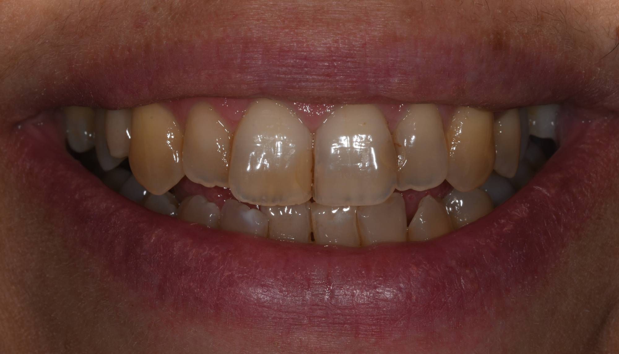
Sbiancamento
Il comune ingiallimento dei denti con l'avanzare dell'età è dovuto all’alterazione della struttura minerale dello smalto che diventa più poroso con il passare degli anni, e all'azione di pigmenti batterici ed altri contenuti in alcuni cibi e bevande, che macchiano i denti, riducendo la brillantezza dello smalto.
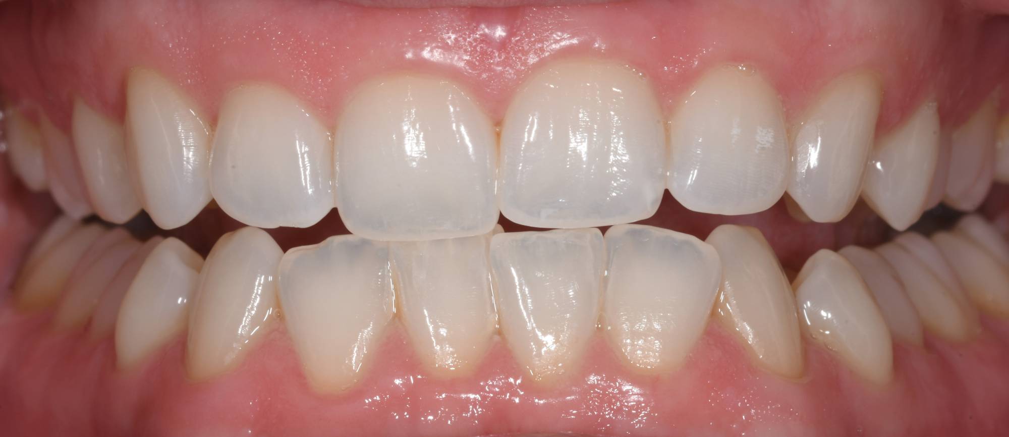
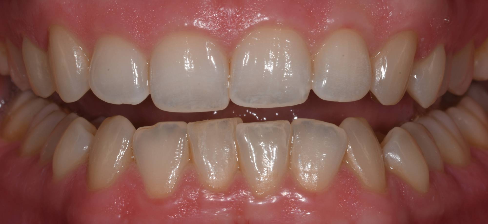
Lo sbiancamento dentale è la soluzione per ritrovare un sorriso più brillante, con effetto immediato. Esistono due metodiche di sbiancamento: una professionale in Studio e una domiciliare. In entrambi i casi si sfrutta l'azione di due gel sbiancanti a base di perossido di idrogeno o di perossido di carbamide, che, liberando ossigeno e facendolo penetrare nello smalto e nella dentina, attivano un effetto sbiancante dall'interno del dente, senza alterare la struttura dentale.
Il gel è efficace solo sullo smalto naturale, per cui non ha effetto su otturazioni o corone protesiche preesistenti. In tal caso bisogna considerare che potrebbe essere necessario sostituire vecchie otturazioni e corone per uniformarle al nuovo sorriso. La scelta se effettuare un trattamento in Studio o quello domiciliare dipende dalla velocità con cui si vogliono ottenere i risultati.
Nello sbiancamento professionale in Studio il gel viene attivato attraverso il laser, aumentando l’efficacia e la velocità dello sbiancamento: è sufficiente un’ora per ottenere un sorriso nuovamente bianco.
Lo sbiancamento domiciliare permette una maggiore flessibilità, anche se con tempi più lunghi. Per ottenere un sorriso invidiabile sarà necessario indossare una mascherina di plastica trasparente, realizzata su misura, in cui si inserisce il gel sbiancante, per alcune ore al giorno, per circa due settimane. Il vantaggio è che le mascherine individuali possono essere riutilizzate per futuri trattamenti.










