Casi clinici

ortodonzia

Casi clinici

ortodonzia

studio-dentistico-ballestrasse-besana-brianza-caso-clinico-13.2
DOPO
studio-dentistico-ballestrasse-besana-brianza-caso-clinico-13.1
PRIMA

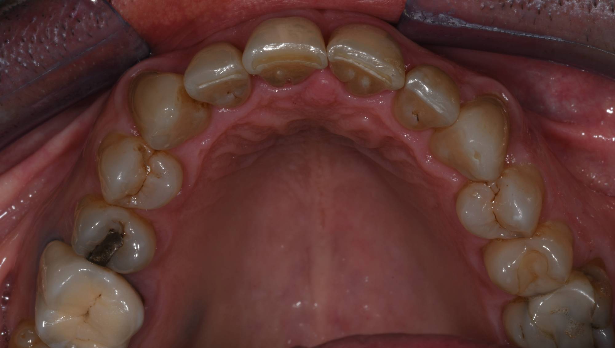
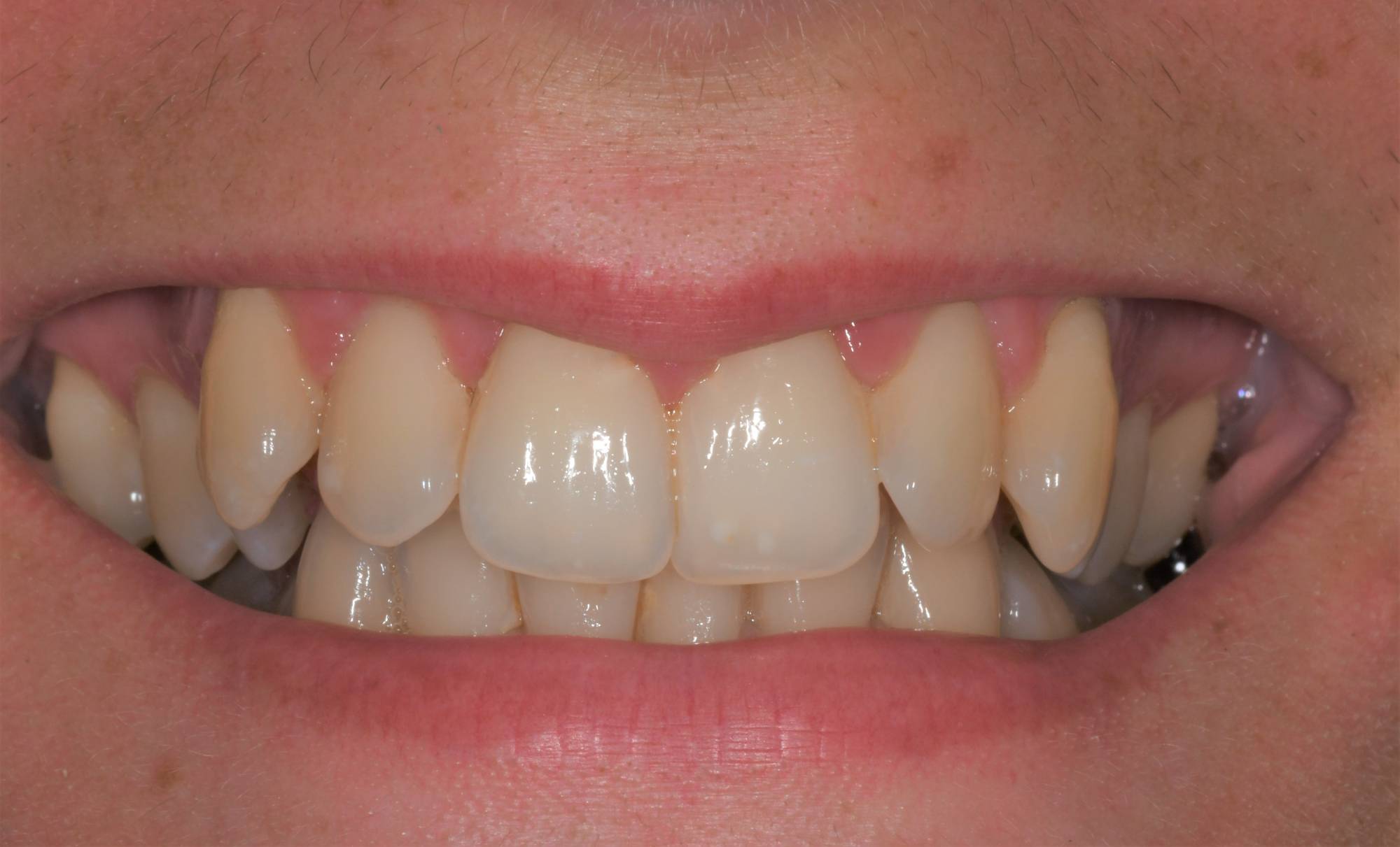
Affollamento dentale con linea mediana deviata

Odontoiatria generale - Ortodonzia
studio-dentistico-ballestrasse-besana-brianza-caso-clinico-14.2
DOPO
studio-dentistico-ballestrasse-besana-brianza-caso-clinico-14.1
PRIMA

Morso aperto anteriore e affollamento dentale

Odontoiatria generale - Ortodonzia
studio-dentistico-ballestrasse-besana-brianza-caso-clinico-15.2
DOPO
studio-dentistico-ballestrasse-besana-brianza-caso-clinico-15.1
PRIMA

Morso profondo con incisivi laterali superiori palatali

Odontoiatria generale - Ortodonzia
studio-dentistico-ballestrasse-besana-brianza-caso-clinico-16.2
DOPO
studio-dentistico-ballestrasse-besana-brianza-caso-clinico-16.1
PRIMA

Cross bite e morso aperto

Odontoiatria generale - Ortodonzia
studio-dentistico-ballestrasse-besana-brianza-caso-clinico-17.2
DOPO
studio-dentistico-ballestrasse-besana-brianza-caso-clinico-17.1
PRIMA

Disallineamento dentale con linea mediana deviata

Odontoiatria generale - Ortodonzia
DSC_7362-bis-min
DOPO
DSC_3811-min
PRIMA- Affollamento dentale

Ortodonzia con allineatori trasparenti- Affollamento dentale

Odontoiatria generale - Ortodonzia
DSC_3621-bis-min
DOPO
DSC_1999-bis-min
PRIMA- Arcate dentali stratte

Ortodonzia con allineatori trasparenti- Allineamento arcata dentale

Odontoiatria generale - Ortodonzia