Casi clinici

Casi clinici
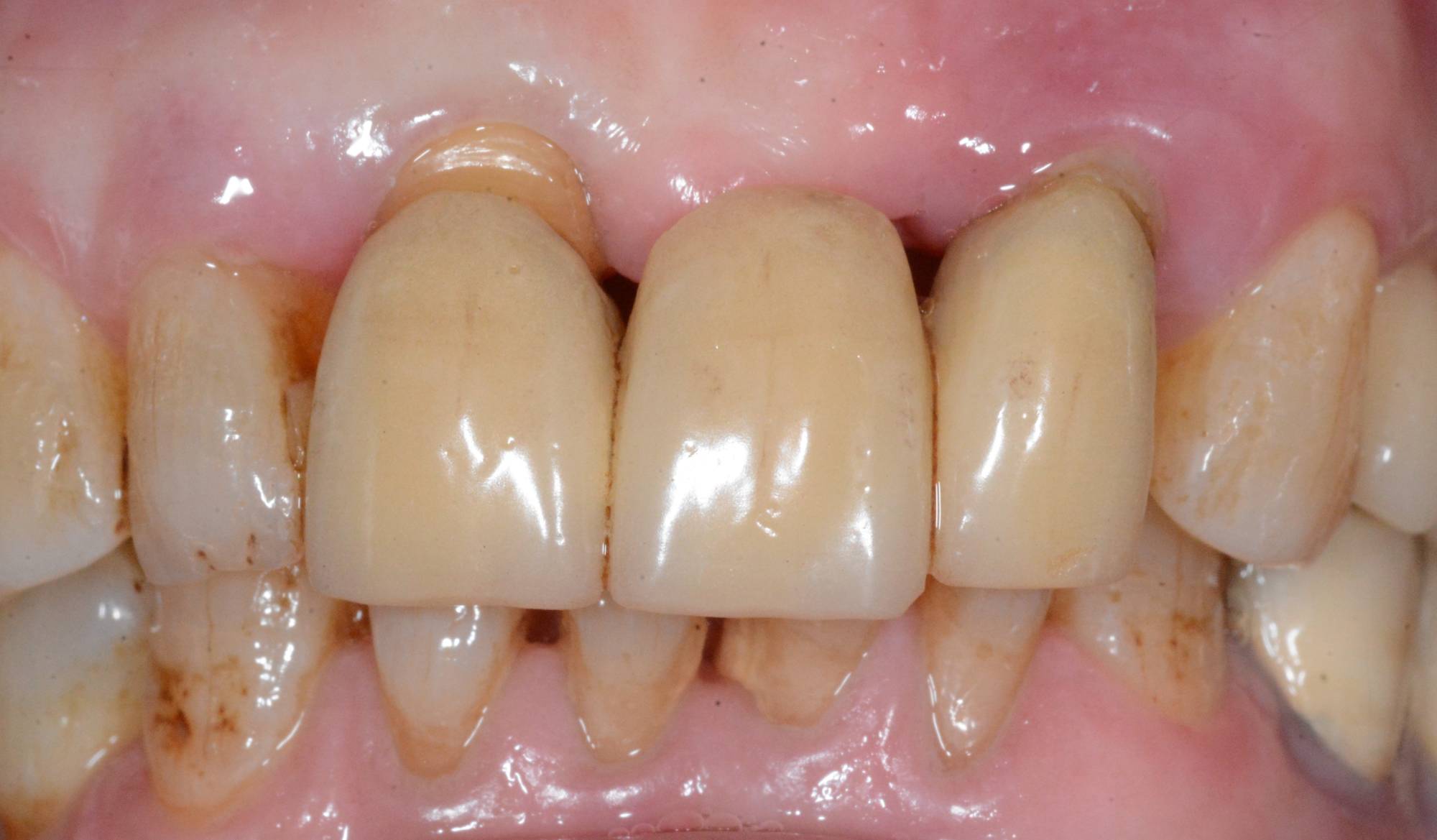
studio-dentistico-ballestrasse-besana-brianza-caso-clinico-1.1
PRIMA - vecchie corone da sostituire
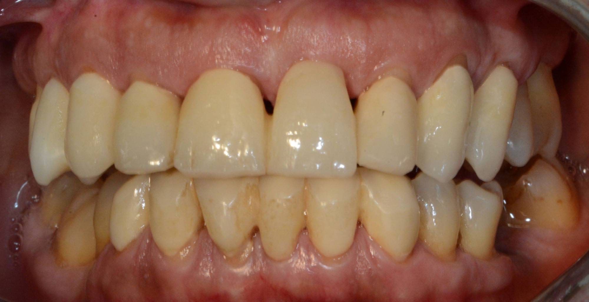
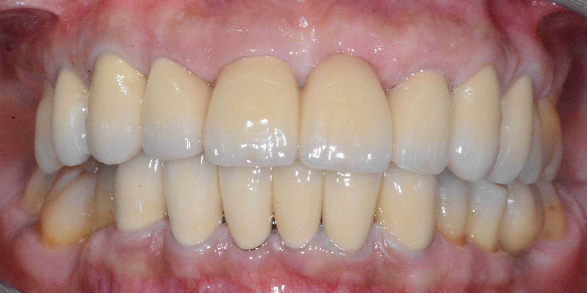
studio-dentistico-ballestrasse-besana-brianza-caso-clinico-1.2
DOPO
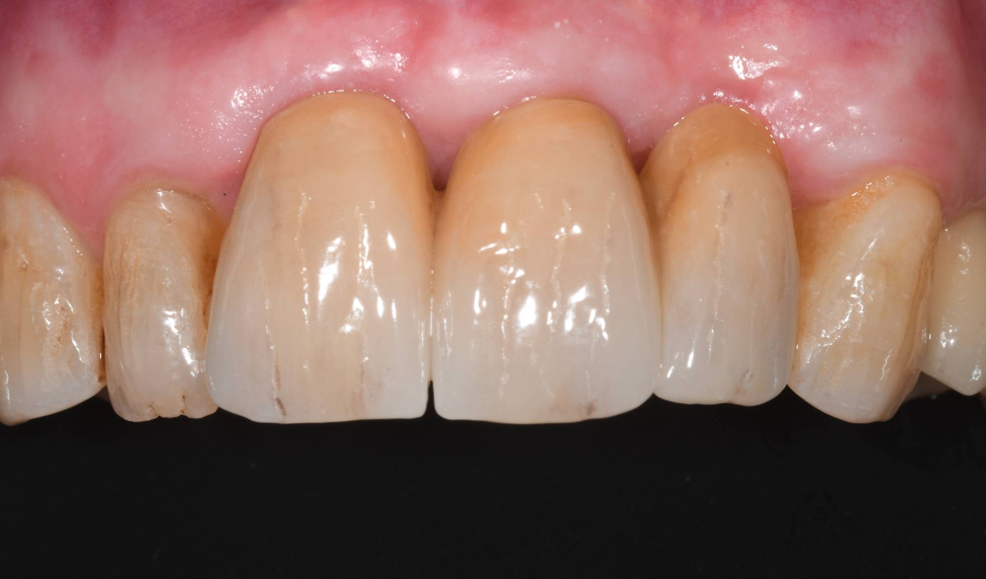
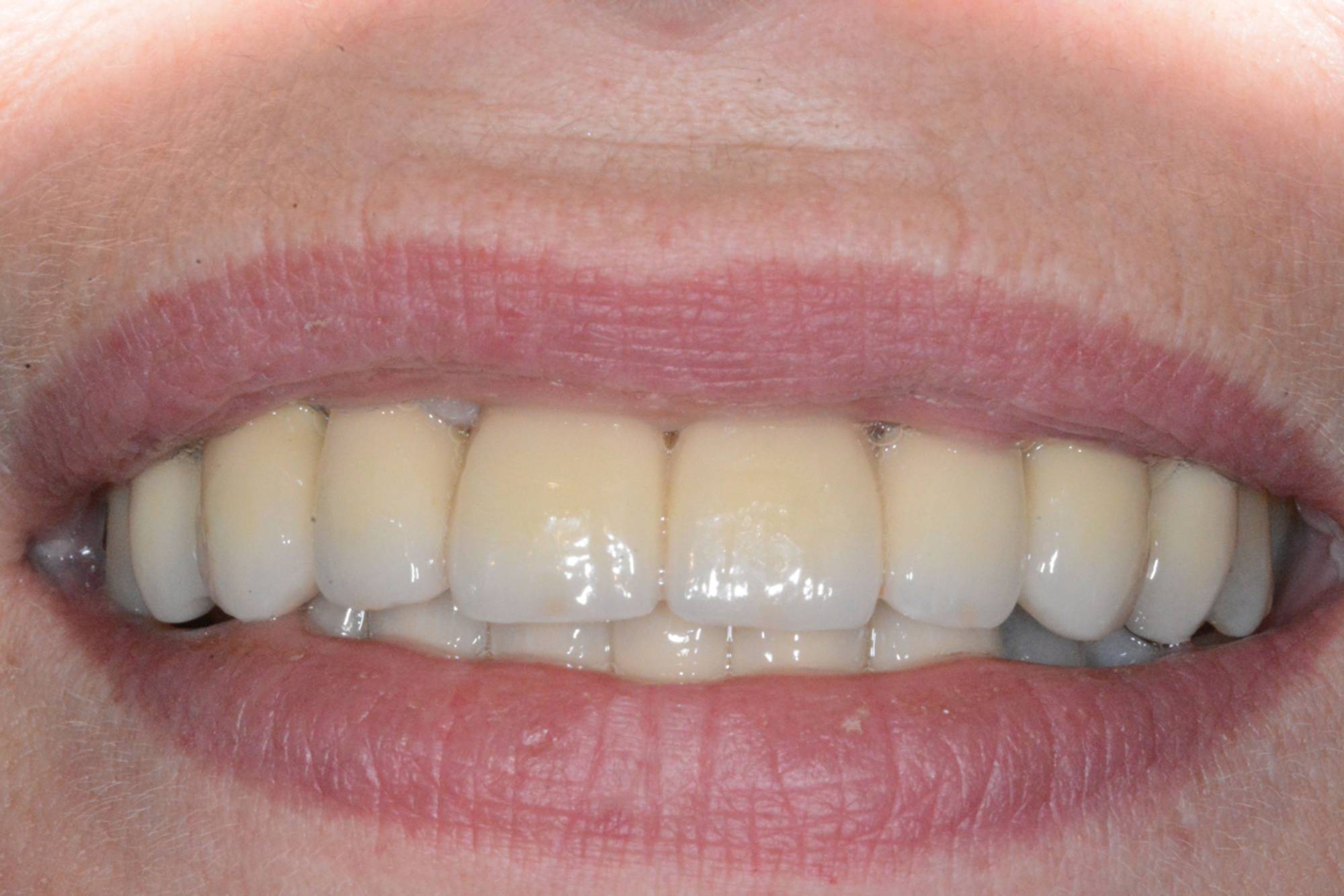
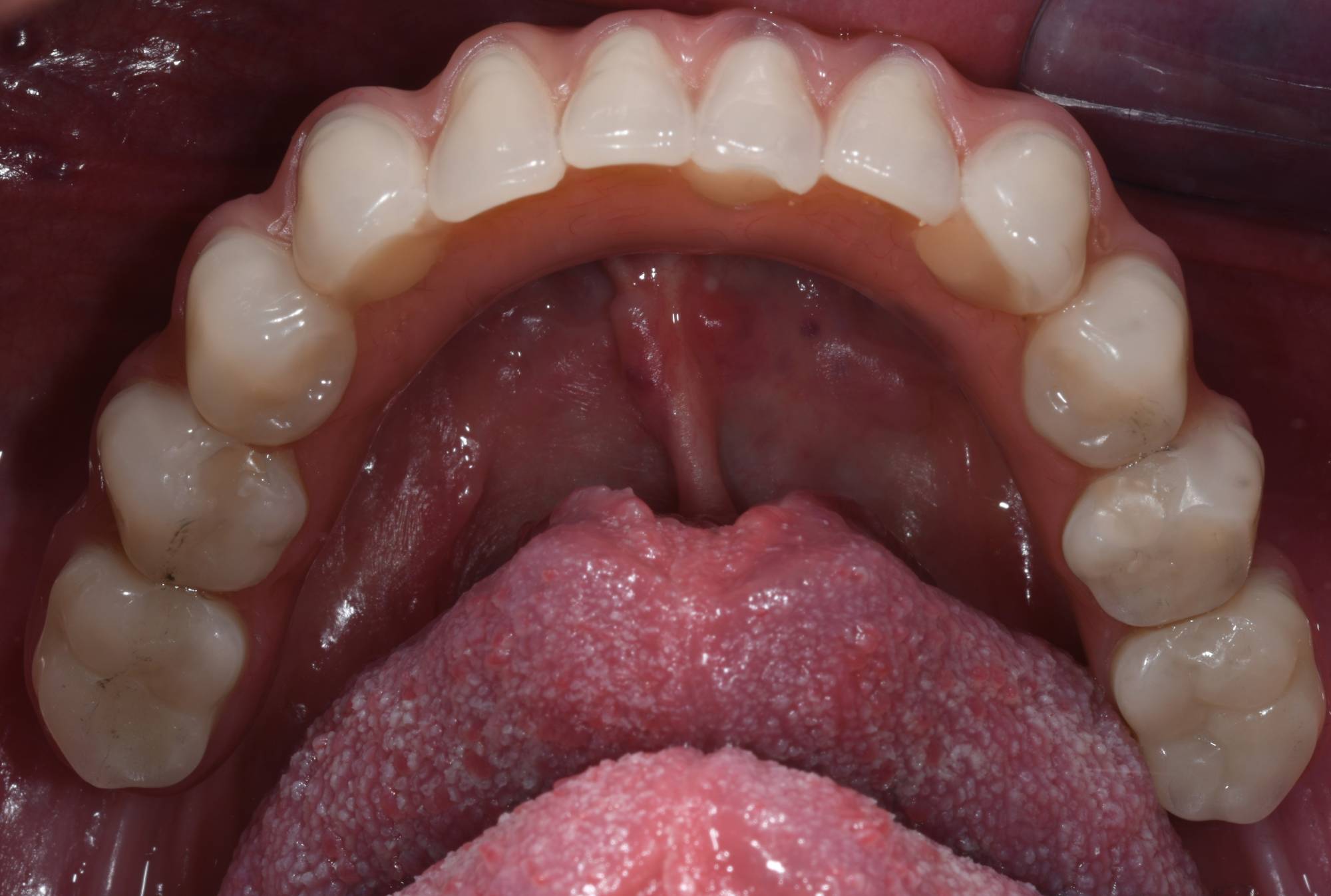
studio-dentistico-ballestrasse-besana-brianza-caso-clinico-1.3
SORRISO

Corone in metallo-ceramica del gruppo frontale superiore e inferiore

Odontoiatria generale - Protesi
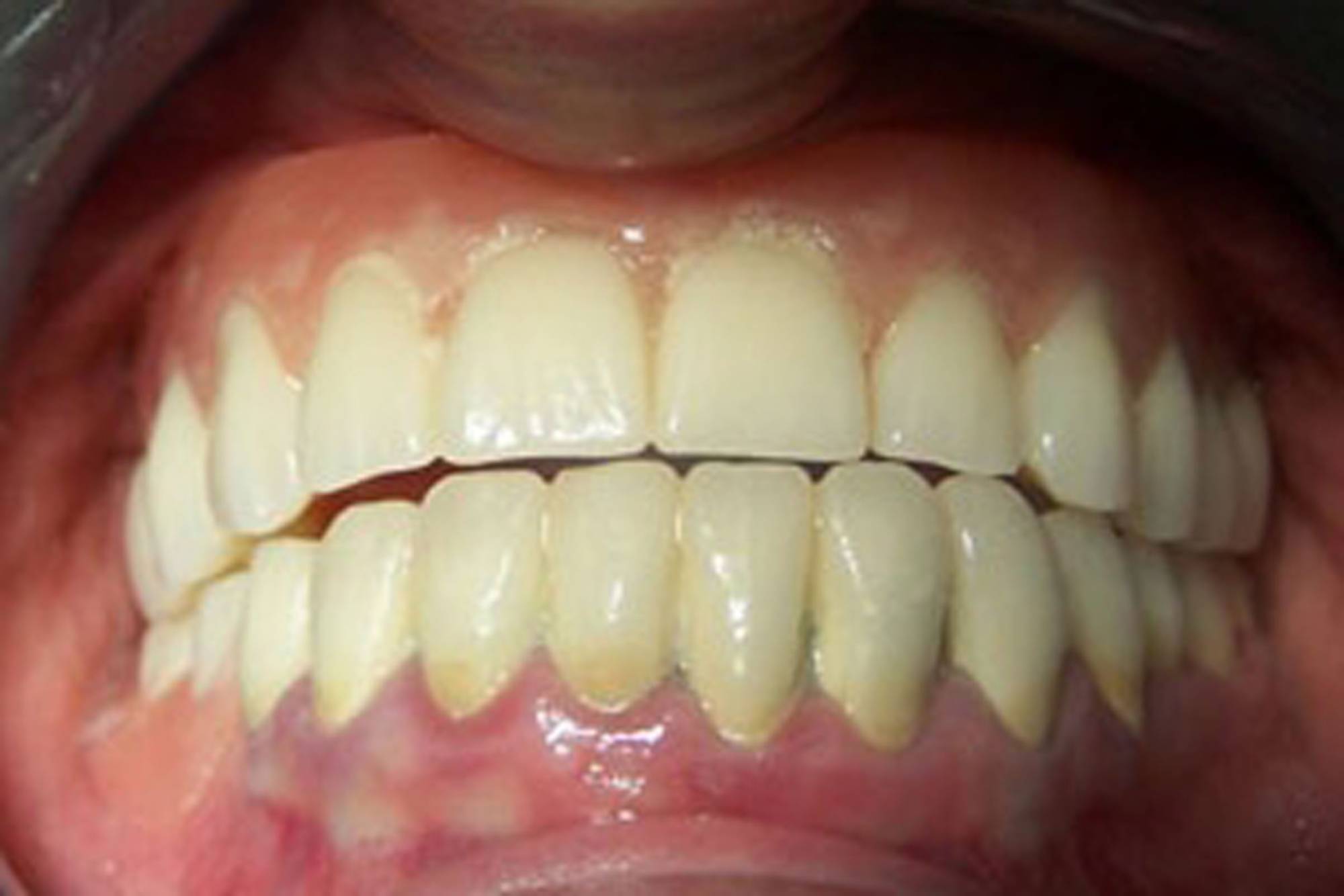
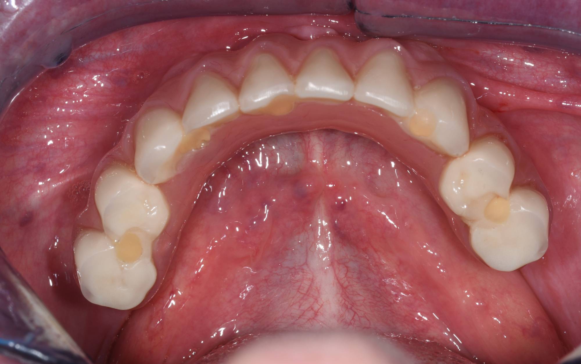
studio-dentistico-ballestrasse-besana-brianza-caso-clinico-2.1
PRIMA
studio-dentistico-ballestrasse-besana-brianza-caso-clinico-2.2
PRIMA
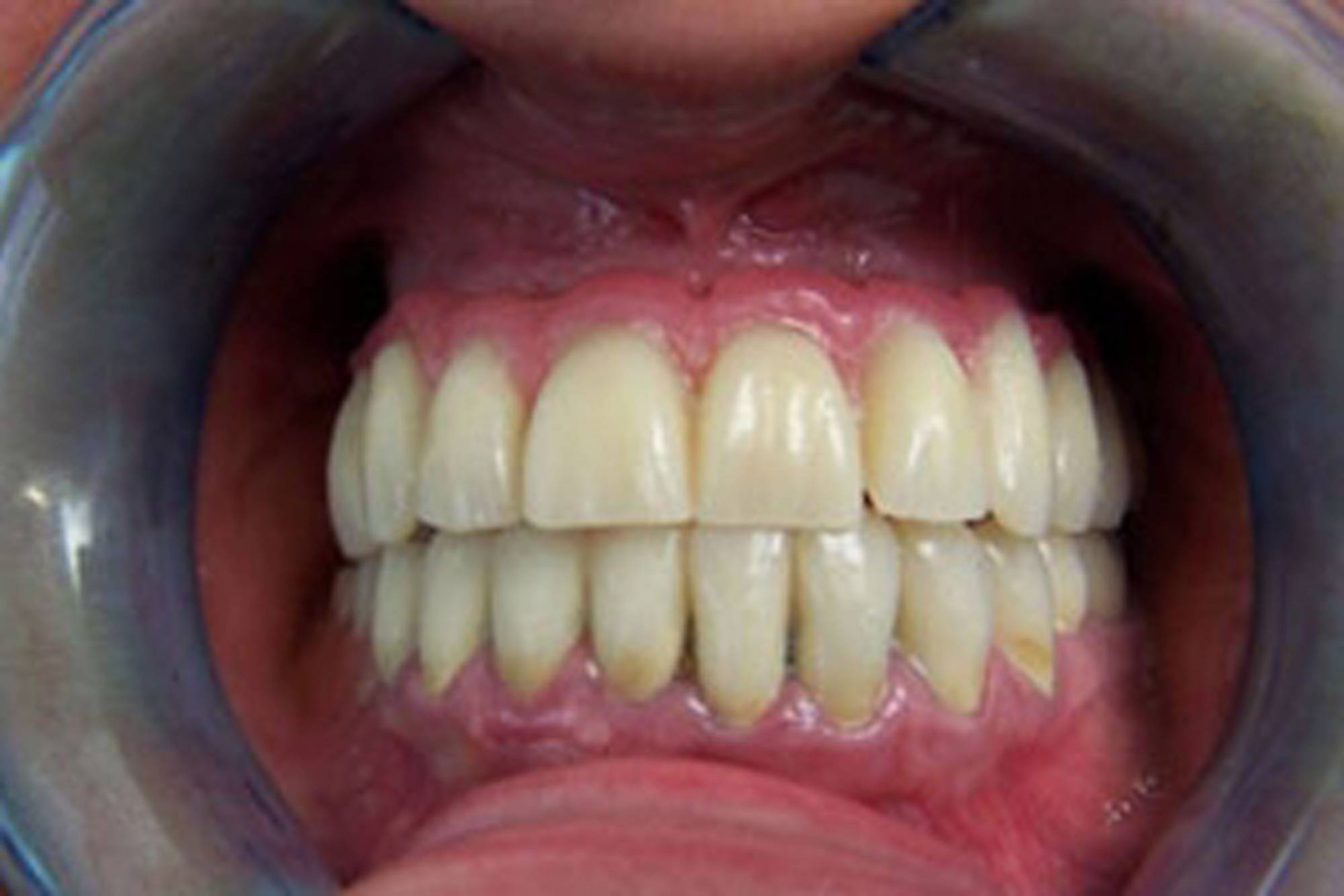
studio-dentistico-ballestrasse-besana-brianza-caso-clinico-2.3
DOPO

Ponte di 3 elementi in metallo-ceramica

Odontoiatria generale - Protesi
studio-dentistico-ballestrasse-besana-brianza-caso-clinico-3.1
PROTESI
studio-dentistico-ballestrasse-besana-brianza-caso-clinico-3.2
ATTACCHI DI PRECISIONE
studio-dentistico-ballestrasse-besana-brianza-caso-clinico-3.3
PROTESI IN POSIZIONE
studio-dentistico-ballestrasse-besana-brianza-caso-clinico-3.4
SORRISO DELLA PAZIENTE

Overdenture superiore ed inferiore

Odontoiatria generale - Protesi
studio-dentistico-ballestrasse-besana-brianza-caso-clinico-4.1
PRIMA
studio-dentistico-ballestrasse-besana-brianza-caso-clinico-4.2
DOPO
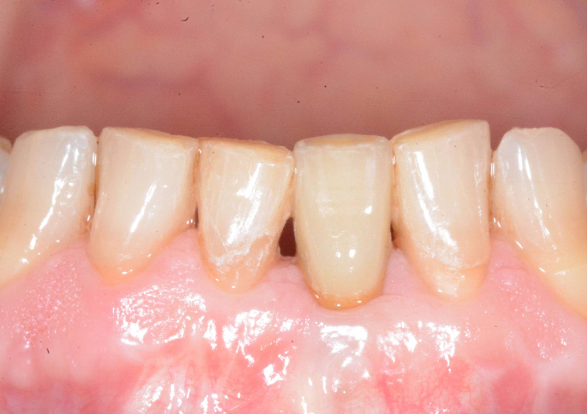
studio-dentistico-ballestrasse-besana-brianza-caso-clinico-4.3
DETTAGLIO
studio-dentistico-ballestrasse-besana-brianza-caso-clinico-4.4
CONTROLLO RADIOGRAFICO

Impianto di incisivo superiore in seguito ad incidente

Odontoiatria generale - Implantologia
studio-dentistico-ballestrasse-besana-brianza-caso-clinico-5.1
PRIMA
studio-dentistico-ballestrasse-besana-brianza-caso-clinico-5.2
DOPO
studio-dentistico-ballestrasse-besana-brianza-caso-clinico-5.3
CONTROLLO RADIOGRAFICO

Impianto di incisivo inferiore fratturato

Odontoiatria generale - Implantologia
studio-dentistico-ballestrasse-besana-brianza-caso-clinico-6.1
PRIMA - Vecchia protesi con denti non mantenibili
studio-dentistico-ballestrasse-besana-brianza-caso-clinico-6.2
CARICO IMMEDIATO - Protesi con denti fissi dopo 48 ore dall'intervento
studio-dentistico-ballestrasse-besana-brianza-caso-clinico-6.3
ARCATA FISSA INFERIORE DEFINITIVA
studio-dentistico-ballestrasse-besana-brianza-caso-clinico-6.4
CONTROLLO RADIOGRAFICO

Impianti a carico immediato arcata inferiore

Odontoiatria generale - Implantologia
studio-dentistico-ballestrasse-besana-brianza-caso-clinico-7.1
PRIMA
studio-dentistico-ballestrasse-besana-brianza-caso-clinico-7.2
DOPO
studio-dentistico-ballestrasse-besana-brianza-caso-clinico-7.3
PRIMA
studio-dentistico-ballestrasse-besana-brianza-caso-clinico-7.4
DOPO

Impianto singolo di molare

Odontoiatria generale - Implantologia
studio-dentistico-ballestrasse-besana-brianza-caso-clinico-8.1
PRIMA - Protesi totale mobile da sostituire
studio-dentistico-ballestrasse-besana-brianza-caso-clinico-8.2
DOPO - Protesi definitiva fissa su impianti
studio-dentistico-ballestrasse-besana-brianza-caso-clinico-8.3
CONTROLLO RADIOGRAFICO

Arcata superiore fissa su impianti

Odontoiatria generale - Implantologia
studio-dentistico-ballestrasse-besana-brianza-caso-clinico-9.1
PRIMA - Denti inferiori da estrarre
studio-dentistico-ballestrasse-besana-brianza-caso-clinico-9.2
CARICO IMMEDIATO - Protesi fissa dopo 48 ore dall'intervento
studio-dentistico-ballestrasse-besana-brianza-caso-clinico-9.3
ARCATA FISSA INFERIORE DEFINITIVA
studio-dentistico-ballestrasse-besana-brianza-caso-clinico-9.4
CONTROLLO RADIOGRAFICO

Impianti a carico immediato arcata inferiore

Odontoiatria generale - Implantologia
studio-dentistico-ballestrasse-besana-brianza-caso-clinico-10.1
PRIMA - Lato destro
studio-dentistico-ballestrasse-besana-brianza-caso-clinico-10.2
DOPO - Stesso lato
studio-dentistico-ballestrasse-besana-brianza-caso-clinico-10.3
PRIMA - Lato sinistro
studio-dentistico-ballestrasse-besana-brianza-caso-clinico-10.4
DOPO - Stesso lato
studio-dentistico-ballestrasse-besana-brianza-caso-clinico-10.5
CONTROLLO RADIOGRAFICO

Riabilitazione settori posteriori con impianti

Odontoiatria generale - Implantologia
DSC_5307-bis
PRIMA- Situazione iniziale
DSC_5415-bis-min
CARICO IMMEDIATO- Denti fissi dopo 48 ore dall'intervento
DSC_6650-bis
DOPO- Arcata fissa inferiore definitiva

Riabilitazione dell'arcata inferiore con impianti

Odontoiatria generale - Implantologia
DSC_2192-bis-min
PRIMA- Incisivi fratturati e ponte da rifare
DSC_8278-bis-min
DOPO
Schepis, Maria_IntraFrontalAdult_20201218_123409--bis-min
CONTROLLO RADIOGRAFICO

Impianti degli incisivi superiori

Odontoiatria generale - Implantologia