News

News

Faccette in ceramica: quando e perchè

Le faccette in ceramica stanno diventando sempre più di moda, e a ragione: migliorano enormemente il sorriso di una persona, il suo primo biglietto da visita. Sono delle sottilissime lamine in materiale ceramico che si incollano sulla superficie dei denti fontali...

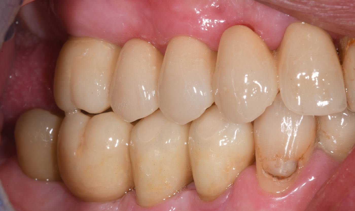
Parodontite: prima che sia troppo tardi

Mi occupo di parodontologia da decenni. E' la branca dell'odontoiatria che cura i tessuti di sostegno del dente. Se hai gengive infiammate, gonfie, che sanguinano durante l'uso dello spazzolino, se hai recessioni gengivali, sensibilità al freddo o alitosi, potresti avere la parodontite...

Dettagli che contano

Quando si scoprono le labbra, l’impatto visivo cade subito sugli incisivi superiori e anche il minimo difetto può peggiorare il tuo sorriso e di conseguenza la tua autostima. Eseguire dei restauri nel settore frontale crea l’armonia e la simmetria che rendono il sorriso più bello e attraente...

La regolazione emotiva e la tua salute orale

La regolazione emotiva secondo la definizione del modello processuale di Gross e Thompson (2007) è la capacità di modulare il proprio stato emotivo in maniera adattiva attraverso strategie e comportamenti di diversa natura, variabile in base al contesto culturale di riferimento. Facendo un esempio, un evento come l’appuntamento con il dentista...

Regali golosi 2024

Questa foto fatta nel mio ufficio dello Studio di Besana Brianza ti fa vedere il mio team. Se noti qualcosa di strano sulla scrivania, c'è una ragione...

La potenza della conservativa

È del tutto evidente che il tuo sorriso contribuisce enormemente alla prima impressione che dai agli altri, è il primo tratto che si nota in una persona...