Casi clinici

conservativa

Casi clinici

conservativa

studio-dentistico-ballestrasse-besana-brianza-caso-clinico-22.2
DOPO
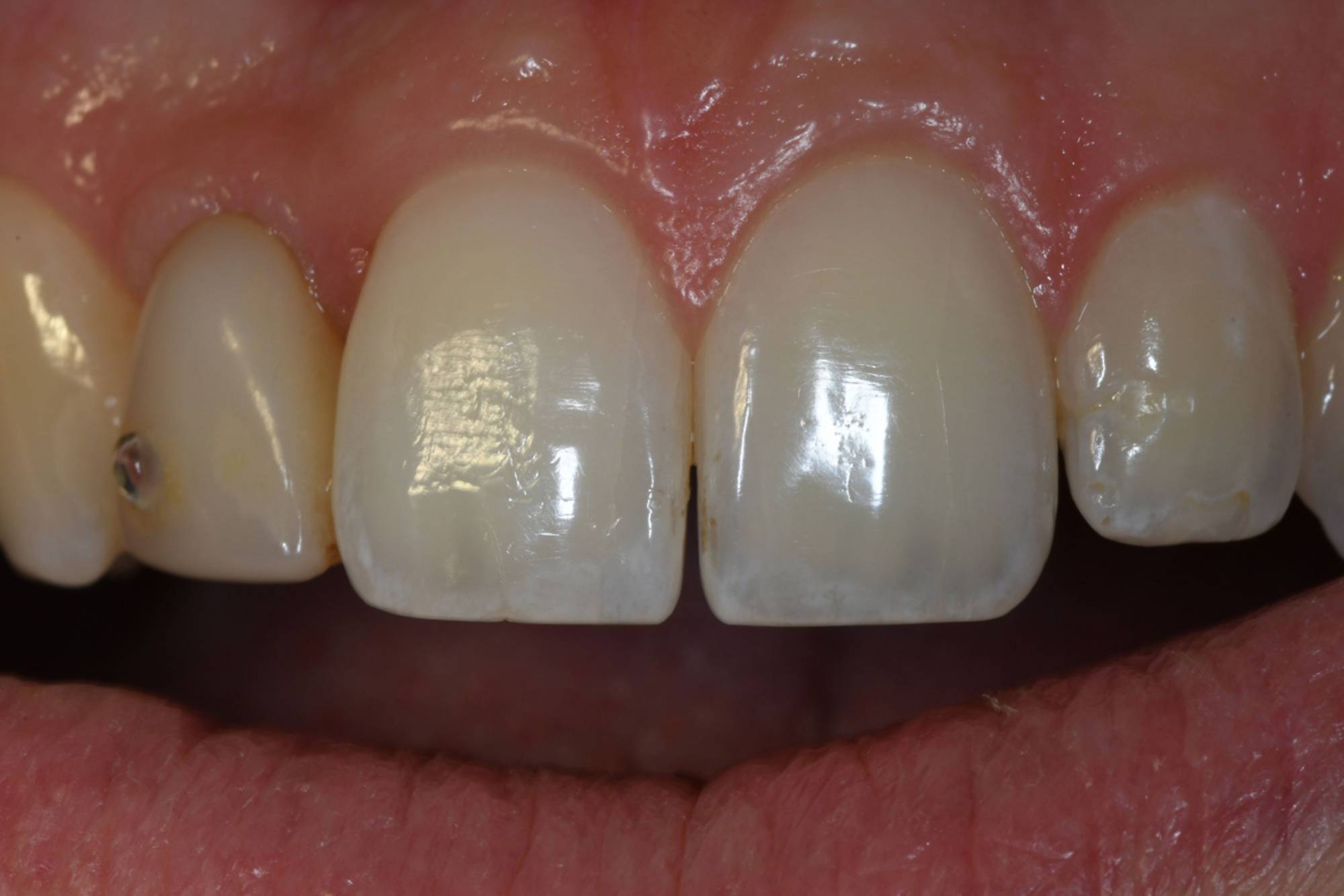
studio-dentistico-ballestrasse-besana-brianza-caso-clinico-22.1
PRIMA

Ricostruzioni di incisivi fratturati

Odontoiatria laser - Conservativa
studio-dentistico-ballestrasse-besana-brianza-caso-clinico-24.2
DOPO
studio-dentistico-ballestrasse-besana-brianza-caso-clinico-24.1
PRIMA

Ricostruzione estetica dell'incisivo centrale

Odontoiatria laser - Conservativa
studio-dentistico-ballestrasse-besana-brianza-caso-clinico-25.2
DOPO
studio-dentistico-ballestrasse-besana-brianza-caso-clinico-25.1
PRIMA

Ricostruzione di incisivo centrale fratturato

Odontoiatria laser - Conservativa
DSC_0334-bis-min
DOPO
DSC_0280-ter
PRIMA

Ricostruzione diretta incisivi inferiori

Odontoiatria laser - Conservativa
studio-dentistico-ballestrasse-besana-brianza-caso-clinico-26.2
DOPO
studio-dentistico-ballestrasse-besana-brianza-caso-clinico-26.1
PRIMA

Chiusura diastema degli incisivi centrali

Odontoiatria laser - Conservativa
studio-dentistico-ballestrasse-besana-brianza-caso-clinico-27.2
DOPO
studio-dentistico-ballestrasse-besana-brianza-caso-clinico-27.1
PRIMA

Otturazioni degli incisivi centrali con amelogenesi imperfetta

Odontoiatria laser - Conservativa
DSC_0717-bis
DOPO
DSC_0706
PRIMA

Rifacimento vecchie otturazioni degli incisivi superiori

Odontoiatria laser - Conservativa
studio-dentistico-ballestrasse-besana-brianza-caso-clinico-28.2
DOPO
studio-dentistico-ballestrasse-besana-brianza-caso-clinico-28.1
PRIMA

Rifacimento otturazione all'incisivo centrale

Odontoiatria laser - Conservativa
studio-dentistico-ballestrasse-besana-brianza-caso-clinico-31.2
DOPO
studio-dentistico-ballestrasse-besana-brianza-caso-clinico-31.1
PRIMA

Rifacimento otturazioni ingiallite degli incisivi centrali

Odontoiatria laser - Conservativa
studio-dentistico-ballestrasse-besana-brianza-caso-clinico-32.2
DOPO
studio-dentistico-ballestrasse-besana-brianza-caso-clinico-32.1
PRIMA

Vecchie otturazioni sui frontali da sostituire

Odontoiatria laser - Conservativa
DSC_4184-bis-min
DOPO
DSC_3628-bis-min
PRIMA

Otturazioni denti frontali

Odontoiatria laser - Conservativa
DSC_7977-ter-min
DOPO
DSC_7864-bis-min
PRIMA

Chiusura spazio interincisivo

Odontoiatria laser - Conservativa