Casi clinici

odontoiatria estetica

Casi clinici

odontoiatria estetica

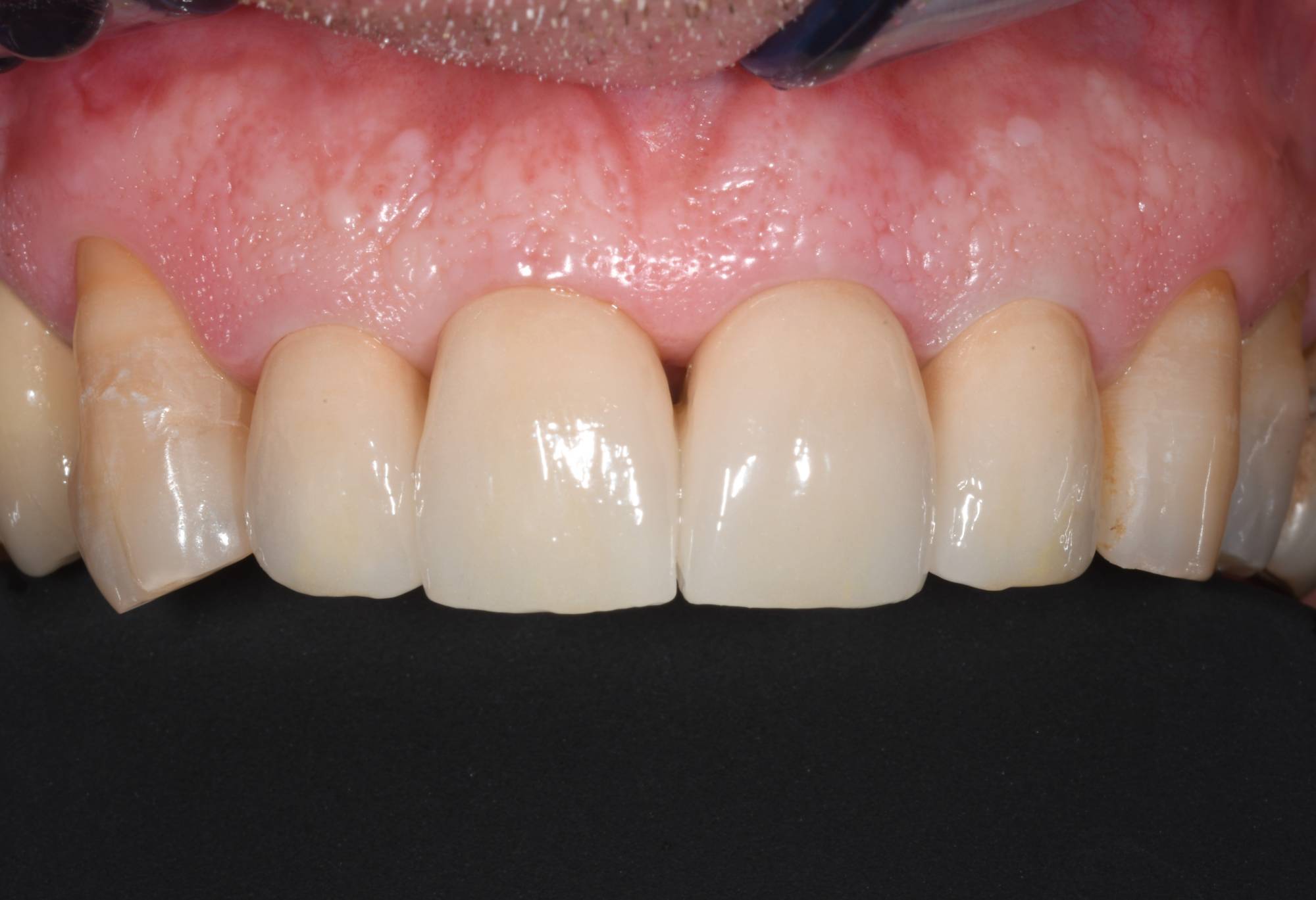
DSC_9196-bis-min
DOPO
DSC_9206-bis-min
DOPO- Lato sinistro
DSC_9204-bis-min
DOPO- Lato destro
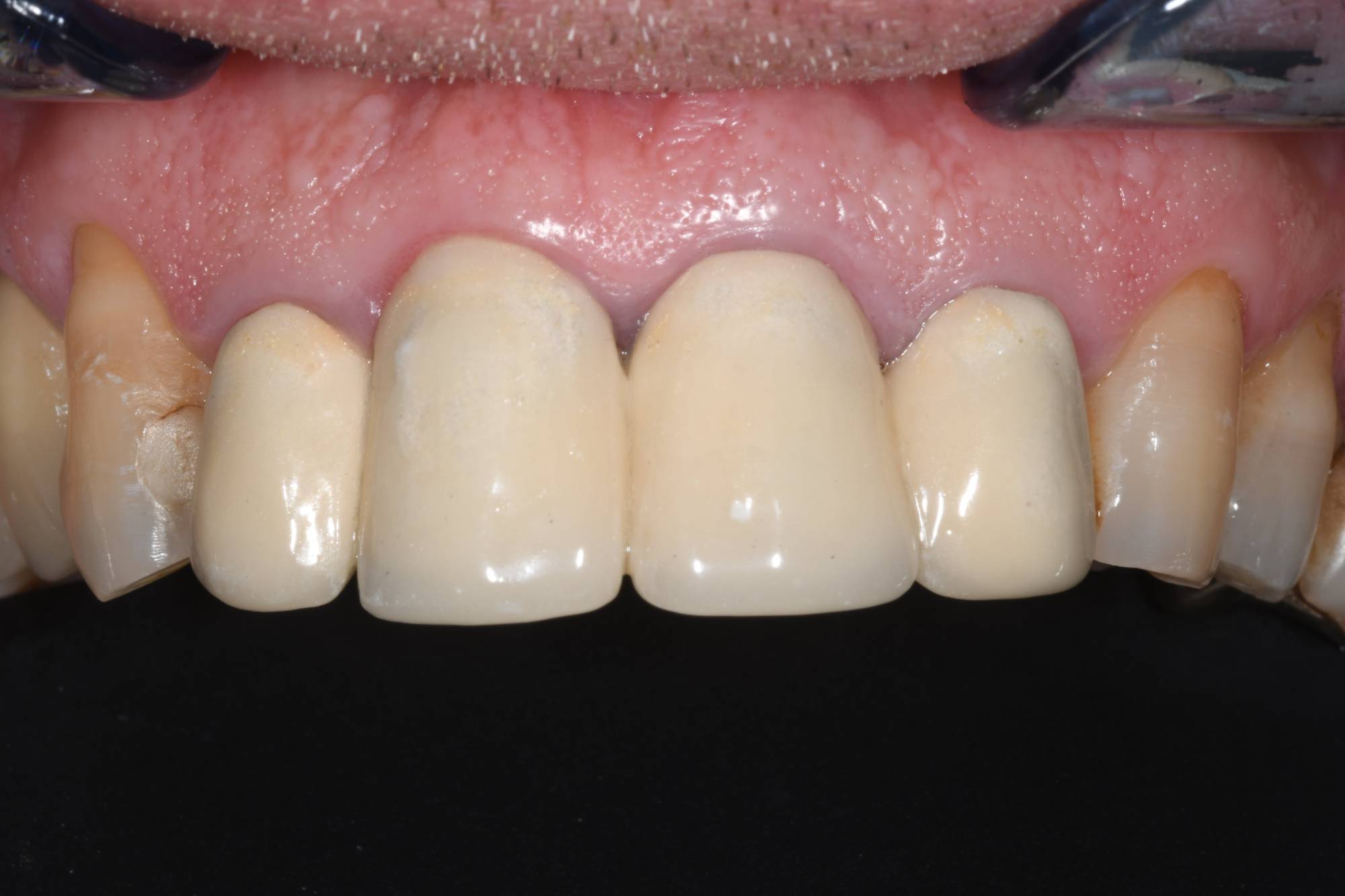
DSC_8323-bis-min
PRIMA

Corone in zirconia ceramica dei 6 elementi frontali

Odontoiatria estetica - Corone metal free
DSC_7107-bis-min
DOPO
DSC_7075-min
DOPO - DETTAGLIO
DSC_6083-min
PRIMA- Vecchie corone in metallo ceramica

Corone in zirconia ceramica dei 4 incisivi superiori

Odontoiatria estetica - Corone metal free
studio-dentistico-ballestrasse-besana-brianza-caso-clinico-42.2
DOPO
studio-dentistico-ballestrasse-besana-brianza-caso-clinico-42.4
SORRISO DOPO
studio-dentistico-ballestrasse-besana-brianza-caso-clinico-42.1
PRIMA
studio-dentistico-ballestrasse-besana-brianza-caso-clinico-42.3
SORRISO PRIMA

Corone in disilicato di litio per miglioramento estetico

Odontoiatria estetica - Corone metal free
studio-dentistico-ballestrasse-besana-brianza-caso-clinico-43.2
DOPO
studio-dentistico-ballestrasse-besana-brianza-caso-clinico-43.1
PRIMA

Corona in zirconia di premolare

Odontoiatria estetica - Corone metal free
DSC_8587-bis-min
DOPO
DSC_8596-min
DOPO- Sorriso
DSC_6916-bis-min
PRIMA

Corone in zirconia ceramica del gruppo frontale

Odontoiatria estetica - Corone metal free
DSC_9546-bis-min
DOPO
DSC_8965-bis-min
PRIMA

Corona in disilicato d litio dell'incisivo laterale

Odontoiatria estetica - Corone metal free
DSC_6545-min
DOPO
DSC_6533-min
PRIMA

Corone in zirconia monolitica di premolare e molare

Odontoiatria estetica - Corone metal free
DSC_1771-min
DOPO - Visione frontale
DSC_1785-min
DOPO - Visione laterale
DSC_1233-bis-min
PRIMA - Visione frontale
DSC_1226-bis-min
PRIMA - Visione laterale

Corone incisivi centrali zirconia/ceramica

Odontoiatria estetica - Corone metal free
studio-dentistico-ballestrasse-besana-brianza-caso-clinico-44.2
DOPO
studio-dentistico-ballestrasse-besana-brianza-caso-clinico-44.1
PRIMA

Corona in disilicato di litio dell'incisivo laterale

Odontoiatria estetica - Corone metal free
DSC_7426-bis-min
DOPO
DSC_7149-bis-min
PRIMA

Corona in zirconia ceramica dell'incisivo laterale

Odontoiatria estetica - Corone metal free
studio-dentistico-ballestrasse-besana-brianza-caso-clinico-45.2
DOPO
studio-dentistico-ballestrasse-besana-brianza-caso-clinico-45.1
PRIMA

Corone in disilicato di litio dei quattro incisivi superiori

Odontoiatria estetica - Corone metal free
DSC_0180-bis-min
DOPO
DSC_0199-bis-min
DOPO - CORONA METAL FREE
DSC_9117-bis-min
PRIMA

Corona in zirconia ceramica dell'incisivo centrale

Odontoiatria estetica - Corone metal free