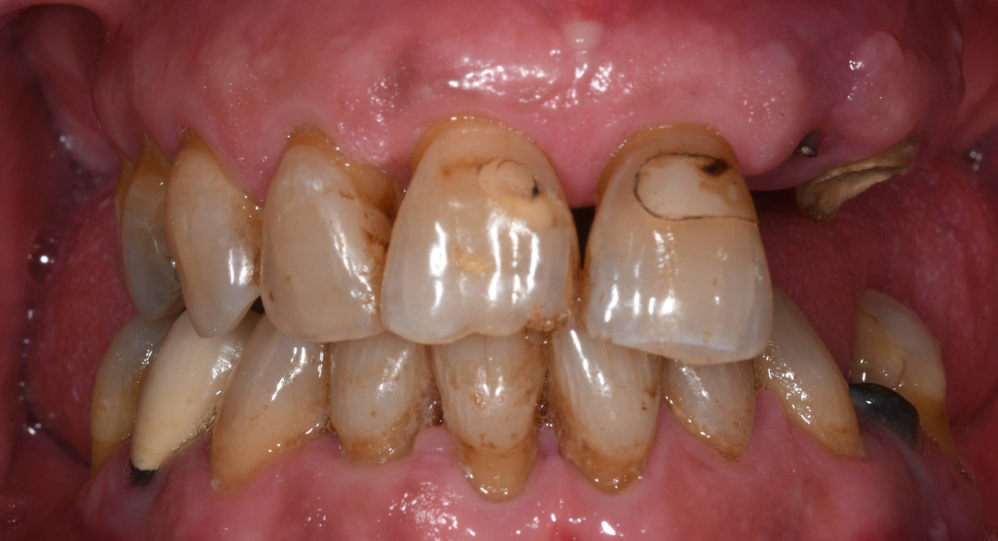
PRIMA- Denti da estrarre

Impianti post estrattivi immediati arcata inferiore

Odontoiatria generale - Implantologia
studio-dentistico-ballestrasse-besana-brianza-caso-clinico-12.3
DOPO - PROTESI IN POSIZIONE
studio-dentistico-ballestrasse-besana-brianza-caso-clinico-12.2
BARRA SU IMPIANTI
studio-dentistico-ballestrasse-besana-brianza-caso-clinico-12.1
OVERDENTURE INFERIORE

Overdenture inferiore su impianti

Odontoiatria generale - Implantologia
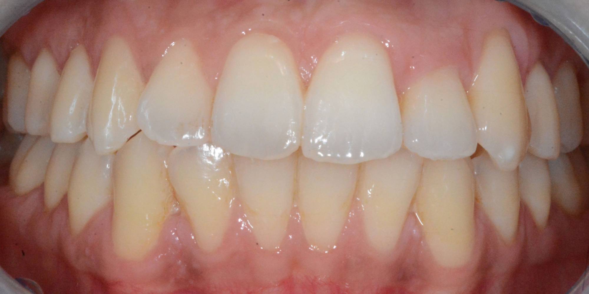
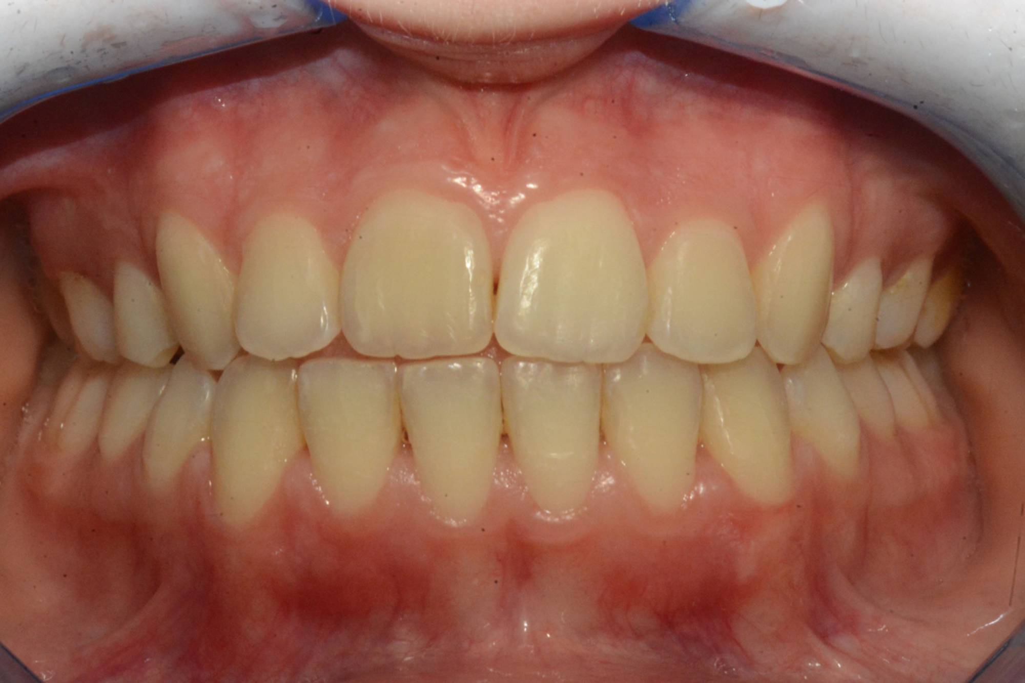
studio-dentistico-ballestrasse-besana-brianza-caso-clinico-13.2
DOPO
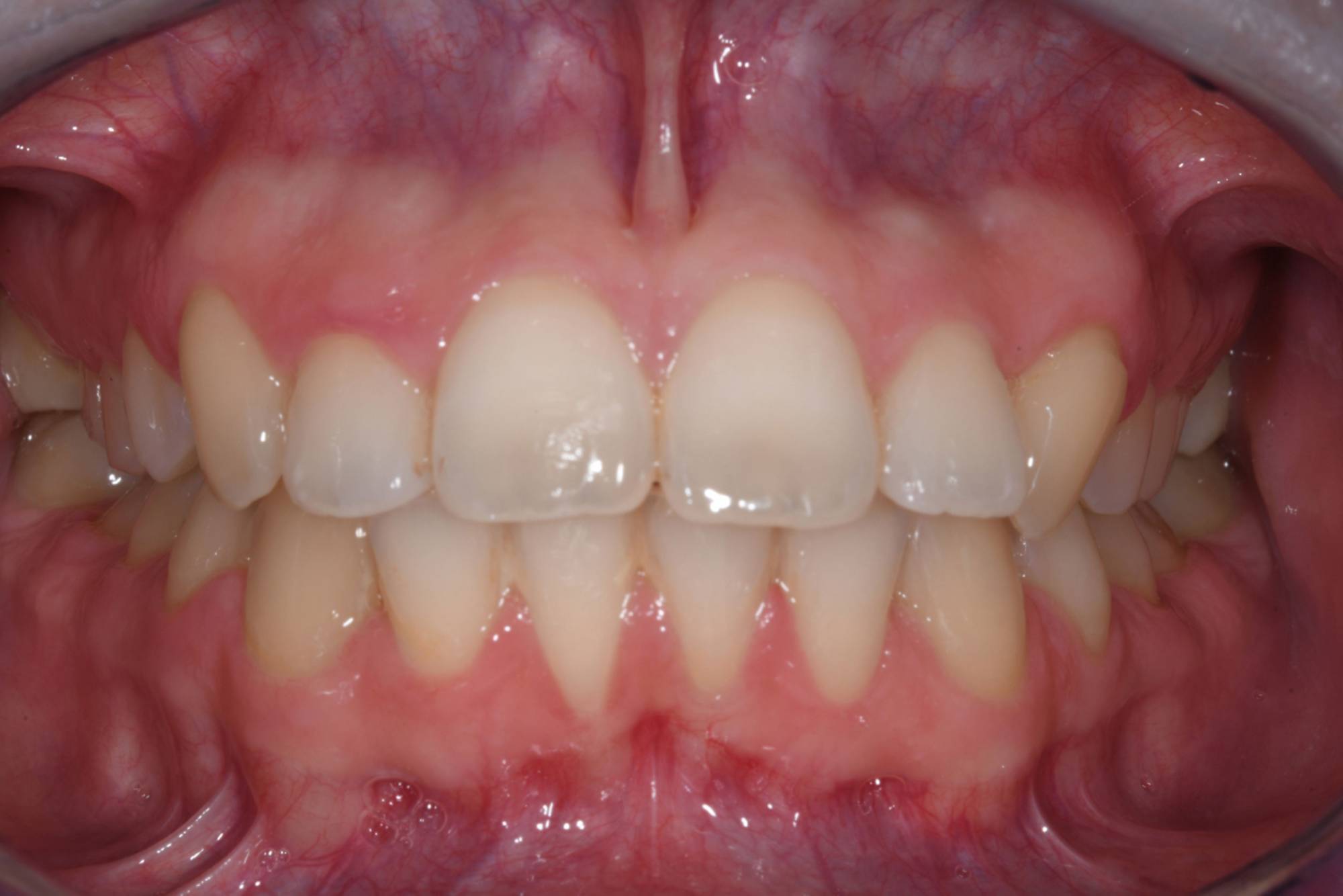
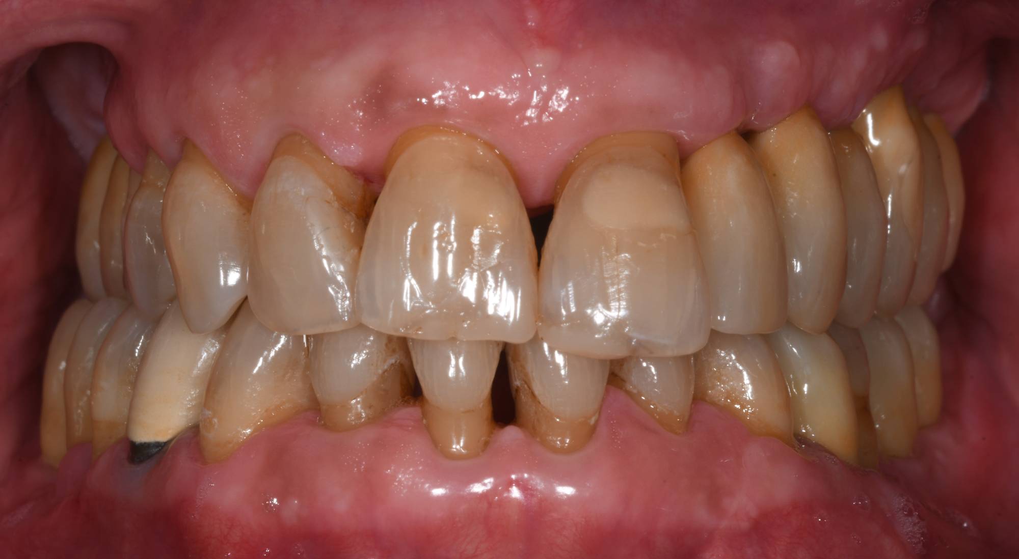
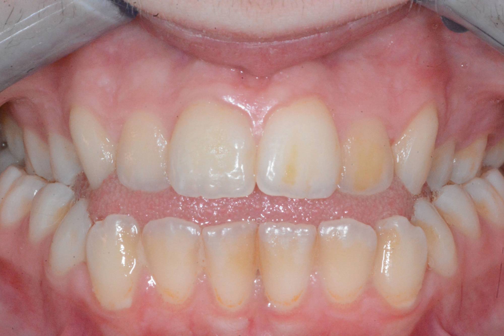
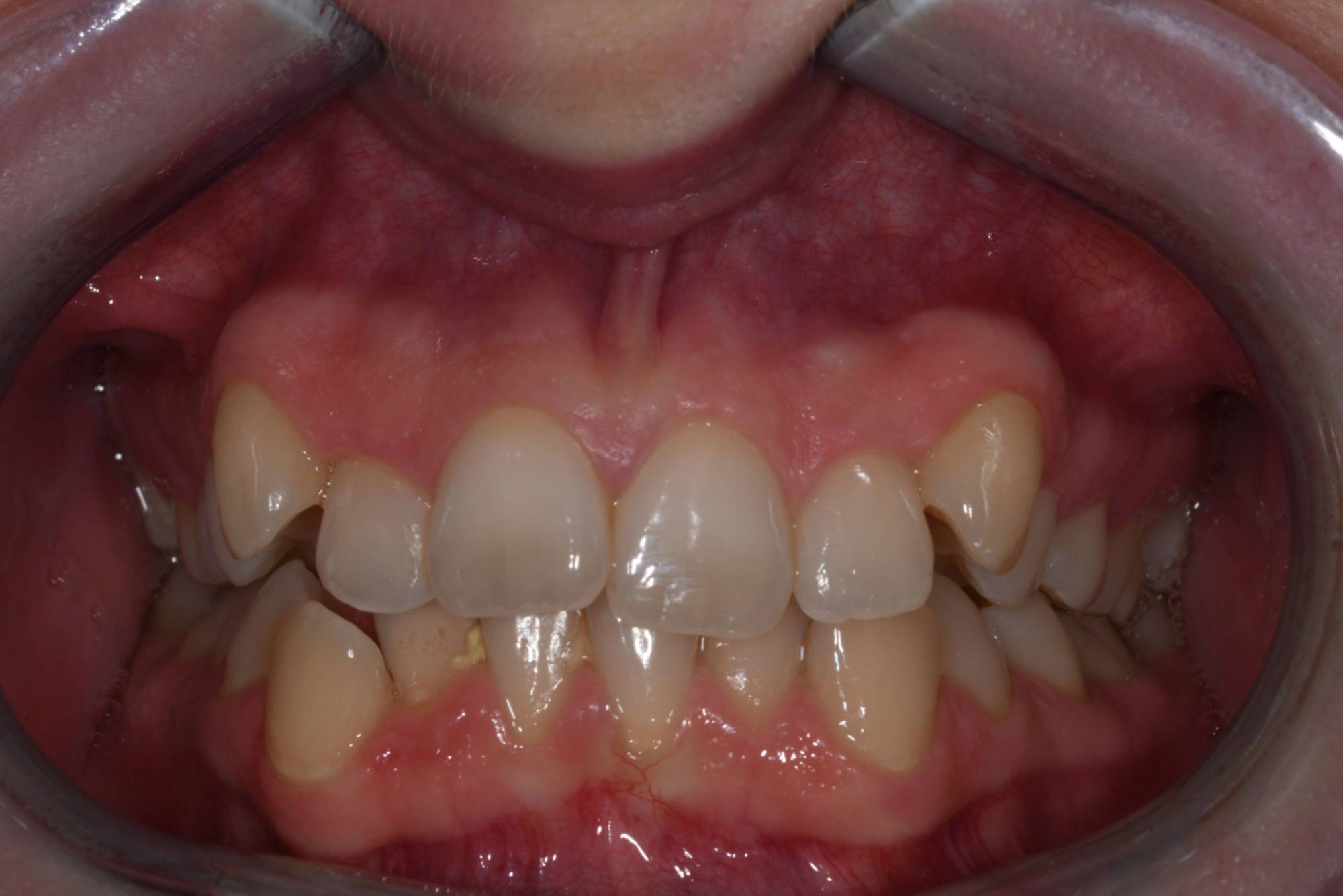
studio-dentistico-ballestrasse-besana-brianza-caso-clinico-13.1
PRIMA

Affollamento dentale con linea mediana deviata

Odontoiatria generale - Ortodonzia
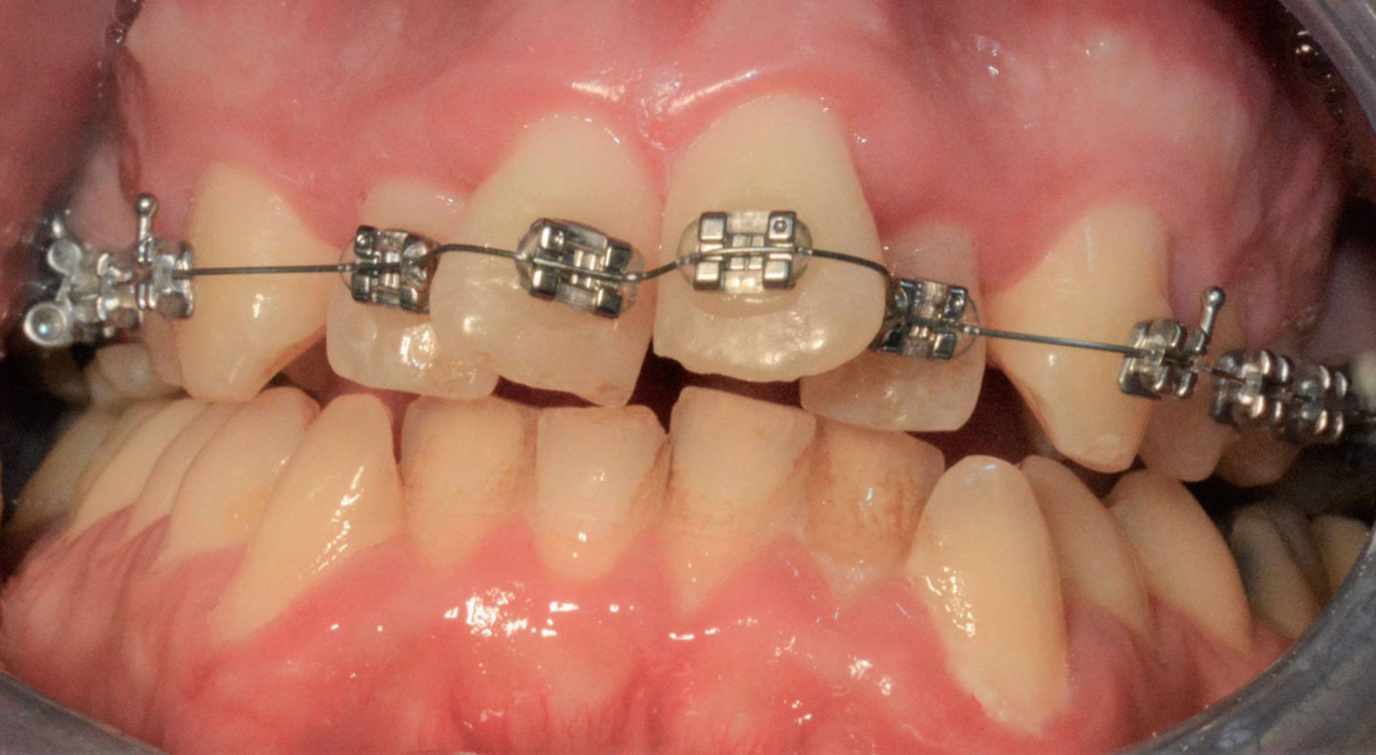
studio-dentistico-ballestrasse-besana-brianza-caso-clinico-14.2
DOPO
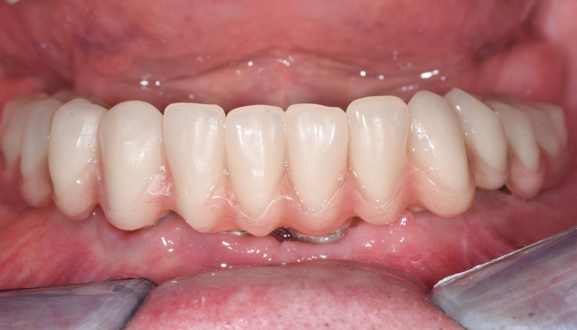
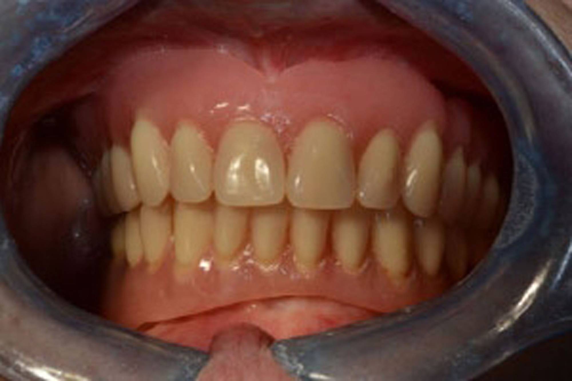
studio-dentistico-ballestrasse-besana-brianza-caso-clinico-14.1
PRIMA

Morso aperto anteriore e affollamento dentale

Odontoiatria generale - Ortodonzia
studio-dentistico-ballestrasse-besana-brianza-caso-clinico-15.2
DOPO
studio-dentistico-ballestrasse-besana-brianza-caso-clinico-15.1
PRIMA

Morso profondo con incisivi laterali superiori palatali

Odontoiatria generale - Ortodonzia
studio-dentistico-ballestrasse-besana-brianza-caso-clinico-16.2
DOPO
studio-dentistico-ballestrasse-besana-brianza-caso-clinico-16.1
PRIMA

Cross bite e morso aperto

Odontoiatria generale - Ortodonzia
studio-dentistico-ballestrasse-besana-brianza-caso-clinico-17.2
DOPO
studio-dentistico-ballestrasse-besana-brianza-caso-clinico-17.1
PRIMA

Disallineamento dentale con linea mediana deviata

Odontoiatria generale - Ortodonzia