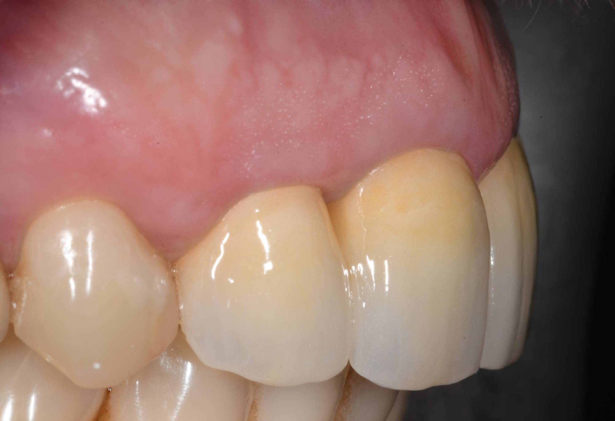
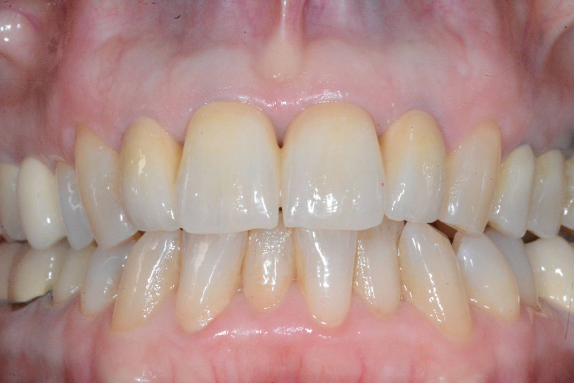
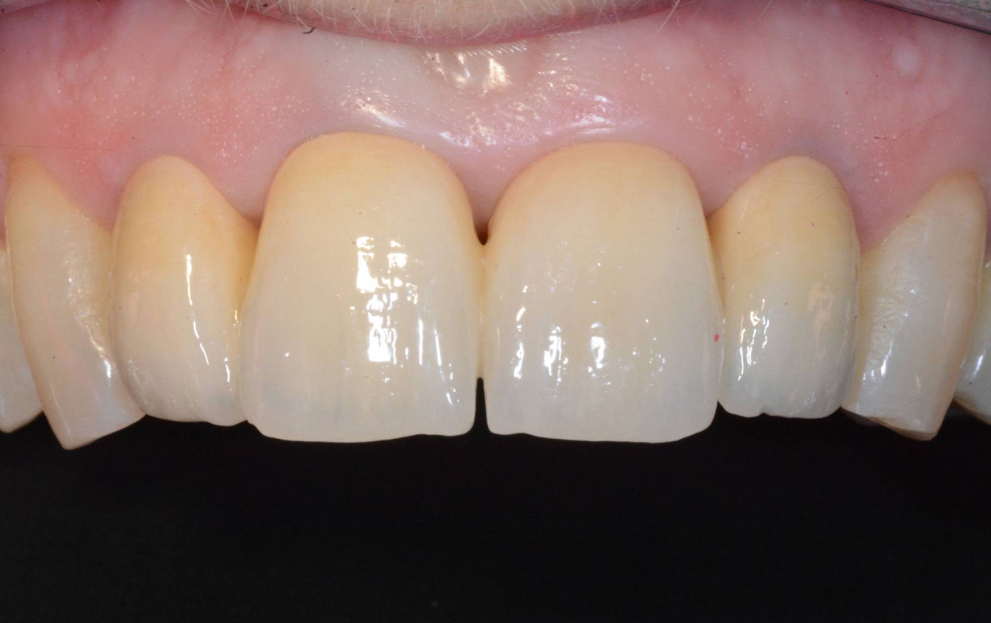
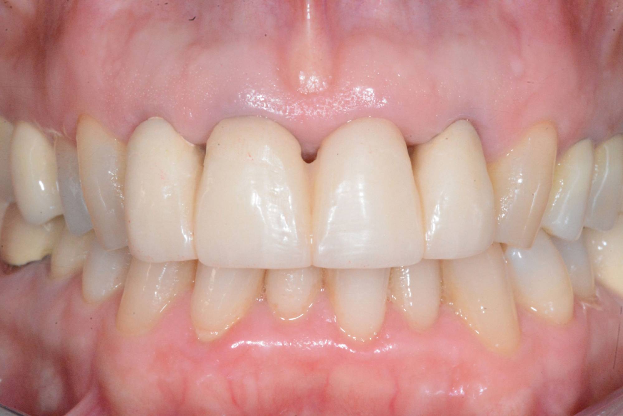
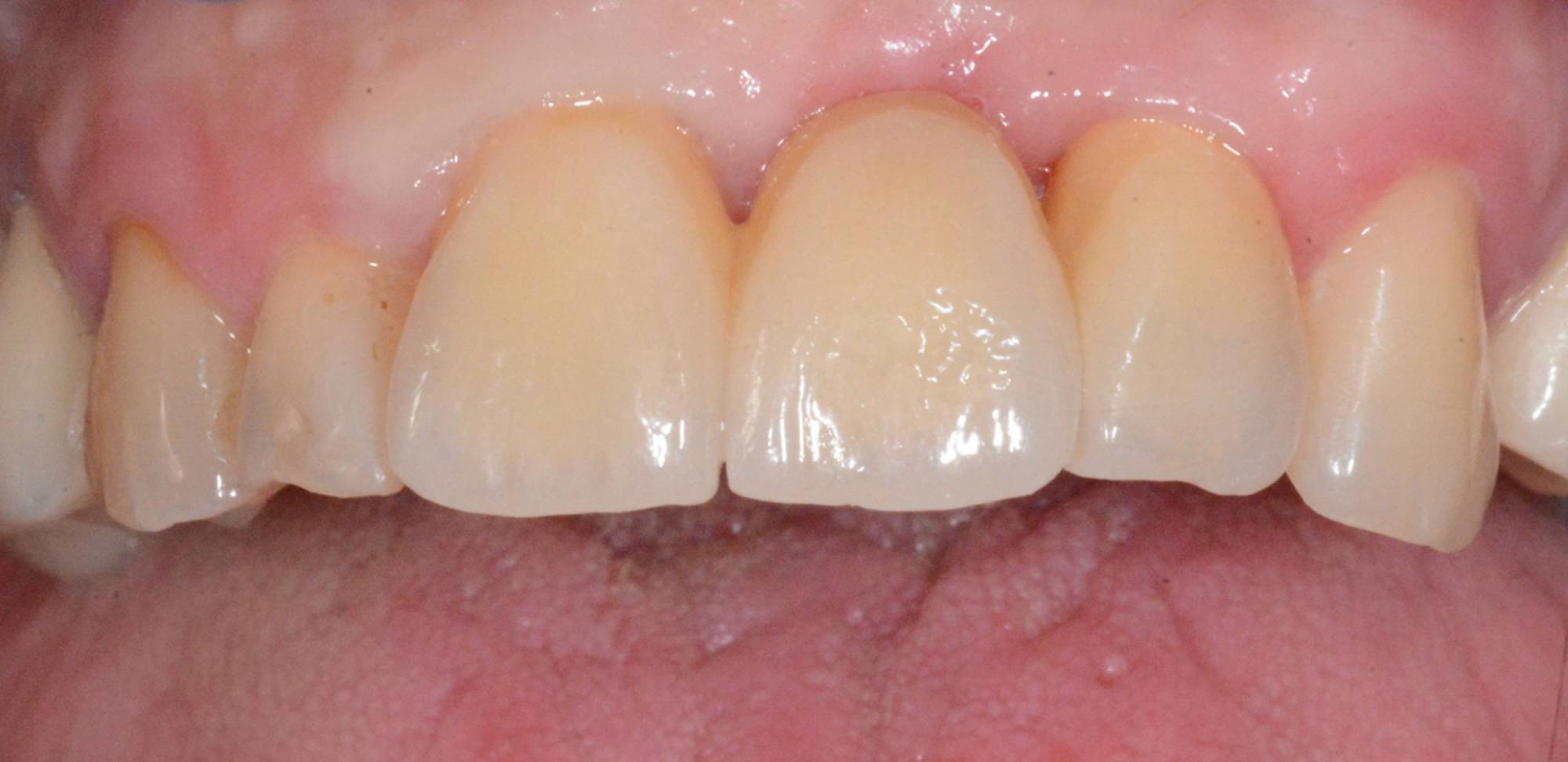
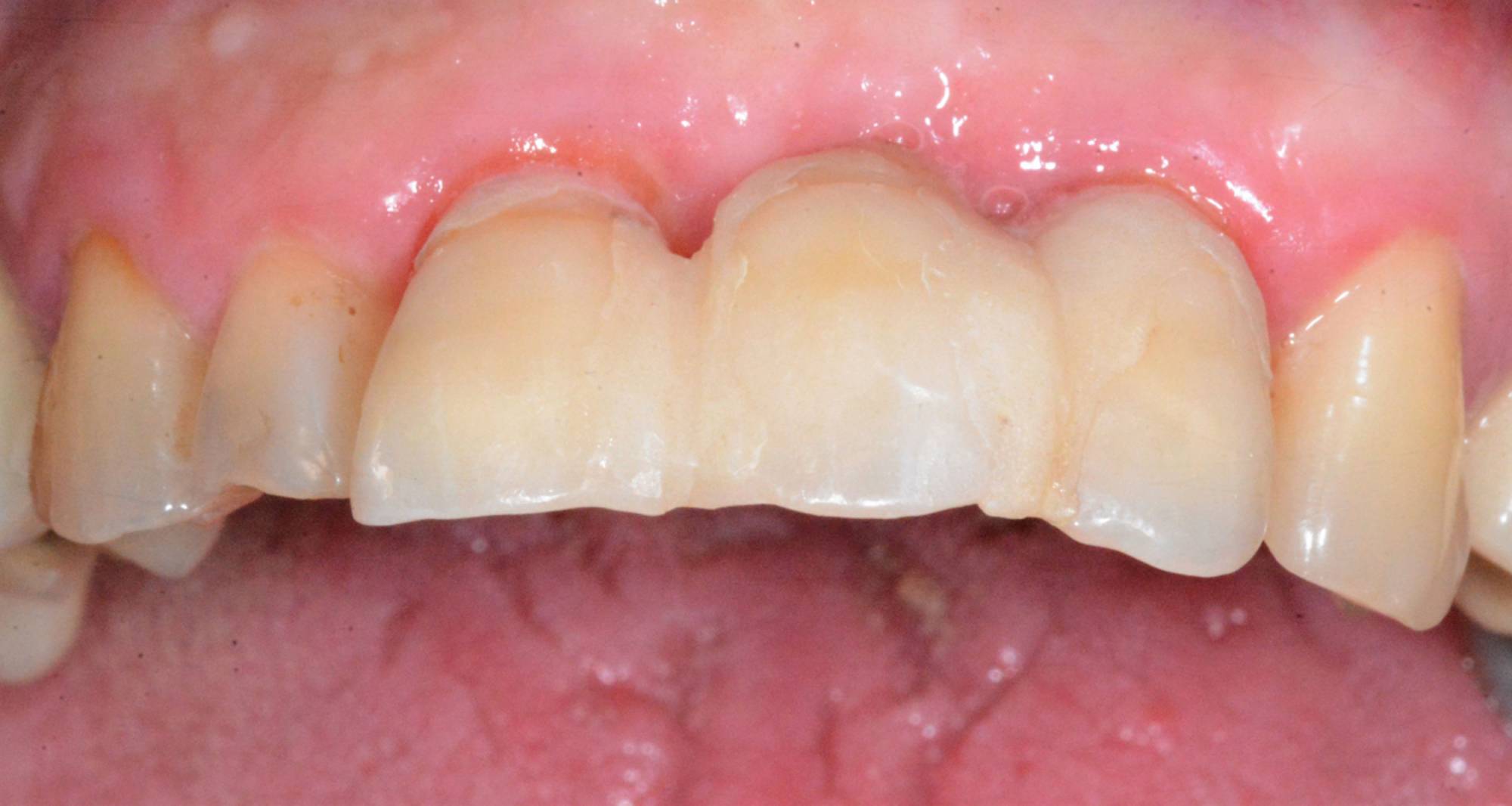
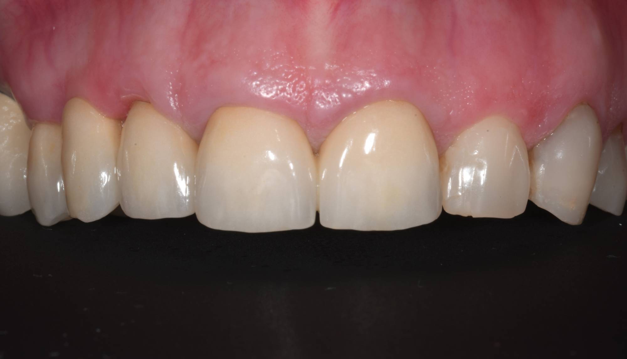
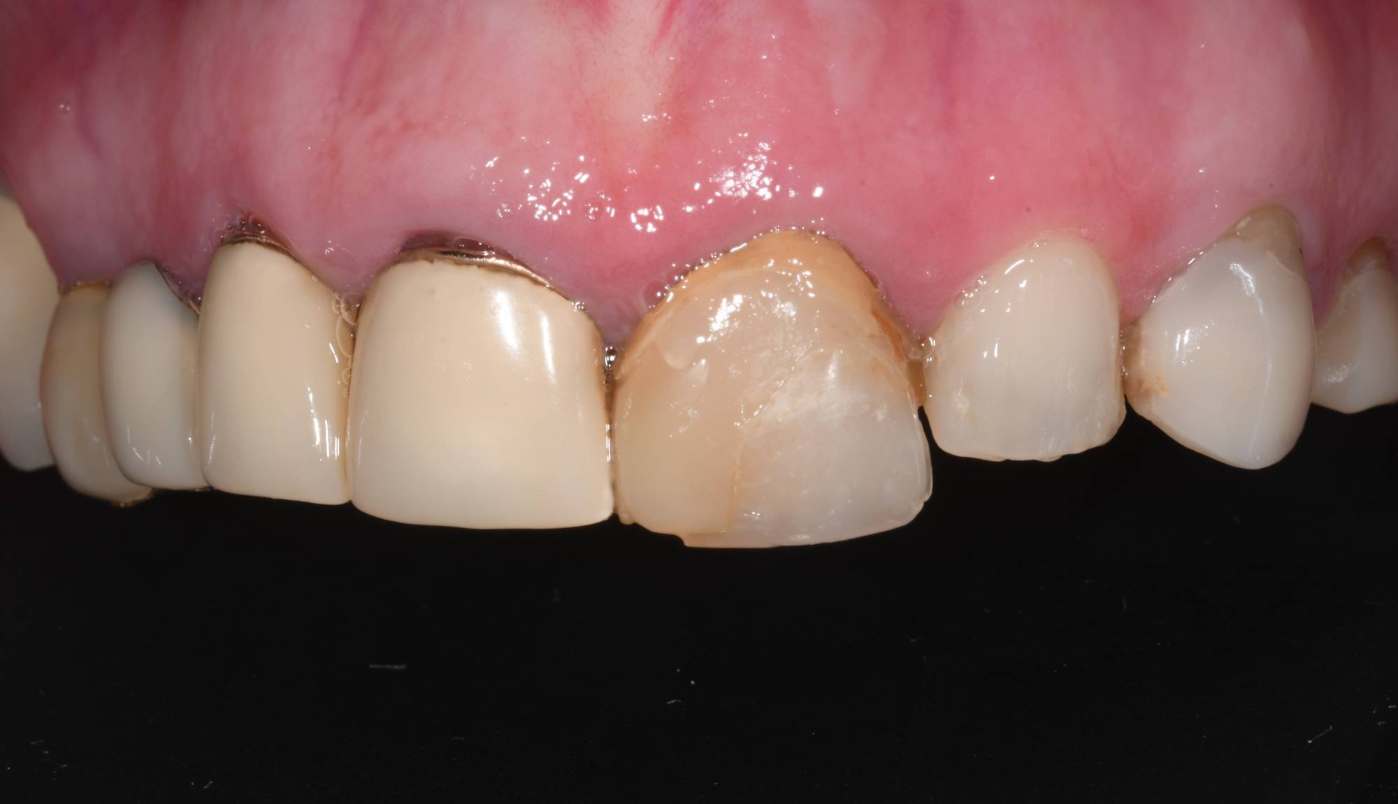
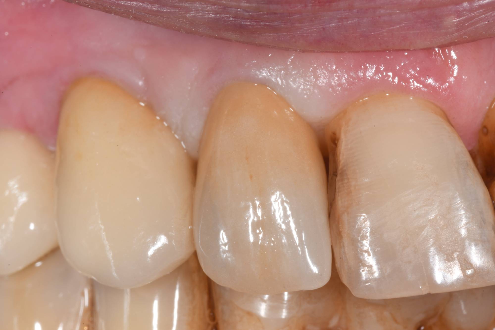
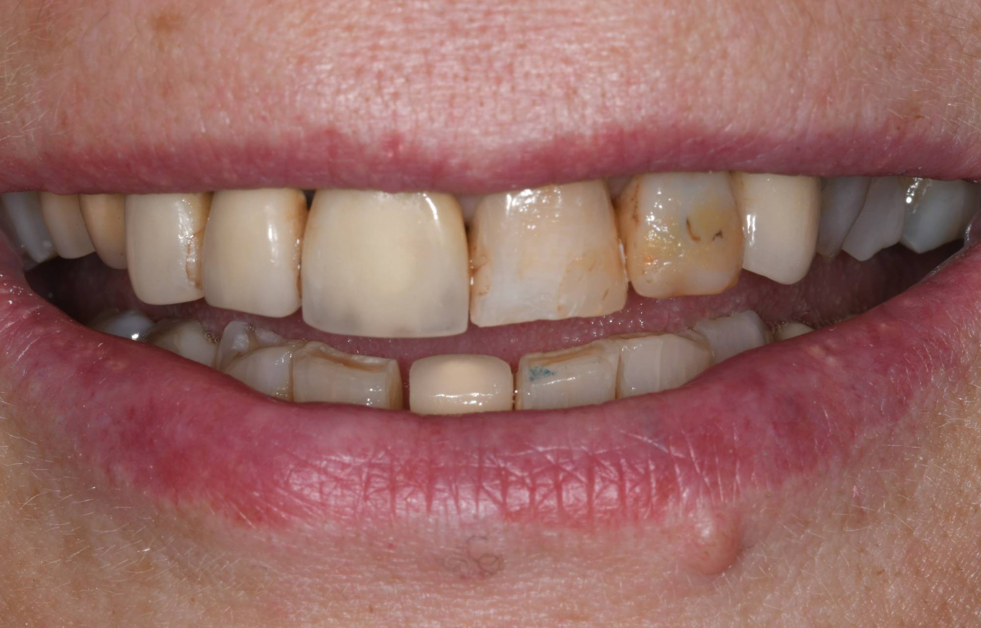
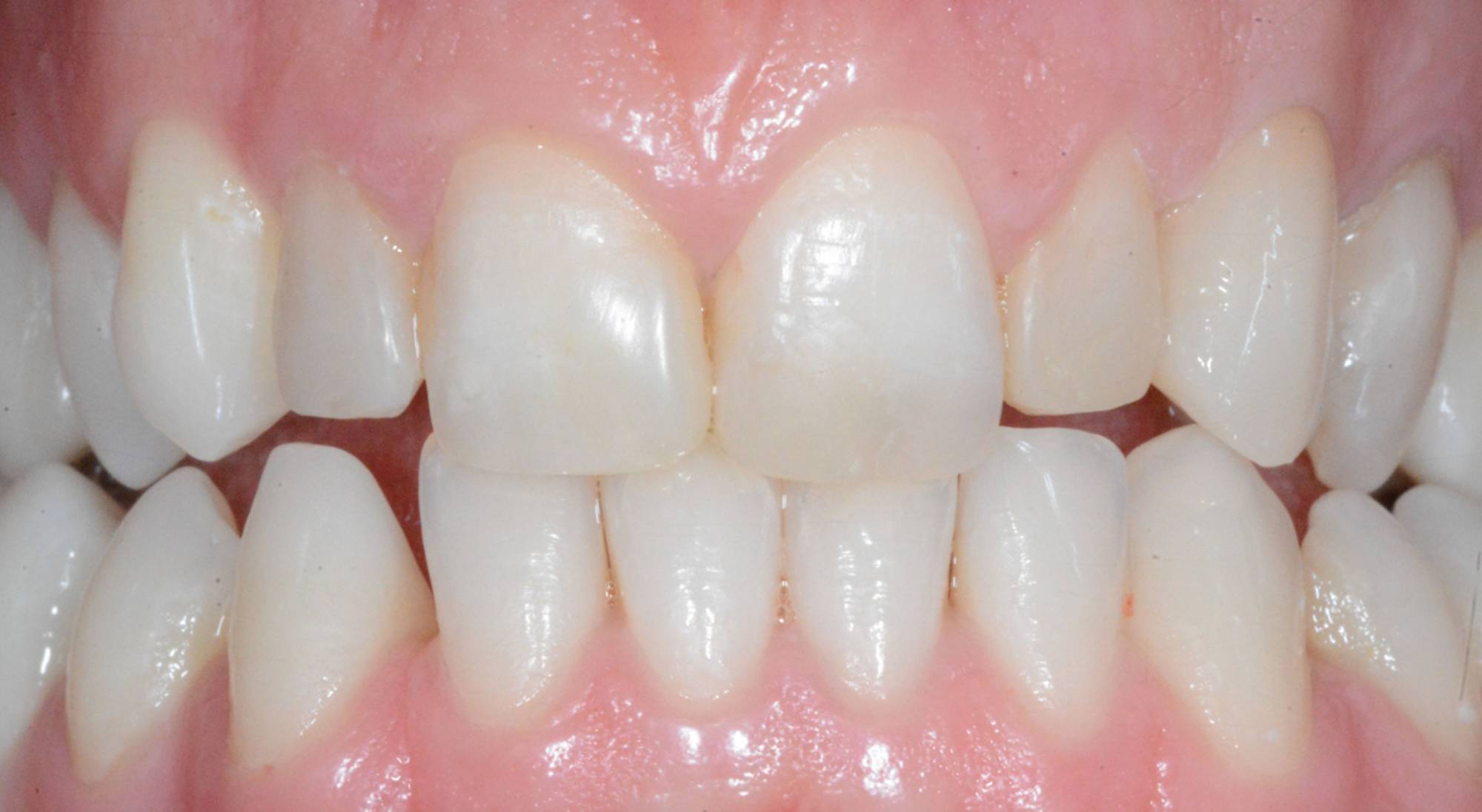
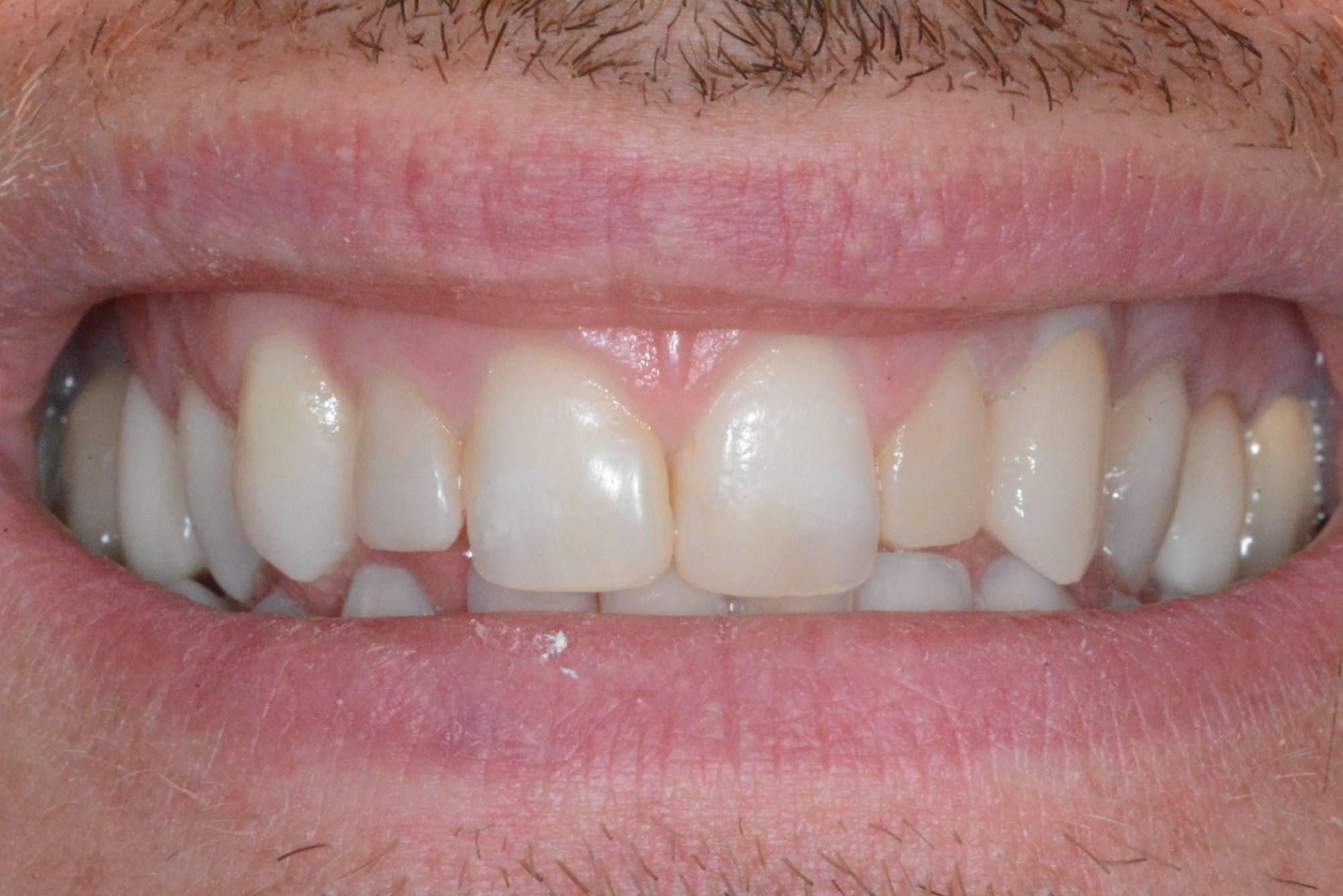
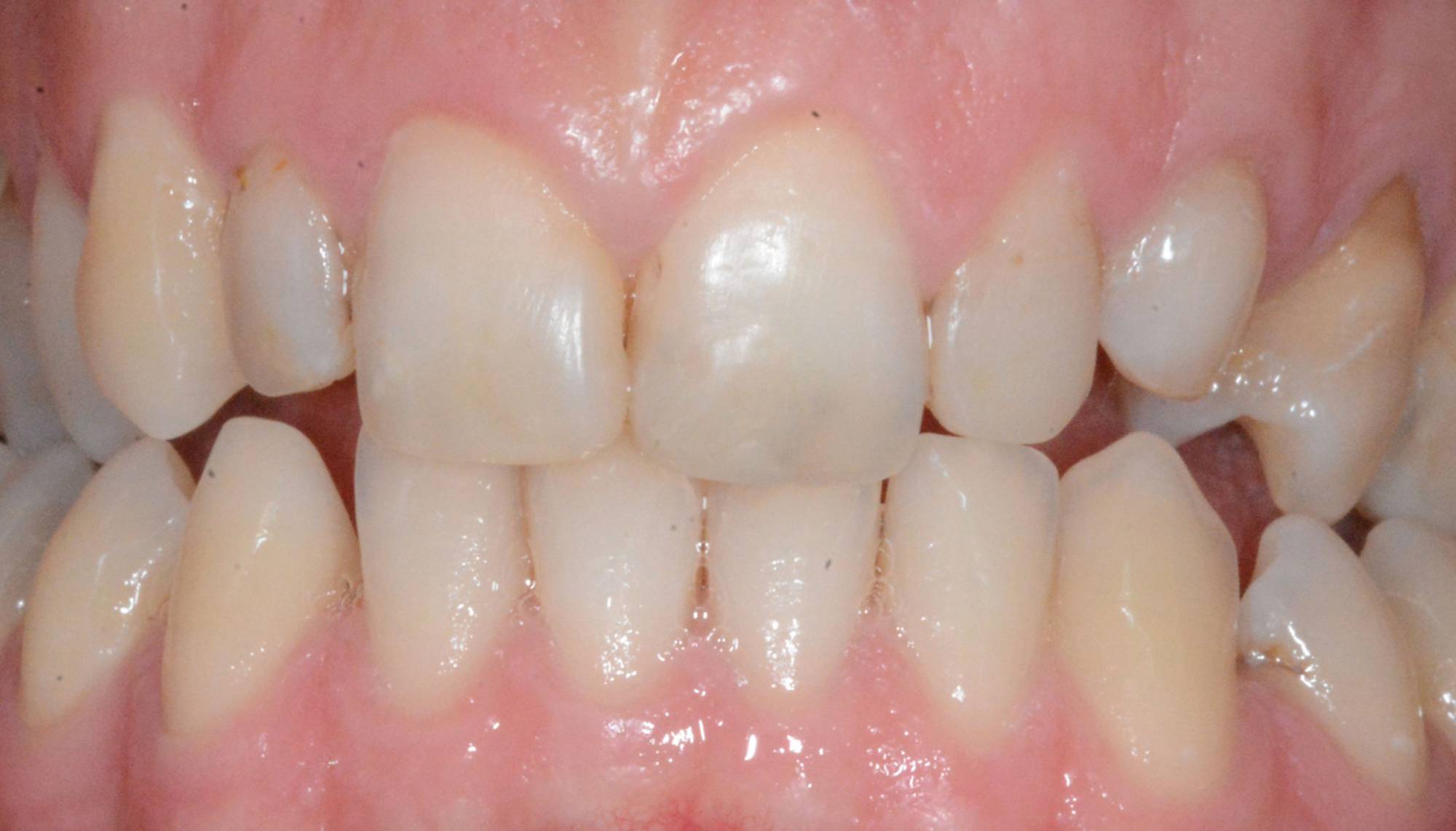
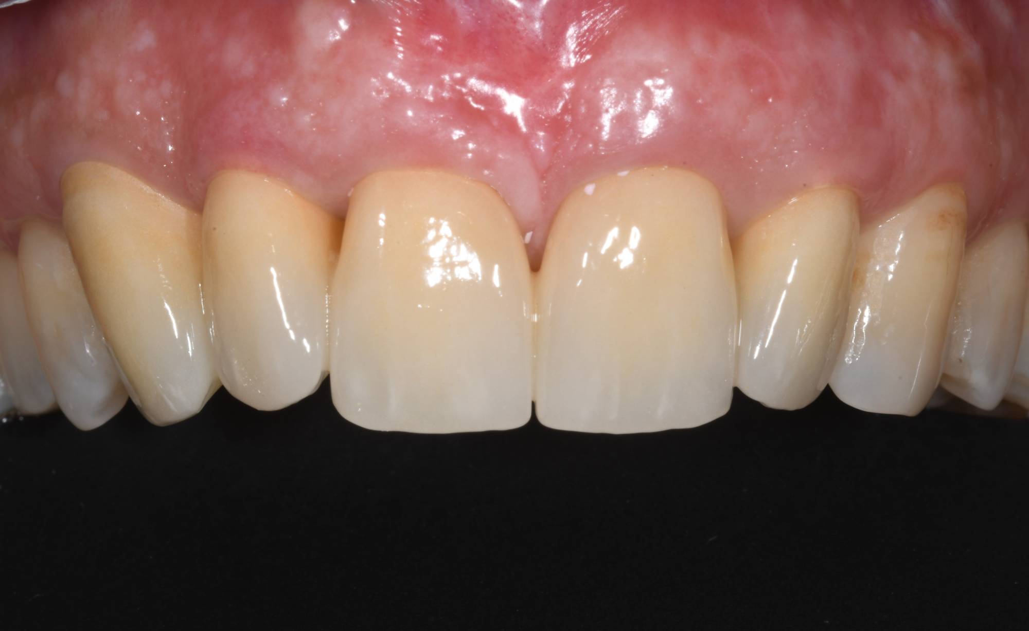
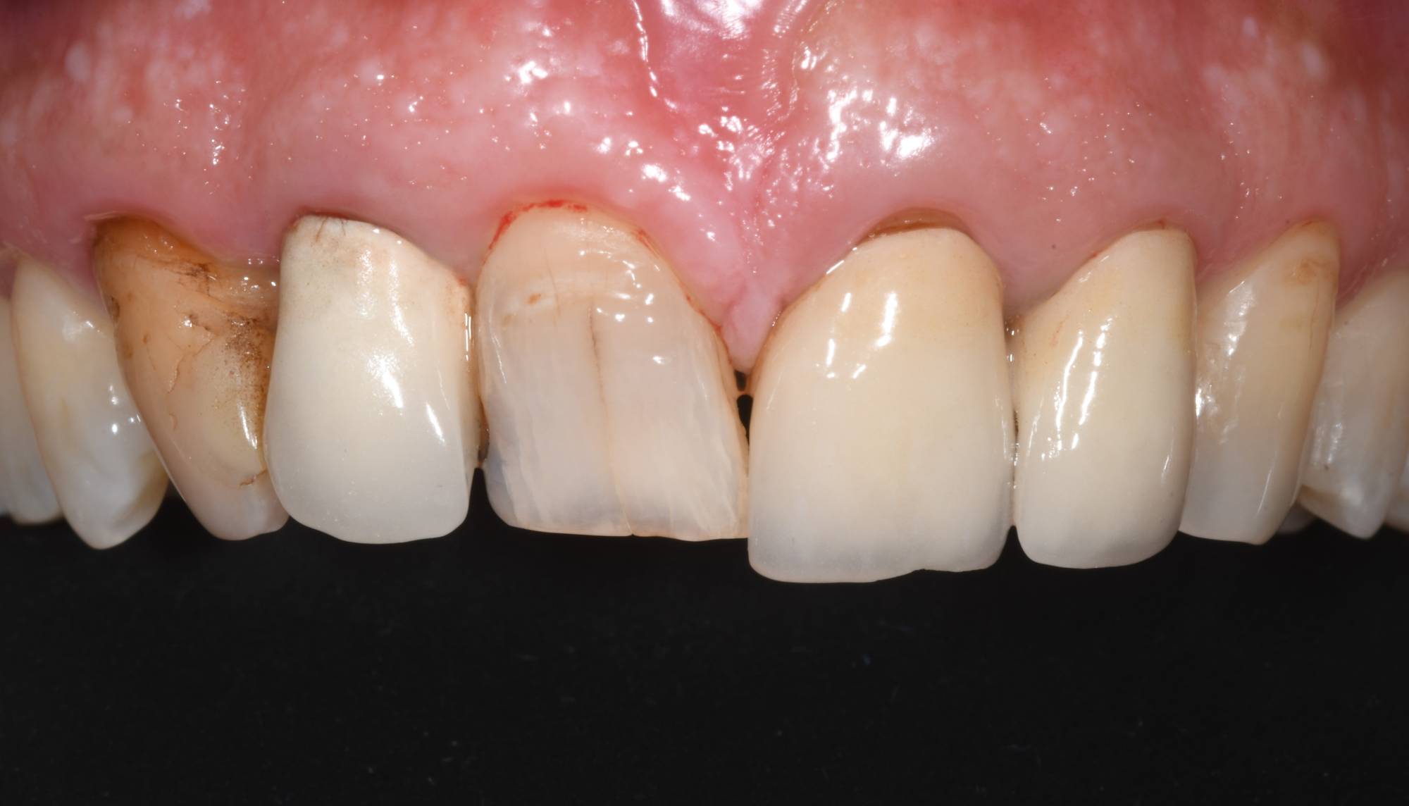
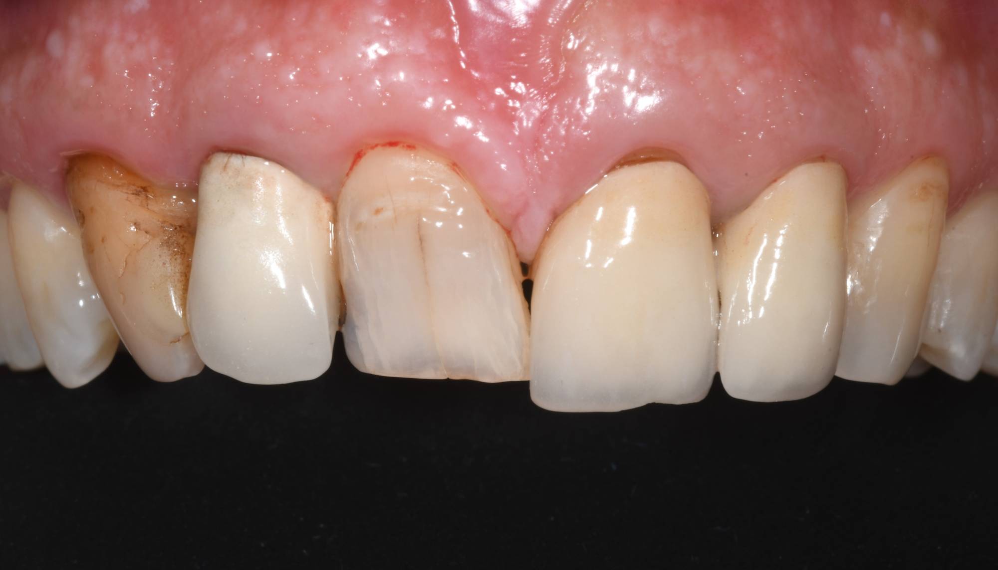
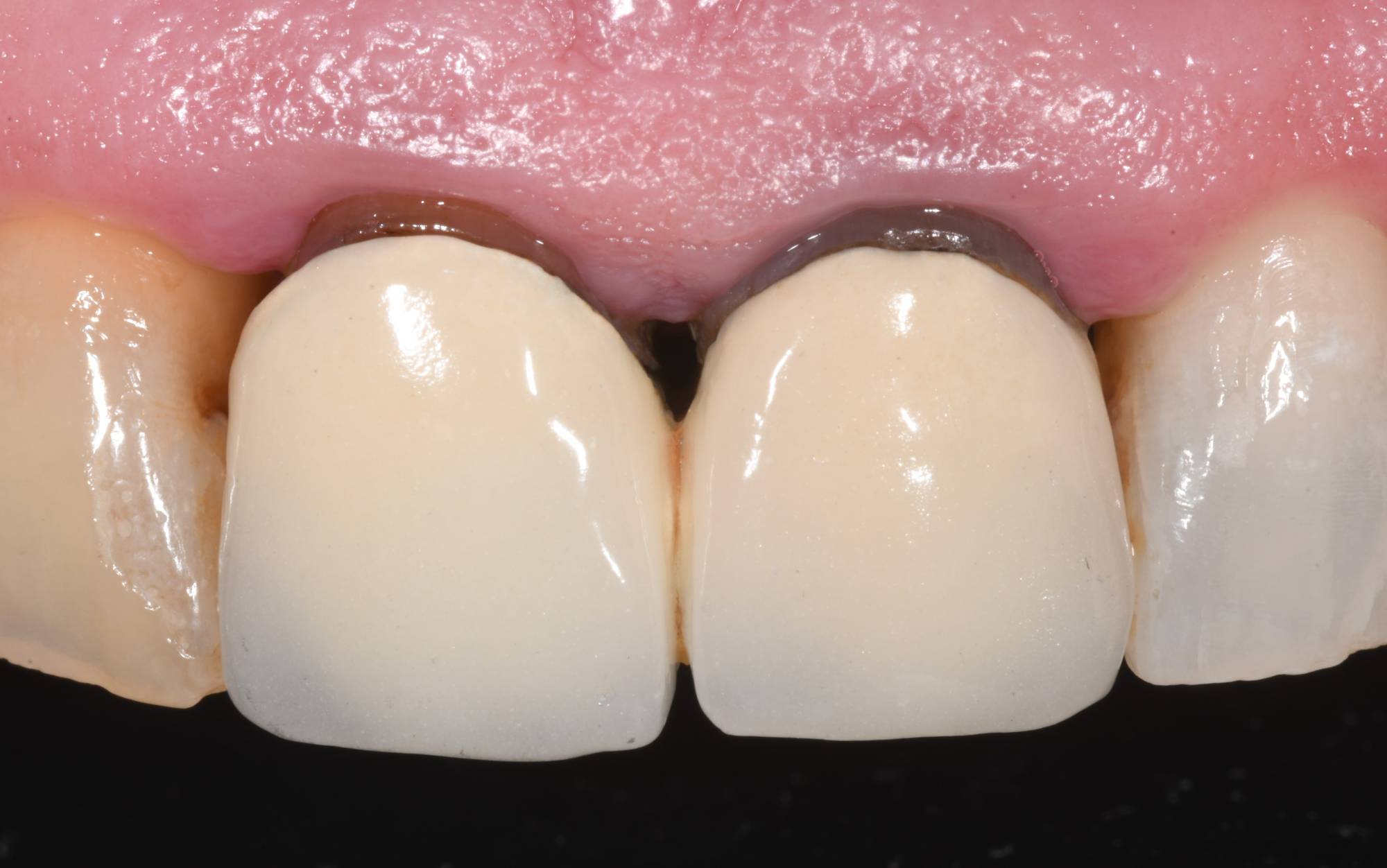
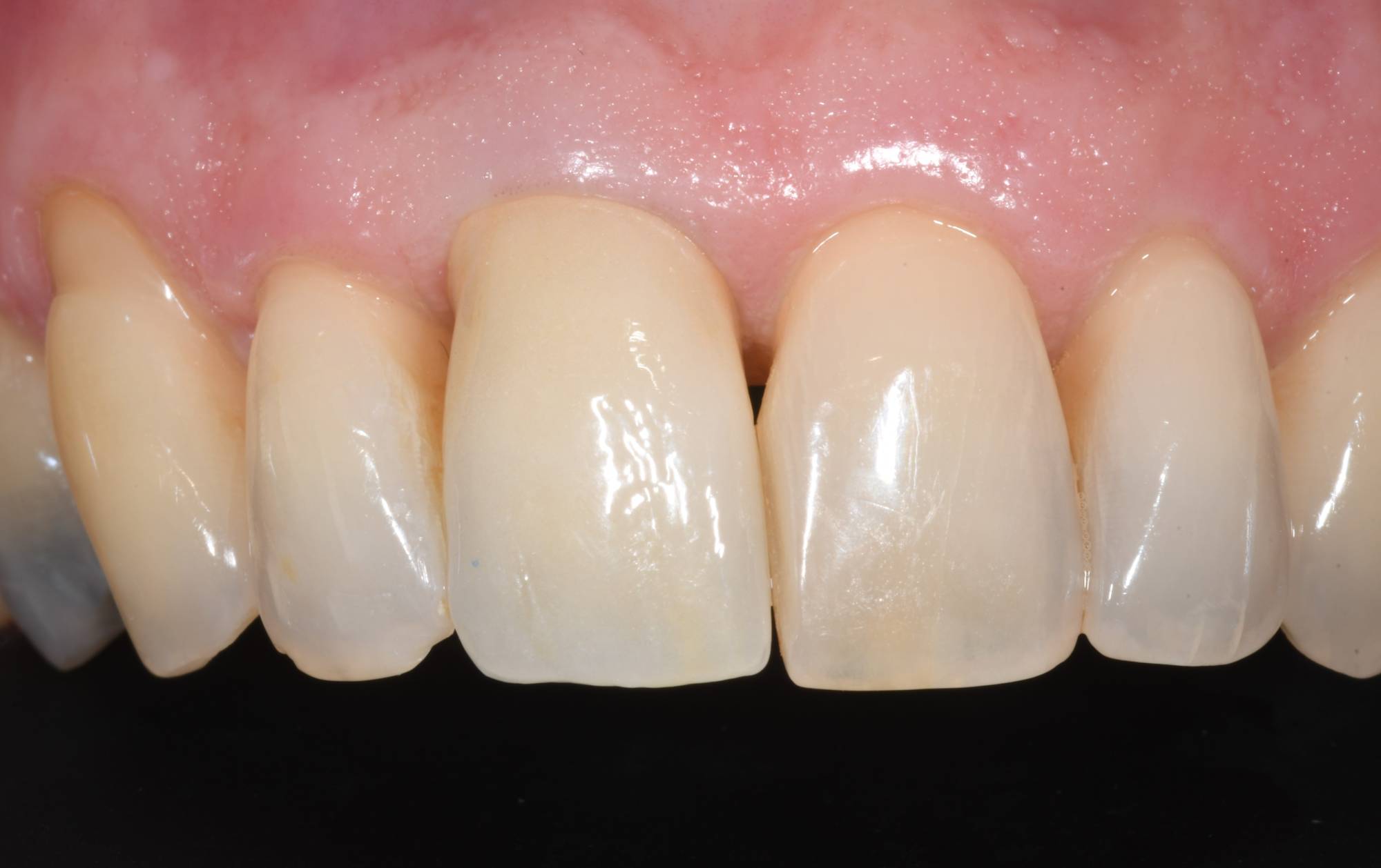
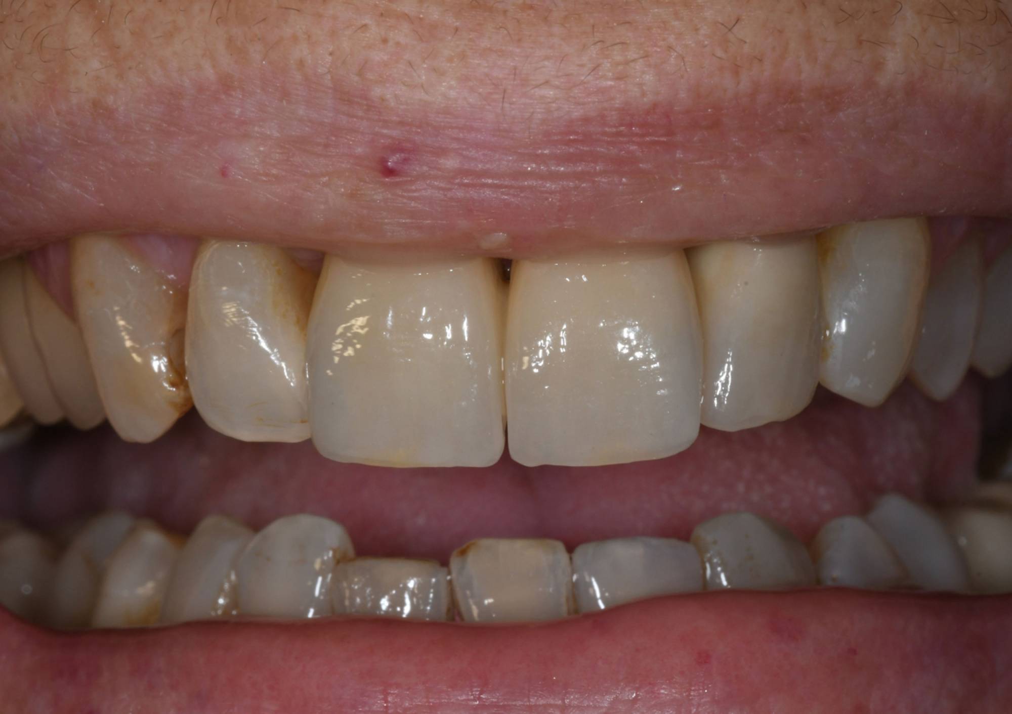
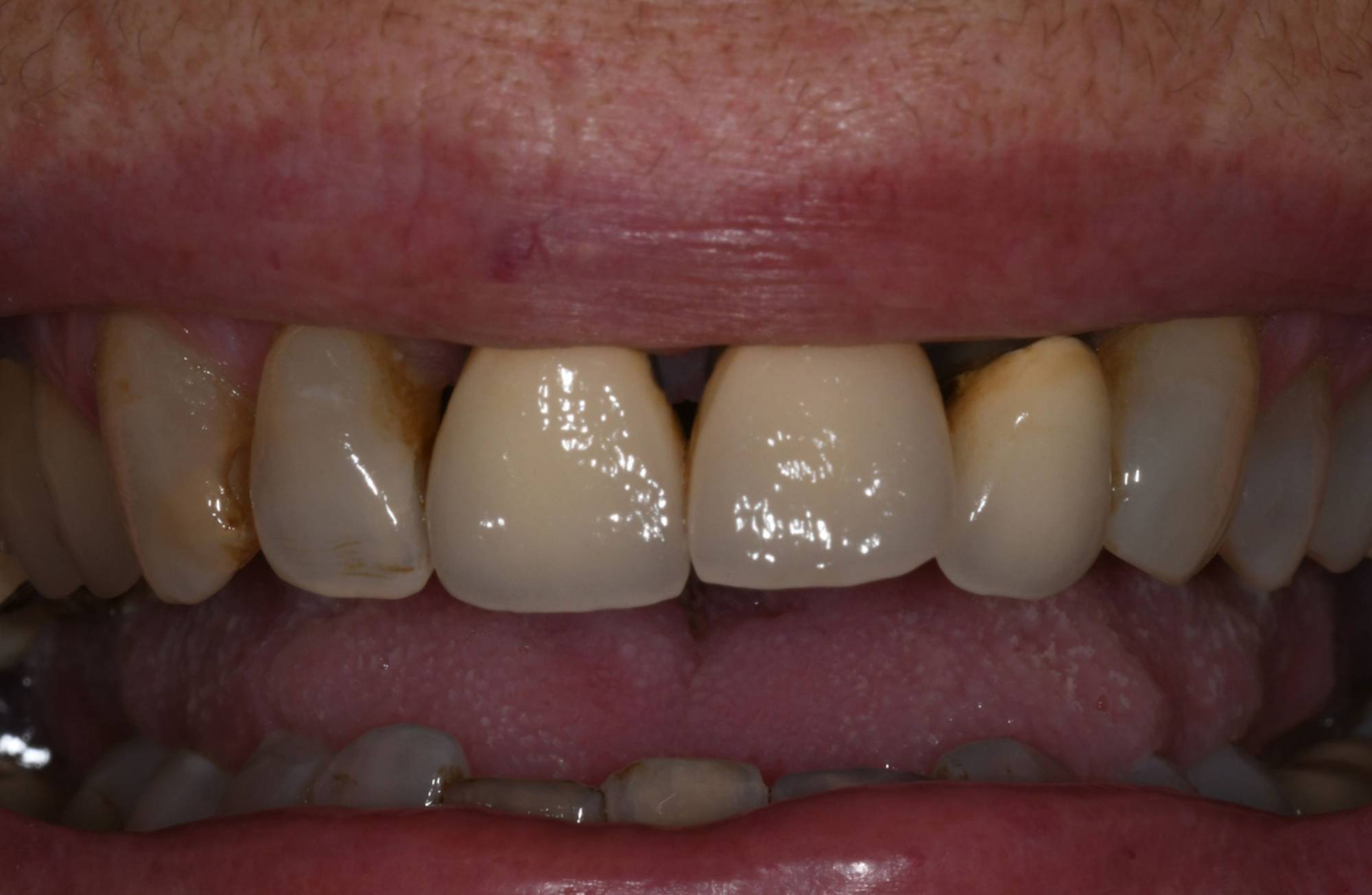
Corone metal free
Una corona è una copertura che riveste l’intera superficie del dente ripristinandone forma e dimensione originali.Le tradizionali corone hanno una base interna di metallo sulla quale viene cotta la ceramica e hanno il grande difetto di lasciare intravedere, quando nel tempo la gengiva tende a ritirarsi,un'antiestetica linea grigia intorno ai denti. Inoltre non hanno la stessa traslucenza dei denti naturali.
Problemi che sono stati risolti grazie alle corone in ceramica senza metallo, dette corone metal free, che uniscono la protezione e la resistenza di una corona tradizionale ad una raffinata estetica.
Grazie alla loro versatilità le corone metal free possono essere usate per ricoprire denti rotti o non sufficientemente forti per resistere alle normali forze di masticazione.
Le corone metal free sono generalmente realizzate in zirconia o in disilicato di litio. Il primo è un materiale bianco dotato di grande resistenza che può essere usato come unico materiale o come struttura portante su cui stratificare la ceramica. Il disilicato di litio, invece, è un tipo di ceramica vetrosa estremamente mimetica, indistinguibile, per traslucenza ed aspetto, dallo smalto di un dente naturale.





























































































