News

News

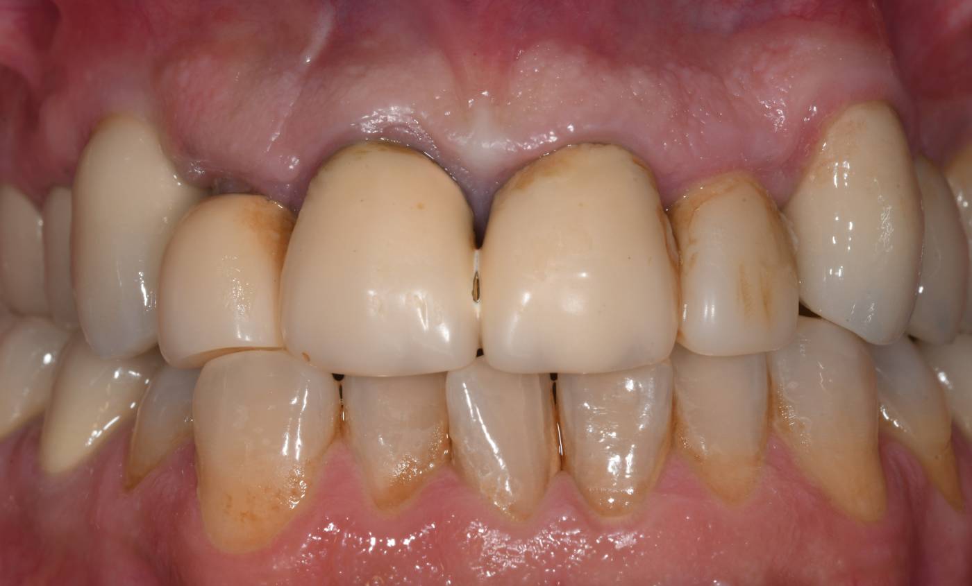
Differenza tra ricostruzione diretta e indiretta

Aprire una finestra può essere utile per cambiare aria. Ma se la finestra ce l’hai al posto di un incisivo centrale, come vedi nella prima foto qui sotto, allora le cose cambiano. Purtroppo può succedere che un incidente stradale o in ambiente domestico compromettano il tuo sorriso. L’incisivo superiore di questo ragazzo si era rotto...

Vantaggi del carico immediato in implantologia

Non ne hai mai sentito parlare? Ti spiego io i punti principali! Se ad una persona mancano dei denti,  o gliene vengono estratti, normalmente vengono messi gli impianti su cui si avvitano le capsule dopo qualche mese. Prima di avere i denti fissi dovrà aspettare l’integrazione dell’impianto nell’osso. Ma se i denti persi...

Sedute no stress

Nell'istante stesso in cui aprirai la porta del nostro Studio, ti accorgerai di non essere entrato nel solito freddo studio dentistico. Qui invece troverai: musica rilassante, un video distensivo, personale gentile pronto ad accoglierti nel migliore dei modi. Ci impegniamo a metterti a tuo agio e a creare un'esperienza clinica positiva...

Sbiancaneve

Non è una fiaba, è una realtà. L’ingiallimento dei denti con l’avanzare dell’età è dovuto all’alterazione della struttura minerale dello smalto. L’azione dei pigmenti batterici e alimentari macchia i denti. I dentifrici sbiancanti riescono a rimuovere le macchie più superficiali, ma un loro uso continuativo può addirittura peggiorare l’estetica perché...

Sotto la mascherina...

Tutti lo sanno: il tuo sorriso contribuisce enormemente alla prima impressione che dai agli altri. Un sorriso con denti ben curati è il primo biglietto da visita che metti in mostra, soprattutto adesso che la mascherina non si usa più e il Covid è un ricordo. Ma se si vedono denti storti o con colori e forma anomali nella zona frontale e non solo, potresti sentirti a disagio davanti agli altri...

Buona la prima!

Il dentista ti dice che deve curarti tramite terapia canalare. Ti sei chiesto cosa succederà al tuo dente? All’interno del dente c’è un nervo. Se ne accorge chi ha una carie profonda: quando si infiamma fa un male insopportabile. Il classico mal di denti deriva proprio da qui. Non c’è farmaco che tenga, bisogna devitalizzare il dente malato, cioè togliergli il nervo...