News

News

Odontoiatria d'avanguardia

Se ti chiedi cosa ci sia di artificiale nella prima foto, la domanda è lecita e la risposta non è facile. Guarda bene la foto qui sotto. I tre denti ingranditi in primo piano sembrano perfetti, c’è solo qualche macchiolina scura qua e là. Ma se guardi la foto successiva vedi che l’incisivo laterale aveva una vecchia...

Indovina dov'è l'impianto, memory game

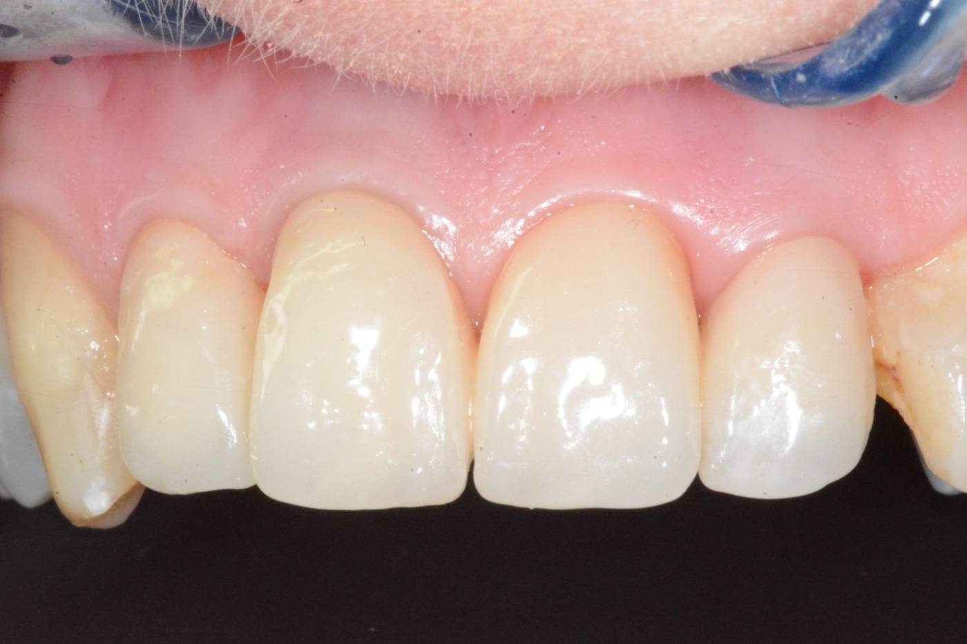
Ti sembra tutto normale in questa foto? Incisivi allineati e con un bel colore chiaro, gengive perfette e assolutamente non infiammate. E se invece ti dicessi che uno di questi denti è un impianto? Su quale scommetteresti? Alle volte una caduta accidentale o un trauma...

Uno spazio di troppo

Se provi una sensazione di imbarazzo mentre ridi, questo è il post dedicato a te. Ridere esprime tutta la nostra di gioia e un bel sorriso ne è un ottimo segnale. Molti provano vergogna perché i loro denti hanno vecchie otturazioni scolorite, scure, sbeccate. Ma anche avere uno spazio tra gli incisivi...

Trova la corona!

Sembra passato tanto tempo da quando si facevano le capsule in metallo ceramica, e, a dir la verità, se ne fanno ancora. L’interno della corona in metallo-ceramica è fatto di una lega metallica sopra la quale viene cotta la ceramica per ottenere un piacevole look estetico. La corona protesica è un’ottima soluzione per...

Psicologia del sorriso

Nel 2022 è stata condotto uno studio su un campione di 1200 italiani attraverso un monitoraggio online sui principali social network, blog, forum e community dedicate. I risultati rivelano che il 61% lo fa a bocca chiusa. È quanto emerge da uno studio commissionato da Straumann Group in occasione della Giornata mondiale del Sorriso (7 Ottobre) ...

Carico immediato full arch in implantologia

Sai di cosa si tratta? Se ad una persona mancano dei denti, in una zona d’impatto estetico o addirittura in tutta l’arcata, allora sorridere e mangiare diventa un grosso problema. Se si vuole risolvere l’edentulia con gli impianti, di solito dopo l’intervento chirurgico poi bisogna aspettare qualche mese prima di poterci fissare sopra una protesi, ma c'è una tecnica...