Casi clinici

odontoiatria laser

Casi clinici

odontoiatria laser

DSC_4184-bis-min
DOPO
DSC_3628-bis-min
PRIMA

Otturazioni denti frontali

Odontoiatria laser - Conservativa
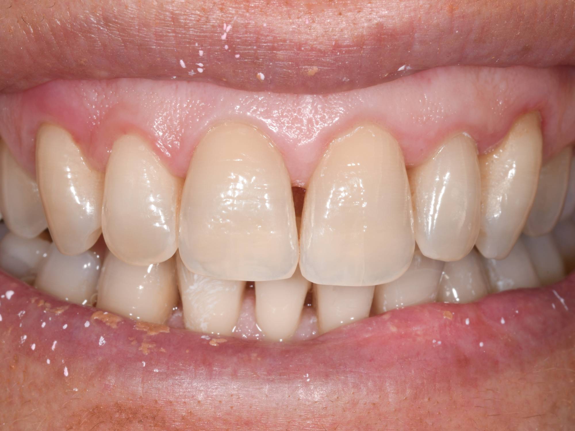
DSC_7977-ter-min
DOPO
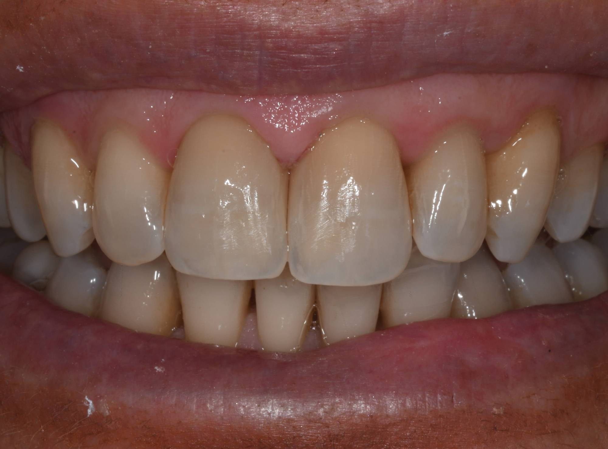
DSC_7864-bis-min
PRIMA

Chiusura spazio interincisivo

Odontoiatria laser - Conservativa
DSC_2440-min
DOPO
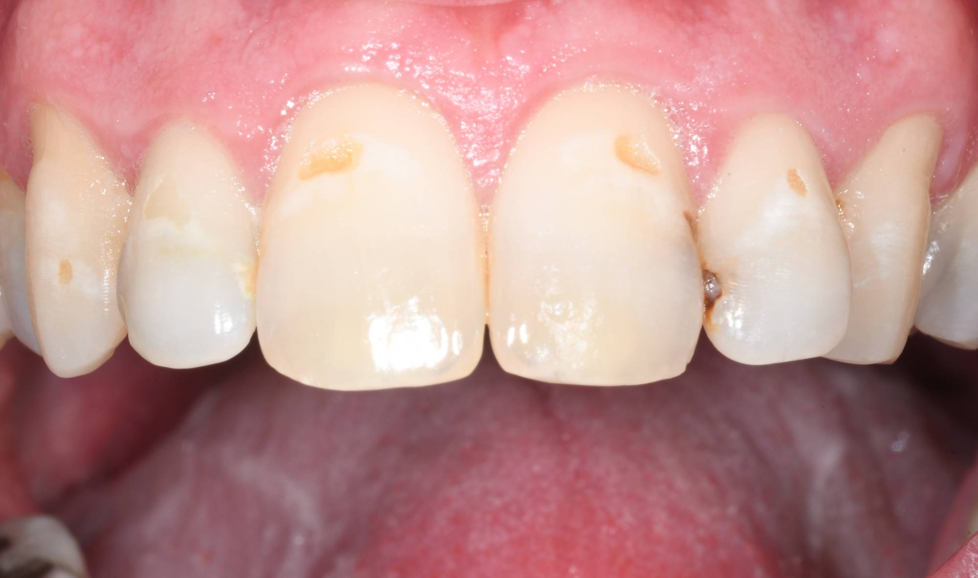
DSC_2240-bis-min
PRIMA

Ripristino smalto incisivi superiori abrasi

Odontoiatria laser - Conservativa
DSC_6781-bis-min
DOPO
DSC_6777-bis-min
PRIMA

Chiusura diastema e allungamento incisivi centrali

Odontoiatria laser - Conservativa
DSC_8311-bis-min
DOPO
DSC_8199-bis-min
PRIMA

Faccette dirette in composito incisivi centrali

Odontoiatria laser - Conservativa