Casi clinici

Casi clinici
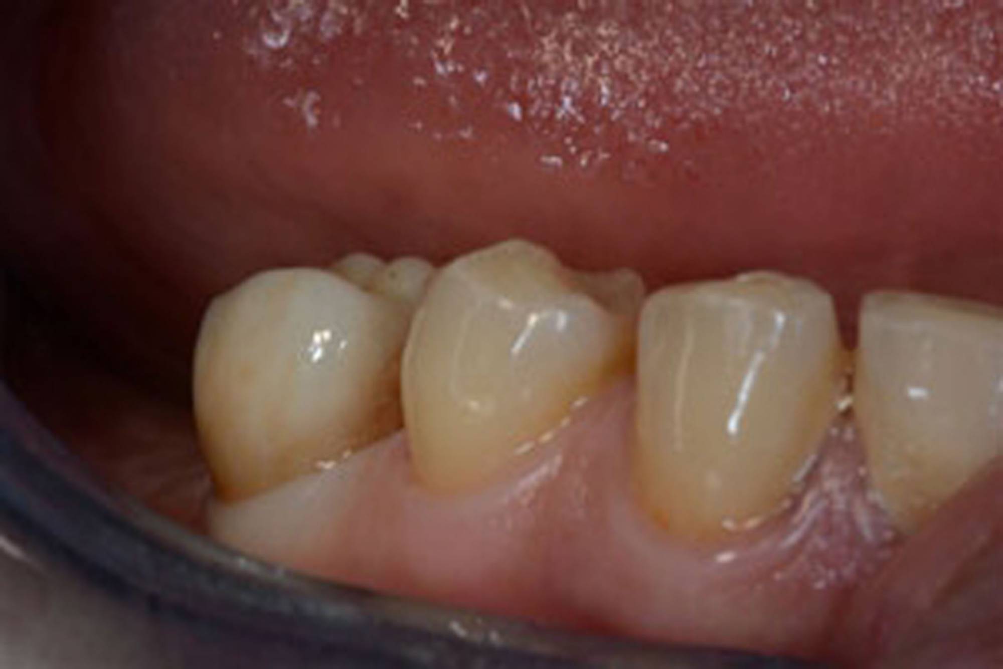
DSC_7107-bis-min
DOPO
DSC_7075-min
DOPO - DETTAGLIO
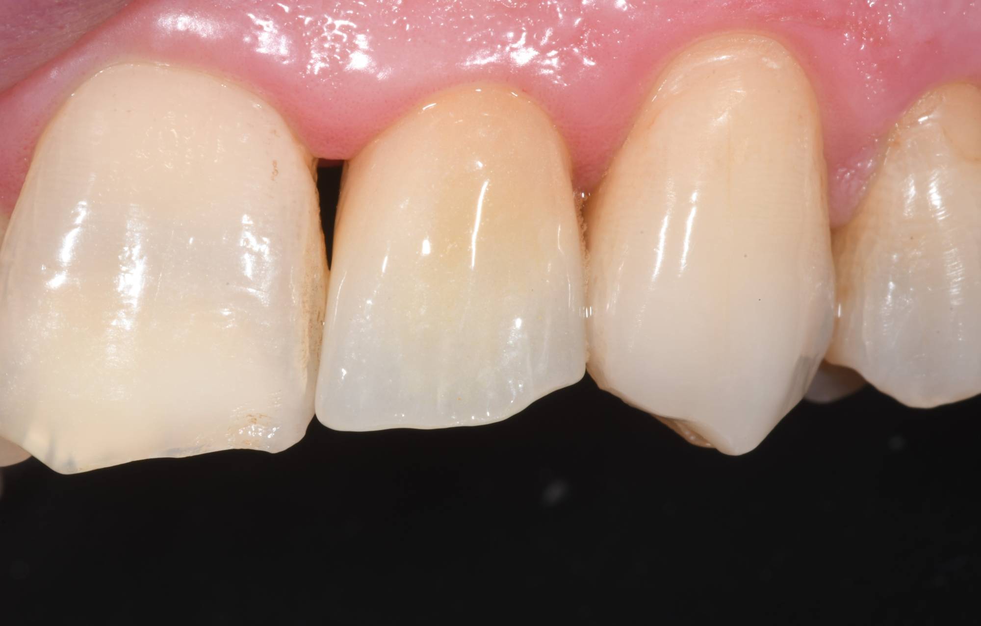
DSC_6083-min
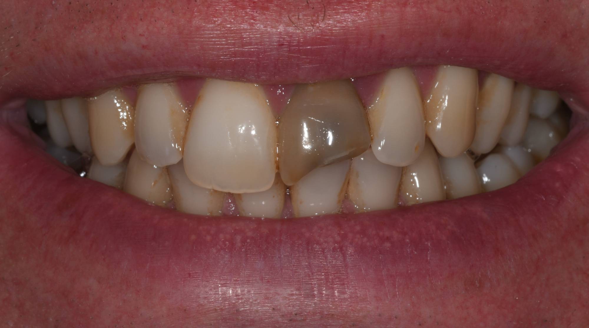
PRIMA- Vecchie corone in metallo ceramica

Corone in zirconia ceramica dei 4 incisivi superiori

Odontoiatria estetica - Corone metal free
DSC_2399-bis-min
DOPO - Visione frontale
DSC_2398-bis-min
DOPO - Visione laterale
DSC_2396-bis-min
DOPO - Visione laterale
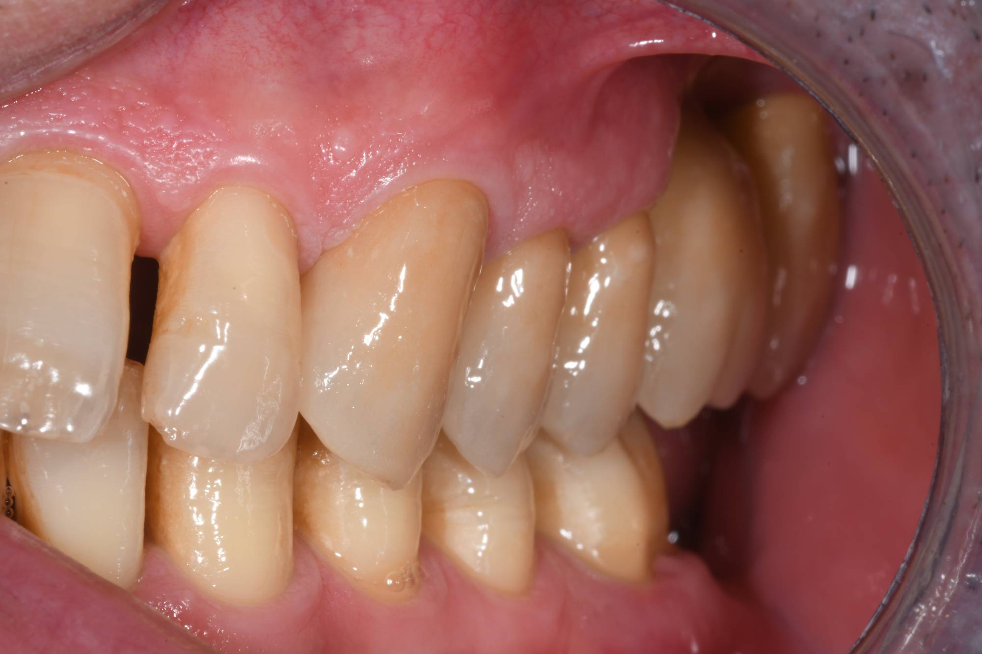
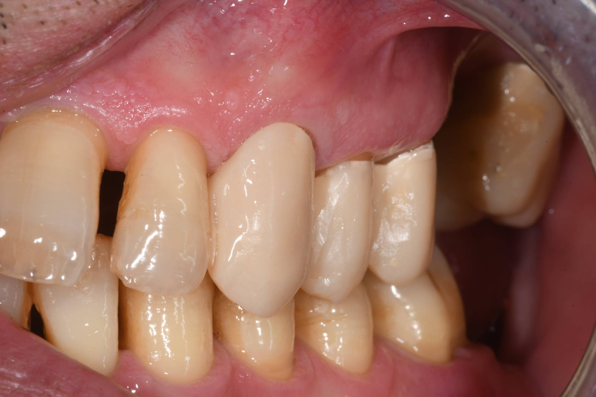
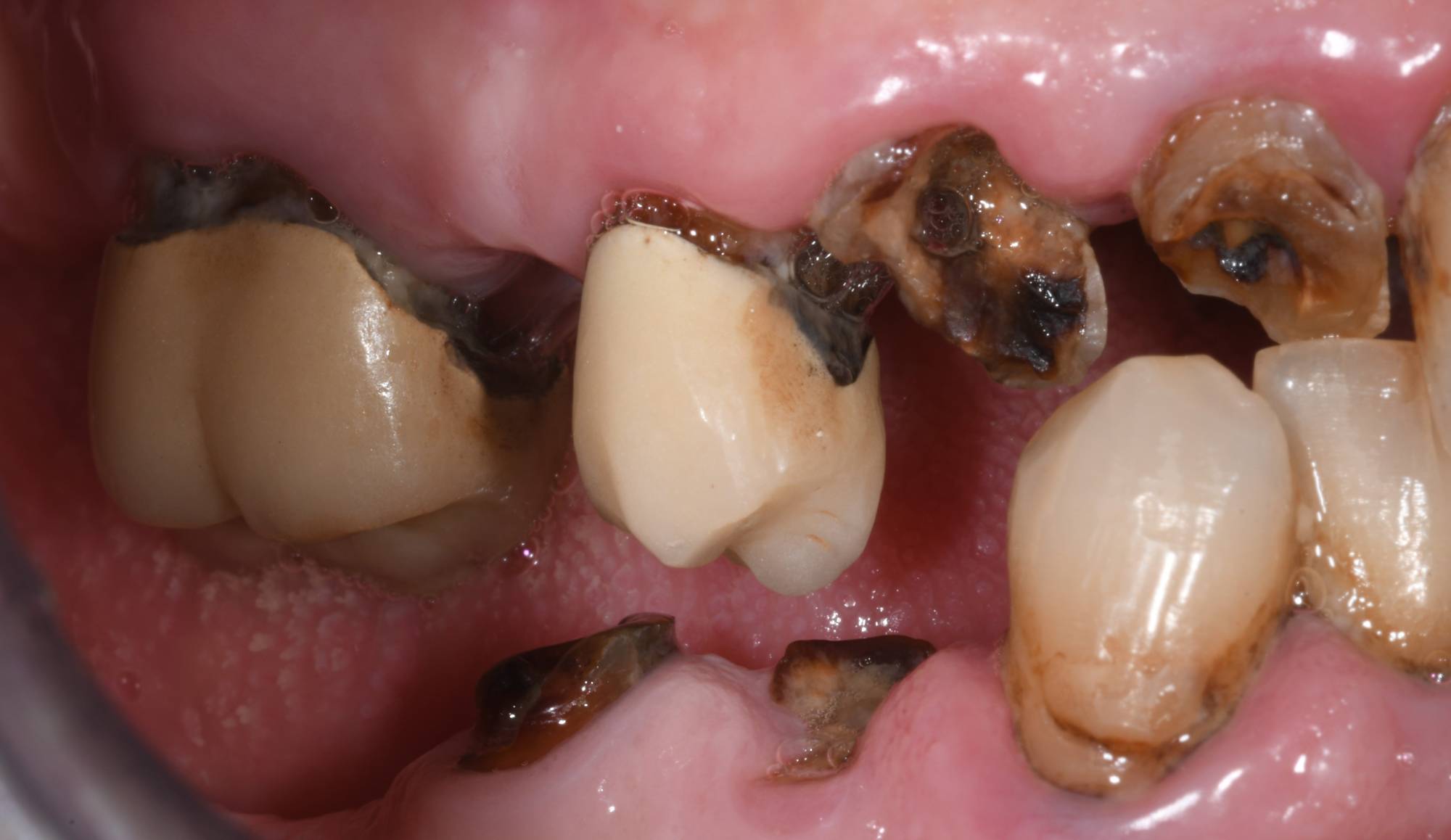
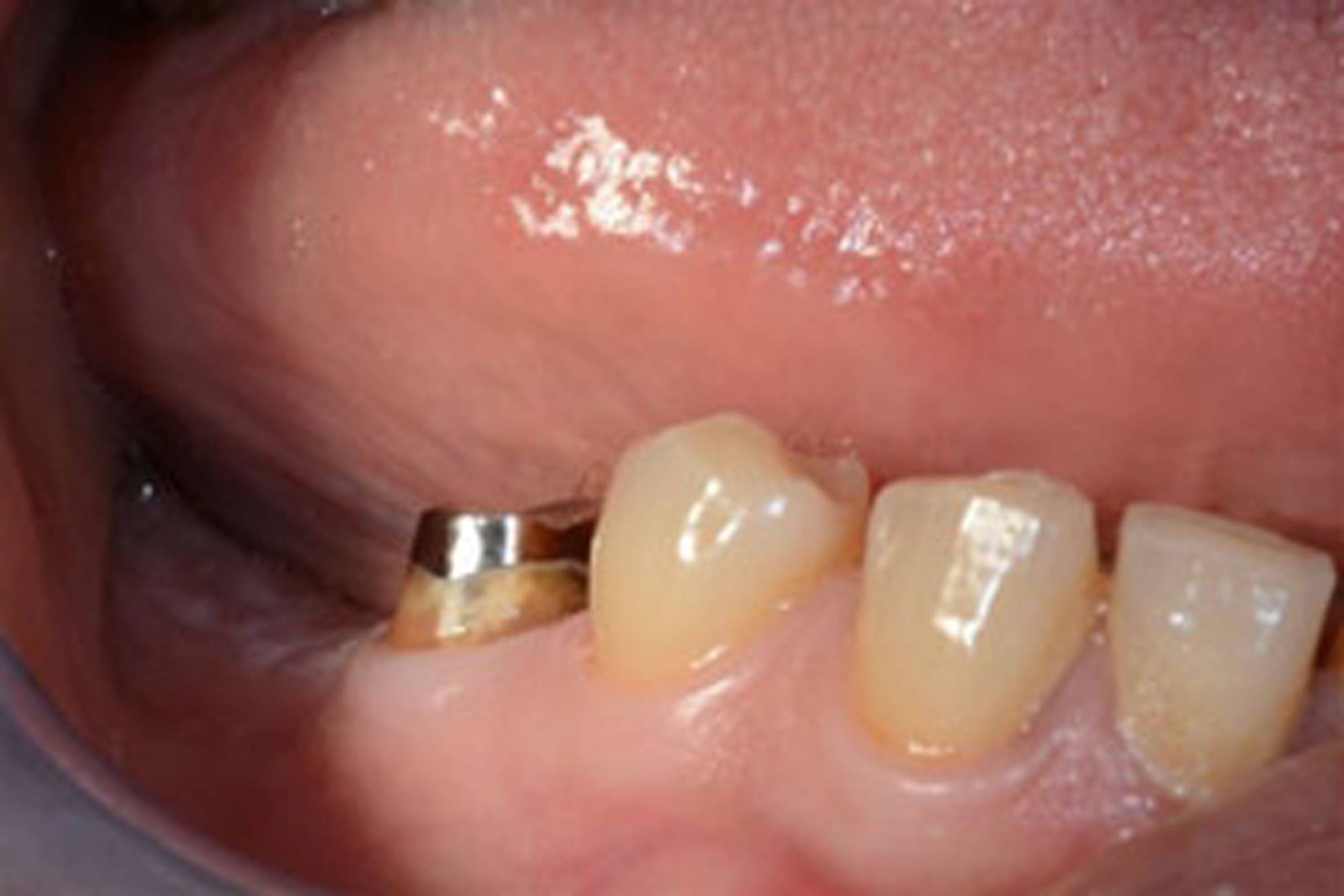
DSC_1377-bis-min
PRIMA

Corone in ceramica degli incisivi superiori

Corone metal free
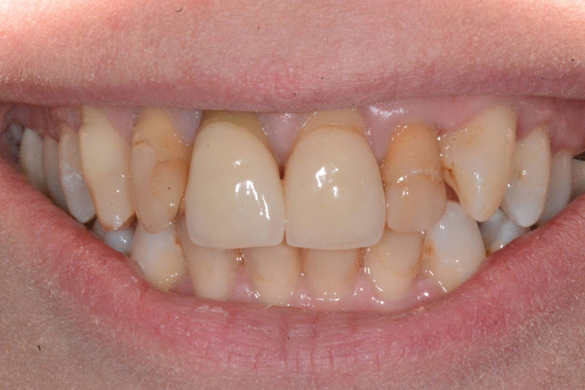
DSC_3050
DOPO - Sorriso
DSC_3054
DOPO- Lato destro
DSC_3051.jpg-bis
DOPO- Lato Sinistro
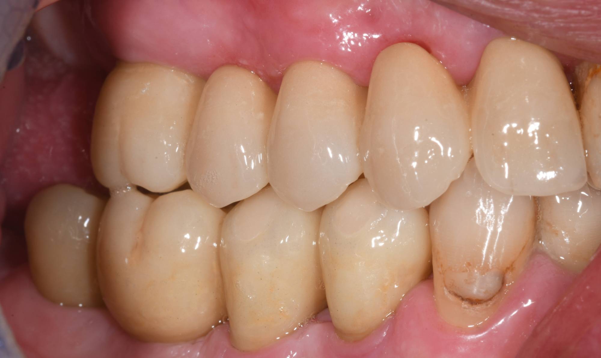
DSC_3022-bis (1)
Dettaglio corone lato esterno
DSC_3024-bis (1)
Dettaglio corone lato interno
DSC_1727.jpg-bis
PRIMA- Sorriso
DSC_1732
PRIMA- Lato destro
DSC_1730
PRIMA- Lato sinistro

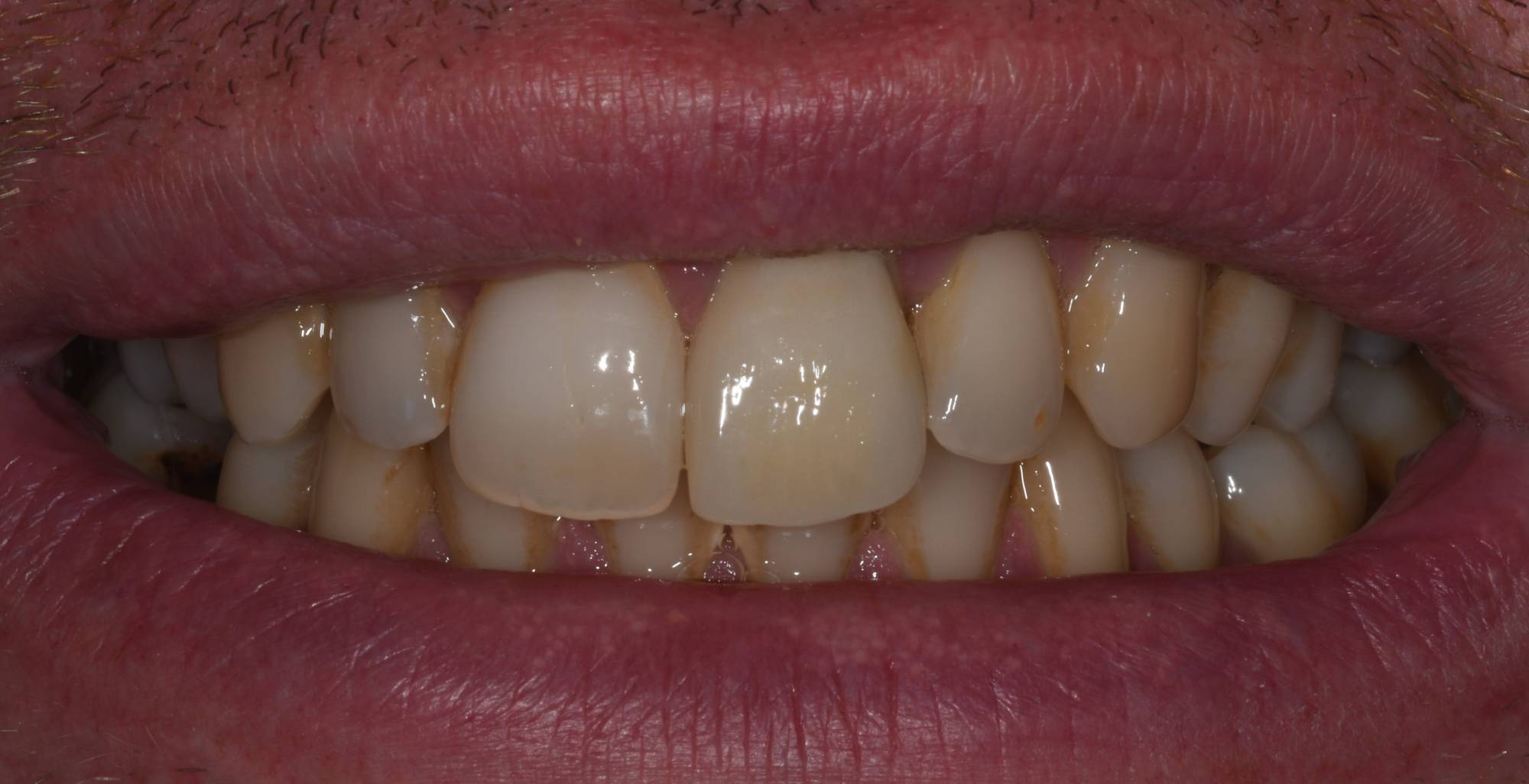
Riabilitazione arcata superiore con corone in zirconia-ceramica

Corone metal free
studio-dentistico-ballestrasse-besana-brianza-caso-clinico-42.2
DOPO
studio-dentistico-ballestrasse-besana-brianza-caso-clinico-42.4
SORRISO DOPO
studio-dentistico-ballestrasse-besana-brianza-caso-clinico-42.1
PRIMA
studio-dentistico-ballestrasse-besana-brianza-caso-clinico-42.3
SORRISO PRIMA

Corone in disilicato di litio per miglioramento estetico

Odontoiatria estetica - Corone metal free
studio-dentistico-ballestrasse-besana-brianza-caso-clinico-43.2
DOPO
studio-dentistico-ballestrasse-besana-brianza-caso-clinico-43.1
PRIMA

Corona in zirconia di premolare

Odontoiatria estetica - Corone metal free
DSC_8587-bis-min
DOPO
DSC_8596-min
DOPO- Sorriso
DSC_6916-bis-min
PRIMA

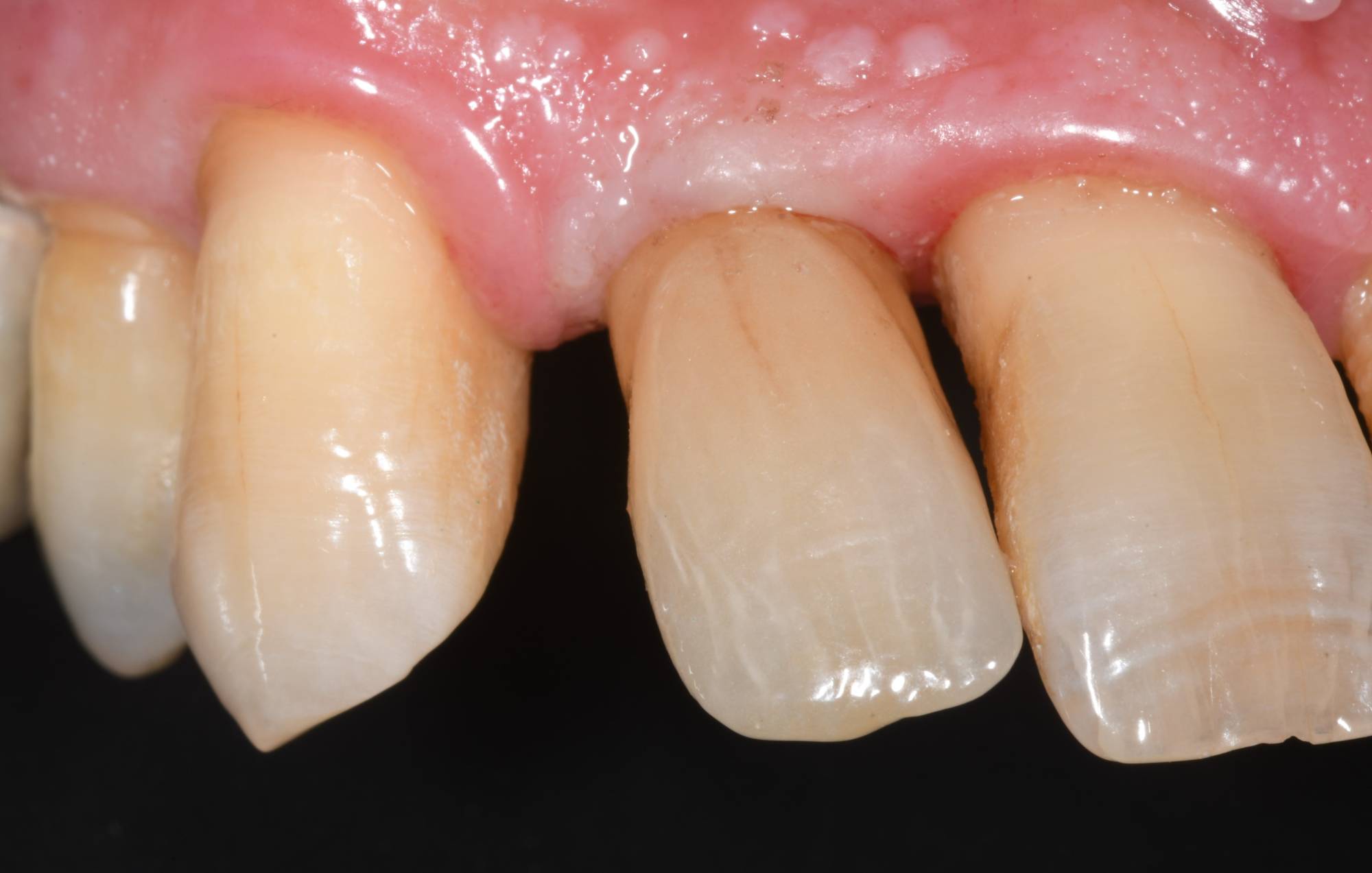
Corone in zirconia ceramica del gruppo frontale

Odontoiatria estetica - Corone metal free
DSC_9546-bis-min
DOPO
DSC_8965-bis-min
PRIMA

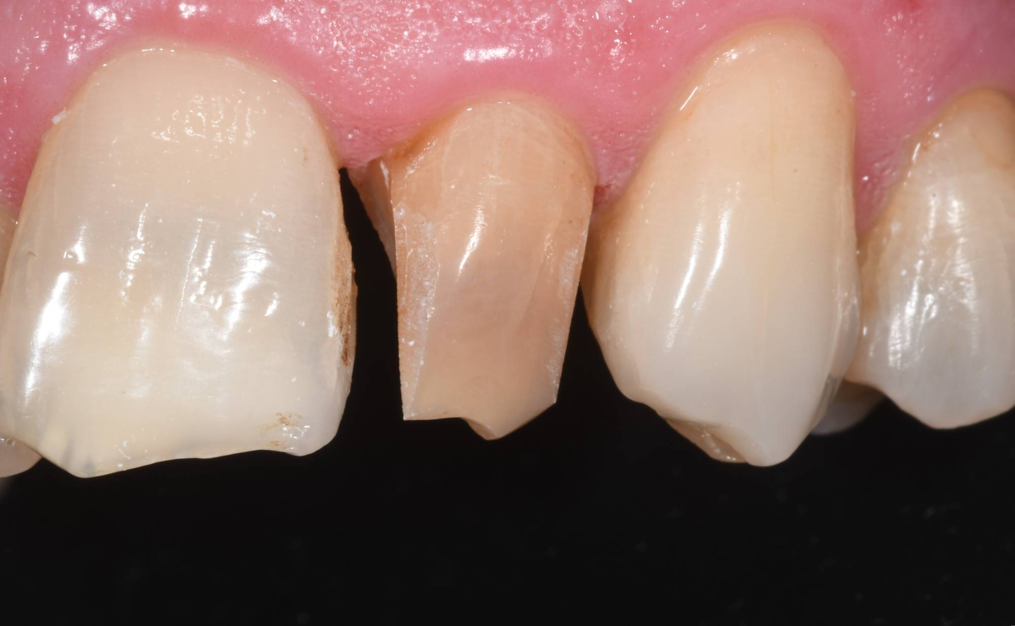
Corona in disilicato d litio dell'incisivo laterale

Odontoiatria estetica - Corone metal free
DSC_6545-min
DOPO
DSC_6533-min
PRIMA

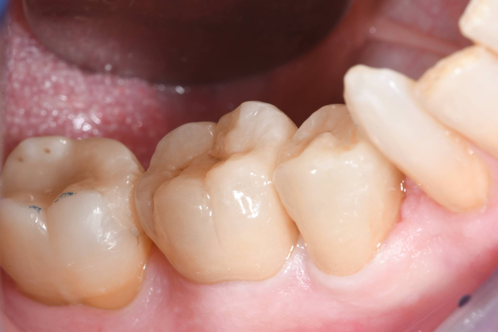
Corone in zirconia monolitica di premolare e molare

Odontoiatria estetica - Corone metal free
DSC_1771-min
DOPO - Visione frontale
DSC_1785-min
DOPO - Visione laterale
DSC_1233-bis-min
PRIMA - Visione frontale
DSC_1226-bis-min
PRIMA - Visione laterale

Corone incisivi centrali zirconia/ceramica

Odontoiatria estetica - Corone metal free
studio-dentistico-ballestrasse-besana-brianza-caso-clinico-44.2
DOPO
studio-dentistico-ballestrasse-besana-brianza-caso-clinico-44.1
PRIMA

Corona in disilicato di litio dell'incisivo laterale

Odontoiatria estetica - Corone metal free
DSC_7426-bis-min
DOPO
DSC_7149-bis-min
PRIMA

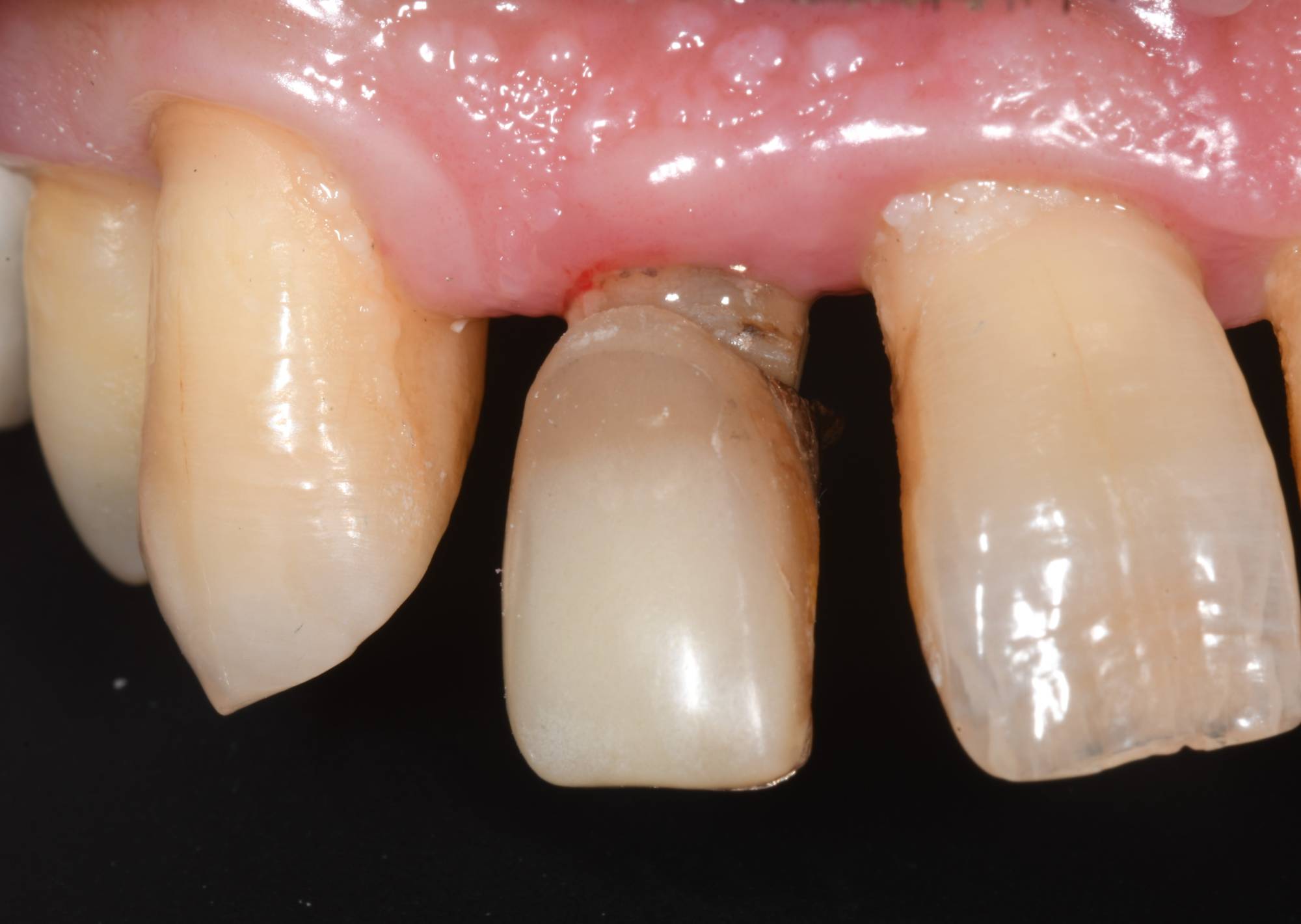
Corona in zirconia ceramica dell'incisivo laterale

Odontoiatria estetica - Corone metal free
studio-dentistico-ballestrasse-besana-brianza-caso-clinico-45.2
DOPO
studio-dentistico-ballestrasse-besana-brianza-caso-clinico-45.1
PRIMA

Corone in disilicato di litio dei quattro incisivi superiori

Odontoiatria estetica - Corone metal free